Go to The Journal of Clinical Investigation
  • About
  • Editors
  • Consulting Editors
  • For authors
  • Publication ethics
  • Publication alerts by email
  • Transfers
  • Advertising
  • Job board
  • Contact
  • Physician-Scientist Development
  • Current issue
  • Past issues
  • By specialty
    • COVID-19
    • Cardiology
    • Immunology
    • Metabolism
    • Nephrology
    • Oncology
    • Pulmonology
    • All ...
  • Videos
  • Collections
    • In-Press Preview
    • Resource and Technical Advances
    • Clinical Research and Public Health
    • Research Letters
    • Editorials
    • Perspectives
    • Physician-Scientist Development
    • Reviews
    • Top read articles

  • Current issue
  • Past issues
  • Specialties
  • In-Press Preview
  • Resource and Technical Advances
  • Clinical Research and Public Health
  • Research Letters
  • Editorials
  • Perspectives
  • Physician-Scientist Development
  • Reviews
  • Top read articles
  • About
  • Editors
  • Consulting Editors
  • For authors
  • Publication ethics
  • Publication alerts by email
  • Transfers
  • Advertising
  • Job board
  • Contact
Myeloid-related protein-14 regulates deep vein thrombosis
Yunmei Wang, Huiyun Gao, Chase W. Kessinger, Alvin Schmaier, Farouc A. Jaffer, Daniel I. Simon
Yunmei Wang, Huiyun Gao, Chase W. Kessinger, Alvin Schmaier, Farouc A. Jaffer, Daniel I. Simon
View: Text | PDF
Research Article Cardiology Vascular biology

Myeloid-related protein-14 regulates deep vein thrombosis

  • Text
  • PDF
Abstract

Using transcriptional profiling of platelets from patients presenting with acute myocardial infarction, we identified myeloid-related protein-14 (MRP-14, also known as S100A9) as an acute myocardial infarction gene and reported that platelet MRP-14 binding to platelet CD36 regulates arterial thrombosis. However, whether MRP-14 plays a role in venous thrombosis is unknown. We subjected WT and Mrp-14–deficient (Mrp-14-/-) mice to experimental models of deep vein thrombosis (DVT) by stasis ligation or partial flow restriction (stenosis) of the inferior vena cava. Thrombus weight in response to stasis ligation or stenosis was reduced significantly in Mrp-14-/- mice compared with WT mice. The adoptive transfer of WT neutrophils or platelets, or the infusion of recombinant MRP-8/14, into Mrp-14-/- mice rescued the venous thrombosis defect in Mrp-14-/- mice, indicating that neutrophil- and platelet-derived MRP-14 directly regulate venous thrombogenesis. Stimulation of neutrophils with MRP-14 induced neutrophil extracellular trap (NET) formation, and NETs were reduced in venous thrombi harvested from Mrp-14-/- mice and in Mrp-14-/- neutrophils stimulated with ionomycin. Given prior evidence that MRP-14 also regulates arterial thrombosis, but not hemostasis (i.e., reduced bleeding risk), MRP-14 appears to be a particularly attractive molecular target for treating thrombotic cardiovascular diseases, including myocardial infarction, stroke, and venous thromboembolism.

Authors

Yunmei Wang, Huiyun Gao, Chase W. Kessinger, Alvin Schmaier, Farouc A. Jaffer, Daniel I. Simon

×

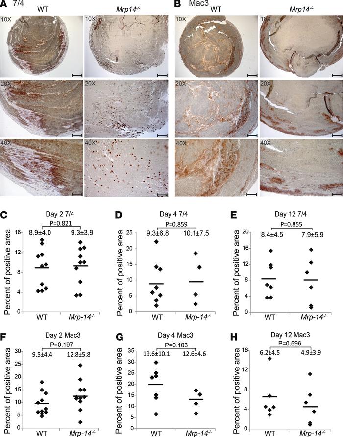
Figure 2

The accumulation of inflammatory cells is unimpaired in Mrp-14-/- thrombi.

Options: View larger image (or click on image) Download as PowerPoint
The accumulation of inflammatory cells is unimpaired in Mrp-14-/- thromb...
Immunohistochemistry staining of neutrophils (7/4-positive cells) and monocytes/macrophages (Mac-3–positive cells) in thrombi harvested at day 2, day 4, and day 12 after inferior vena cava (IVC) ligation. Representative photomicrographs of neutrophils (A) and macrophages (B) in WT and Mrp-14-/- thrombi harvested on day 4 after stasis IVC ligation. Quantification of neutrophils (C–E) and monocytes/macrophages (F–H) in WT and Mrp-14-/- thrombi harvested on day 2 (C and F), day 4 (D and G), and day 12 (E and H) after stasis IVC ligation. Data represent mean ± SD. Scale bars: 200 μm (top; original magnification, ×10); 100 μm (middle; original magnification, ×20); 50 μm (bottom; original magnification, ×40). P values were obtained by conducting unpaired, 2-tailed t test using Excel.

Copyright © 2026 American Society for Clinical Investigation
ISSN 2379-3708

Sign up for email alerts