Go to The Journal of Clinical Investigation
  • About
  • Editors
  • Consulting Editors
  • For authors
  • Publication ethics
  • Publication alerts by email
  • Transfers
  • Advertising
  • Job board
  • Contact
  • Physician-Scientist Development
  • Current issue
  • Past issues
  • By specialty
    • COVID-19
    • Cardiology
    • Immunology
    • Metabolism
    • Nephrology
    • Oncology
    • Pulmonology
    • All ...
  • Videos
  • Collections
    • In-Press Preview
    • Resource and Technical Advances
    • Clinical Research and Public Health
    • Research Letters
    • Editorials
    • Perspectives
    • Physician-Scientist Development
    • Reviews
    • Top read articles

  • Current issue
  • Past issues
  • Specialties
  • In-Press Preview
  • Resource and Technical Advances
  • Clinical Research and Public Health
  • Research Letters
  • Editorials
  • Perspectives
  • Physician-Scientist Development
  • Reviews
  • Top read articles
  • About
  • Editors
  • Consulting Editors
  • For authors
  • Publication ethics
  • Publication alerts by email
  • Transfers
  • Advertising
  • Job board
  • Contact
Urobiota analysis and genome-wide association study in pediatric recurrent urinary tract infections and vesicoureteral reflux
Miguel Verbitsky, Pavan Khosla, Daniel Bivona, Atlas Khan, Yask Gupta, Heekuk Park, Tian H. Shen, Aryan Ghotra, Katherine Xu, Iman A. Ghavami, Priya Krithivasan, Jeremiah Martino, Tanya Sezin, Tze Y. Lim, Victoria Kolupaeva, Nita A. Limdi, Yuan Luo, Hakon Hakonarson, Simone Sanna-Cherchi, Krzysztof Kiryluk, Cathy L. Mendelsohn, Anne-Catrin Uhlemann, Jonathan Barasch, Ali G. Gharavi
Miguel Verbitsky, Pavan Khosla, Daniel Bivona, Atlas Khan, Yask Gupta, Heekuk Park, Tian H. Shen, Aryan Ghotra, Katherine Xu, Iman A. Ghavami, Priya Krithivasan, Jeremiah Martino, Tanya Sezin, Tze Y. Lim, Victoria Kolupaeva, Nita A. Limdi, Yuan Luo, Hakon Hakonarson, Simone Sanna-Cherchi, Krzysztof Kiryluk, Cathy L. Mendelsohn, Anne-Catrin Uhlemann, Jonathan Barasch, Ali G. Gharavi
View: Text | PDF
Research Article Genetics Infectious disease Nephrology

Urobiota analysis and genome-wide association study in pediatric recurrent urinary tract infections and vesicoureteral reflux

  • Text
  • PDF
Abstract

Urinary tract infections (UTIs) are the most common severe bacterial infections in young children, often associated with vesicoureteral reflux (VUR). To explore host genetic-microbiota interactions and their clinical implications, we analyzed the urinary microbiota (urobiota) and conducted genome-wide association studies for bacterial abundance traits in pediatric patients with UTI and VUR from the Randomized Intervention for Children with Vesicoureteral Reflux and Careful Urinary Tract Infection Evaluation cohorts. We identified 4 urobiota community types based on relative abundance, characterized by the genera Enterococcus, Prevotella, Pseudomonas, and Escherichia/Shigella, and their associations with VUR, age, and toilet training. Children with VUR exhibited decreased microbial diversity and increased abundance of genera that included opportunistic pathogens, suggesting a disrupted urobiota. We detected genome-wide significant genetic associations with urinary bacterial relative abundances, in or near candidate genes including CXCL12, ABCC1, and ROBO1, which are implicated in urinary tract development and response to infection. We showed that Cxcl12 was induced 12 hours after uropathogenic bacterial infection in mouse bladder. The association with CXCL12 suggests a genetic link between UTI, VUR, and cardiovascular phenotypes later in life. These findings provide the first characterization to our knowledge of host genetic influences on the pediatric urobiota in UTI and VUR, offering insights into the interplay between disease, host genetics, and the urobiota composition.

Authors

Miguel Verbitsky, Pavan Khosla, Daniel Bivona, Atlas Khan, Yask Gupta, Heekuk Park, Tian H. Shen, Aryan Ghotra, Katherine Xu, Iman A. Ghavami, Priya Krithivasan, Jeremiah Martino, Tanya Sezin, Tze Y. Lim, Victoria Kolupaeva, Nita A. Limdi, Yuan Luo, Hakon Hakonarson, Simone Sanna-Cherchi, Krzysztof Kiryluk, Cathy L. Mendelsohn, Anne-Catrin Uhlemann, Jonathan Barasch, Ali G. Gharavi

×

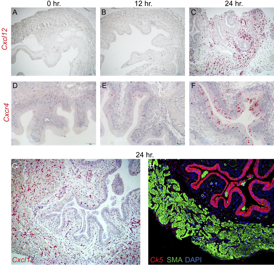
Figure 7

Increased Cxcl12 and Cxcr4 expression after UTI in mouse bladder.

Options: View larger image (or click on image) Download as PowerPoint
Increased Cxcl12 and Cxcr4 expression after UTI in mouse bladder.
Cxcl12...
Cxcl12 and Cxcr4 RNA were induced in mouse bladder tissue at 12 hours (B and E) and more strongly at 24 hours (C and F) after UPEC infection, but not at 0 hour (A and D), as seen by chromogenic in situ hybridization (RNAscope). Composite images of consecutive sections from 24 hours postinfection bladder tissue suggest that Cxcl12 RNA (G) localizes mainly to stromal and muscle cell layers, and to a much lesser degree to the urothelium, as marked by smooth muscle actin and cytokeratin 5 immunofluorescence (H), respectively. Images shown are representative of 3 mice per time point.

Copyright © 2026 American Society for Clinical Investigation
ISSN 2379-3708

Sign up for email alerts