Go to The Journal of Clinical Investigation
  • About
  • Editors
  • Consulting Editors
  • For authors
  • Publication ethics
  • Publication alerts by email
  • Transfers
  • Advertising
  • Job board
  • Contact
  • Physician-Scientist Development
  • Current issue
  • Past issues
  • By specialty
    • COVID-19
    • Cardiology
    • Immunology
    • Metabolism
    • Nephrology
    • Oncology
    • Pulmonology
    • All ...
  • Videos
  • Collections
    • In-Press Preview
    • Resource and Technical Advances
    • Clinical Research and Public Health
    • Research Letters
    • Editorials
    • Perspectives
    • Physician-Scientist Development
    • Reviews
    • Top read articles

  • Current issue
  • Past issues
  • Specialties
  • In-Press Preview
  • Resource and Technical Advances
  • Clinical Research and Public Health
  • Research Letters
  • Editorials
  • Perspectives
  • Physician-Scientist Development
  • Reviews
  • Top read articles
  • About
  • Editors
  • Consulting Editors
  • For authors
  • Publication ethics
  • Publication alerts by email
  • Transfers
  • Advertising
  • Job board
  • Contact
FGF13 is not secreted from mouse neurons
Mattia Malvezzi, Haiying Zhang, Patrick Towers, David C. Lyden, Steven O. Marx, Geoffrey S. Pitt
Mattia Malvezzi, Haiying Zhang, Patrick Towers, David C. Lyden, Steven O. Marx, Geoffrey S. Pitt
View: Text | PDF
Research Article Cell biology Neuroscience

FGF13 is not secreted from mouse neurons

  • Text
  • PDF
Abstract

FGF13, a noncanonical fibroblast growth factor (FGF) and member of the fibroblast growth factor homologous factor (FHF) subset, lacks a signal sequence and was previously reported to remain intracellular, where it regulates voltage-gated sodium channels (VGSCs) at least in part through direct interaction with the cytoplasmic C-terminus of VGSCs. Recent reports suggest FGF13 is secreted and regulates neuronal VGSCs through interactions with extracellular domains of integral plasma membrane proteins, yet supportive data are limited. Using rigorous positive and negative controls, we show that transfected FGF13 is not secreted from cultured cells in a heterologous expression system, nor is endogenous FGF13 secreted from cultured neurons. Furthermore, using multiple unbiased screens including proximity labeling proteomics, our results suggest FGF13 remains within membranes and is unavailable to interact directly with extracellular protein domains.

Authors

Mattia Malvezzi, Haiying Zhang, Patrick Towers, David C. Lyden, Steven O. Marx, Geoffrey S. Pitt

×

Figure 1

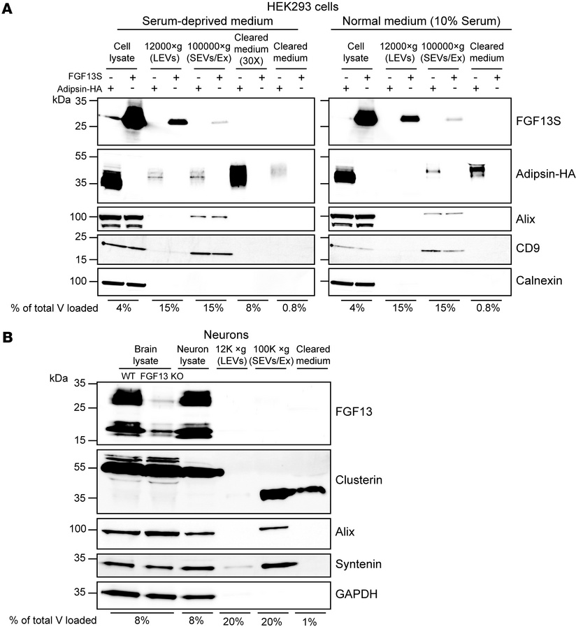
FGF13S is not detected in cleared extracellular medium of HEK293 cells or cultured mouse neurons.

Options: View larger image (or click on image) Download as PowerPoint
FGF13S is not detected in cleared extracellular medium of HEK293 cells o...
(A) Western blot of cell lysates, extracellular vesicles, and cleared medium derived from HEK293 transiently transfected with FGF13S or the secreted protein HA-tagged adipsin (adipsin-HA) and subjected to multistep centrifugation protocol in serum-deprived conditions (left) or in normal culture conditions (10% serum; right). Alix (96 kDa) and CD9 (24 kDa) were used as SEV or exosome markers; calnexin (90 kDa) was used as an intracellular marker. Secreted adipsin-HA had a higher molecular weight as a consequence of post-translational modifications (28). Cell lysate (8 μg) was loaded. (B) Western blot of cell lysates, extracellular vesicles, and cleared medium from cultured mouse hippocampal neurons after 12 DIV in culture. Whole-brain lysates from WT and FGF13 brain KO were used to validate the detection of FGF13 isoforms. Clusterin was used as a positive control for secretion in neurons (nonsecreted clusterin precursor: 55 kDa; cleaved, secreted clusterin: 35 kDa). Alix (96 kDa) and syntenin (34 kDa) were used as SEV and exosome markers; GAPDH (36 kDa) was used as an intracellular marker. Brain or neuronal lysate (15 μg) was loaded. The percentage of total volume (V) loaded indicates the fraction of the sample loaded on each gel relative to the total volume.

Copyright © 2026 American Society for Clinical Investigation
ISSN 2379-3708

Sign up for email alerts