Go to The Journal of Clinical Investigation
  • About
  • Editors
  • Consulting Editors
  • For authors
  • Publication ethics
  • Publication alerts by email
  • Transfers
  • Advertising
  • Job board
  • Contact
  • Physician-Scientist Development
  • Current issue
  • Past issues
  • By specialty
    • COVID-19
    • Cardiology
    • Immunology
    • Metabolism
    • Nephrology
    • Oncology
    • Pulmonology
    • All ...
  • Videos
  • Collections
    • In-Press Preview
    • Resource and Technical Advances
    • Clinical Research and Public Health
    • Research Letters
    • Editorials
    • Perspectives
    • Physician-Scientist Development
    • Reviews
    • Top read articles

  • Current issue
  • Past issues
  • Specialties
  • In-Press Preview
  • Resource and Technical Advances
  • Clinical Research and Public Health
  • Research Letters
  • Editorials
  • Perspectives
  • Physician-Scientist Development
  • Reviews
  • Top read articles
  • About
  • Editors
  • Consulting Editors
  • For authors
  • Publication ethics
  • Publication alerts by email
  • Transfers
  • Advertising
  • Job board
  • Contact
BDNF inhibits neurodegenerative disease–associated asparaginyl endopeptidase activity via phosphorylation by AKT
Zhi-Hao Wang, Wanqiang Wu, Seong Su Kang, Xia Liu, Zhiping Wu, Junmin Peng, Shan Ping Yu, Fredric P. Manfredsson, Ivette M. Sandoval, Xuebo Liu, Jian-Zhi Wang, Keqiang Ye
Zhi-Hao Wang, Wanqiang Wu, Seong Su Kang, Xia Liu, Zhiping Wu, Junmin Peng, Shan Ping Yu, Fredric P. Manfredsson, Ivette M. Sandoval, Xuebo Liu, Jian-Zhi Wang, Keqiang Ye
View: Text | PDF
Research Article Cell biology Neuroscience

BDNF inhibits neurodegenerative disease–associated asparaginyl endopeptidase activity via phosphorylation by AKT

  • Text
  • PDF
Abstract

AEP is an age-dependent lysosomal asparaginyl endopeptidase that cleaves numerous substrates including tau and α-synuclein and mediates their pathological roles in neurodegenerative diseases. However, the molecular mechanism regulating this critical protease remains incompletely understood. Here, we show that Akt phosphorylates AEP on residue T322 upon brain-derived neurotrophic factor (BDNF) treatment and triggers its lysosomal translocation and inactivation. When BDNF levels are reduced in neurodegenerative diseases, AEP T322 phosphorylation is attenuated. Consequently, AEP is activated and translocates into the cytoplasm, where it cleaves both tau and α-synuclein. Remarkably, the unphosphorylated T322A mutant increases tau or α-synuclein cleavage by AEP and augments cell death, whereas phosphorylation mimetic T322E mutant represses these effects. Interestingly, viral injection of T322E into Tau P301S mice antagonizes tau N368 cleavage and tau pathologies, rescuing synaptic dysfunction and cognitive deficits. By contrast, viral administration of T322A into young α-SNCA mice elicits α-synuclein N103 cleavage and promotes dopaminergic neuronal loss, facilitating motor defects. Therefore, our findings support the notion that BDNF contributes to the pathogenesis of neurodegenerative diseases by suppressing AEP via Akt phosphorylation.

Authors

Zhi-Hao Wang, Wanqiang Wu, Seong Su Kang, Xia Liu, Zhiping Wu, Junmin Peng, Shan Ping Yu, Fredric P. Manfredsson, Ivette M. Sandoval, Xuebo Liu, Jian-Zhi Wang, Keqiang Ye

×

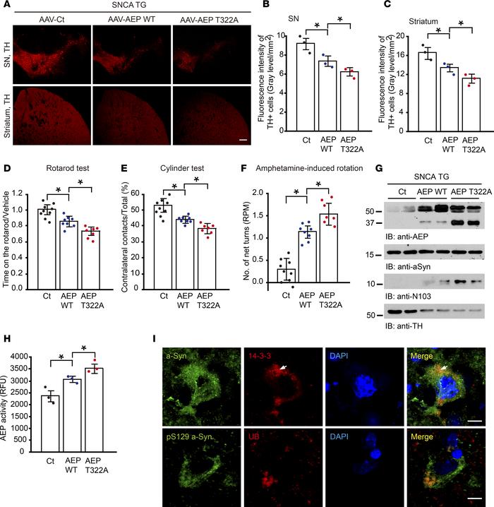
Figure 9

Unphosphorylated AEP T322A mutant facilitates α-synuclein pathologies and stimulates motor deficits in young SNCA-Tg mice.

Options: View larger image (or click on image) Download as PowerPoint
Unphosphorylated AEP T322A mutant facilitates α-synuclein pathologies an...
(A–F) AEP T322A overexpression induces more TH+ dopaminergic cell loss and motor dysfunction in SNCA mice, compared with control or AEP-overexpressing group. AAV-control (Ct), AAV-AEP, or AAV-AEP T322A was injected into right substantial nigra (SN) of SNCA-Tg mice. (A) TH expression in SN and striatum of the above animals was analyzed by immunofluorescent staining. Scale bar: 200 μm. (B and C) Quantification of TH+ fluorescent signals in SN (B) and striatum (C). Data are shown as the mean ± SEM (n = 3 per group). Motor behavioral assays, Rotarod (D), cylinder test (E), and amphetamine-induced rotation (F) were conducted by a blinded observer 2 months after the virus injection. AAV-AEP T322A infection induced more severe motor dysfunction than AAV-AEP WT. Data are shown as the mean ± SEM (n = 7–9 per group). (G) The T322A mutation enhances AEP’s protease activity and cleavage of α-synuclein. SN lysates were probed with various indicated antibodies. (H) AEP enzymatic assay. AEP activity in AEP T322A–injected mice was increased more than in the AEP WT–injected group. Data are shown as mean ± SEM (n = 3 per group). (I) α-Synuclein localizes in the Lewy body in the SN of AEP T322A–injected brains. Immunofluorescent signals of anti–α-synuclein (green) and anti–14-3-3 (red) or anti–α-synuclein pS129 (green) and anti-ubiquitin (red) as Lewy body marker were detected in AEP T322A–injected brain sections. The nuclei were stained with DAPI. Scale bar: 20 μm. *P < 0.05 by 1-way ANOVA.

Copyright © 2026 American Society for Clinical Investigation
ISSN 2379-3708

Sign up for email alerts