Go to The Journal of Clinical Investigation
  • About
  • Editors
  • Consulting Editors
  • For authors
  • Publication ethics
  • Publication alerts by email
  • Transfers
  • Advertising
  • Job board
  • Contact
  • Physician-Scientist Development
  • Current issue
  • Past issues
  • By specialty
    • COVID-19
    • Cardiology
    • Immunology
    • Metabolism
    • Nephrology
    • Oncology
    • Pulmonology
    • All ...
  • Videos
  • Collections
    • In-Press Preview
    • Resource and Technical Advances
    • Clinical Research and Public Health
    • Research Letters
    • Editorials
    • Perspectives
    • Physician-Scientist Development
    • Reviews
    • Top read articles

  • Current issue
  • Past issues
  • Specialties
  • In-Press Preview
  • Resource and Technical Advances
  • Clinical Research and Public Health
  • Research Letters
  • Editorials
  • Perspectives
  • Physician-Scientist Development
  • Reviews
  • Top read articles
  • About
  • Editors
  • Consulting Editors
  • For authors
  • Publication ethics
  • Publication alerts by email
  • Transfers
  • Advertising
  • Job board
  • Contact
Targeting castration-resistant prostate cancer with androgen receptor antisense oligonucleotide therapy
Marco A. De Velasco, Yurie Kura, Kazuko Sakai, Yuji Hatanaka, Barry R. Davies, Hayley Campbell, Stephanie Klein, Youngsoo Kim, A. Robert MacLeod, Koichi Sugimoto, Kazuhiro Yoshikawa, Kazuto Nishio, Hirotsugu Uemura
Marco A. De Velasco, Yurie Kura, Kazuko Sakai, Yuji Hatanaka, Barry R. Davies, Hayley Campbell, Stephanie Klein, Youngsoo Kim, A. Robert MacLeod, Koichi Sugimoto, Kazuhiro Yoshikawa, Kazuto Nishio, Hirotsugu Uemura
View: Text | PDF
Research Article Endocrinology Therapeutics

Targeting castration-resistant prostate cancer with androgen receptor antisense oligonucleotide therapy

  • Text
  • PDF
Abstract

Sustained therapeutic responses from traditional and next-generation antiandrogen therapies remain elusive in clinical practice due to inherent and/or acquired resistance resulting in persistent androgen receptor (AR) activity. Antisense oligonucleotides (ASO) have the ability to block target gene expression and associated protein products and provide an alternate treatment strategy for castration-resistant prostate cancer (CRPC). We demonstrate the efficacy and therapeutic potential of this approach with a Generation-2.5 ASO targeting the mouse AR in genetically engineered models of prostate cancer. Furthermore, reciprocal feedback between AR and PI3K/AKT signaling was circumvented using a combination approach of AR-ASO therapy with the potent pan-AKT inhibitor, AZD5363. This treatment strategy effectively improved treatment responses and prolonged survival in a clinically relevant mouse model of advanced CRPC. Thus, our data provide preclinical evidence to support a combination strategy of next-generation ASOs targeting AR in combination with AKT inhibition as a potentially beneficial treatment approach for CRPC.

Authors

Marco A. De Velasco, Yurie Kura, Kazuko Sakai, Yuji Hatanaka, Barry R. Davies, Hayley Campbell, Stephanie Klein, Youngsoo Kim, A. Robert MacLeod, Koichi Sugimoto, Kazuhiro Yoshikawa, Kazuto Nishio, Hirotsugu Uemura

×

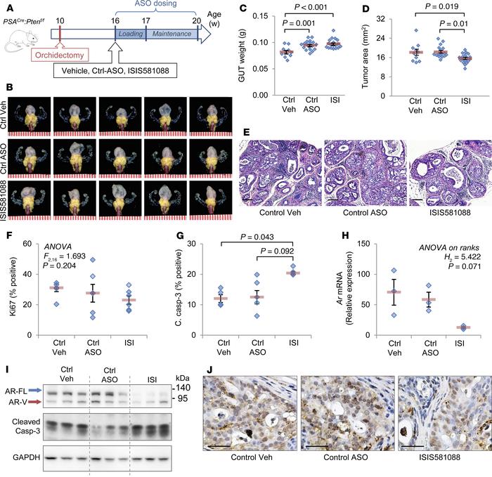
Figure 5

ISIS581088 demonstrates antitumor activity against murine Pten-deficient castration-resistant prostate tumors.

Options: View larger image (or click on image) Download as PowerPoint
ISIS581088 demonstrates antitumor activity against murine Pten-deficient...
(A) Experimental design for drug intervention studies using castration-resistant prostate tumors in conditional Pten-KO mice. Mice were randomized to vehicle (n = 10), control ASO (n = 18), or ISIS581088 (n = 18) treatment groups 6 weeks after surgical castration. Control ASO and ISIS581088 were administered i.p. for 4 weeks (40 mg/kg/d for first week loading, followed by 3 weeks of maintenance dosing, 40 mg/kg 3×/week). Data represent the pooled analysis from 2 independent experiments using age-matched mice. (B) Representative images of genitourinary tracts (GUT). Prostate tumors are highlighted by a yellow mask; scale represents mm. Plots of GUT weight (C) and tumor area (D). Horizontal bars represent mean ± SEM, and diamonds represent individual mice; significance represent Student-Newman-Keuls post hoc test for individual comparisons, upon significant 1-way ANOVA. F2,45 = 9.463, P < 0.001 (C); F3,45 = 5.538, P = 0.007 (D). (E) Representative H&E-stained sections of mouse prostate tumors. Scale bars: 200 μm. Plots of proliferation (Ki67) (F) and apoptosis (cleaved caspase-3) (G) in prostate epithelial cancer cells; n = 4–6 mice/group. Horizontal bars represent mean ± SEM, and diamonds represent individual samples. Significance in G represent Dunn’s post hoc test for individual comparisons, upon significant 1-way ANOVA on ranks (H2 = 7.058, P = 0.018). (H) Plot of Ar mRNA expression determined by qPCR. Horizontal bars represent mean ± SEM, and diamonds represent individual samples. (I) AR downregulation and induction of apoptosis were examined by Western blot. GAPDH was used a loading control. (J) AR downregulation was confirmed by immunohistochemical staining of AR. Scale bars: 100 μm.

Copyright © 2026 American Society for Clinical Investigation
ISSN 2379-3708

Sign up for email alerts