Go to The Journal of Clinical Investigation
  • About
  • Editors
  • Consulting Editors
  • For authors
  • Publication ethics
  • Publication alerts by email
  • Transfers
  • Advertising
  • Job board
  • Contact
  • Physician-Scientist Development
  • Current issue
  • Past issues
  • By specialty
    • COVID-19
    • Cardiology
    • Immunology
    • Metabolism
    • Nephrology
    • Oncology
    • Pulmonology
    • All ...
  • Videos
  • Collections
    • In-Press Preview
    • Resource and Technical Advances
    • Clinical Research and Public Health
    • Research Letters
    • Editorials
    • Perspectives
    • Physician-Scientist Development
    • Reviews
    • Top read articles

  • Current issue
  • Past issues
  • Specialties
  • In-Press Preview
  • Resource and Technical Advances
  • Clinical Research and Public Health
  • Research Letters
  • Editorials
  • Perspectives
  • Physician-Scientist Development
  • Reviews
  • Top read articles
  • About
  • Editors
  • Consulting Editors
  • For authors
  • Publication ethics
  • Publication alerts by email
  • Transfers
  • Advertising
  • Job board
  • Contact
CD4+ and CD8+ T cells are not the main driver of Lassa fever pathogenesis in macaques
Jérémie Prévost, Nikesh Tailor, Geoff Soule, Jonathan Audet, Yvon Deschambault, Robert Vendramelli, Jessica Prado-Smith, Kevin Tierney, Kimberly Azaransky, Darwyn Kobasa, Chad S. Clancy, Heinz Feldmann, Kyle Rosenke, David Safronetz
Jérémie Prévost, Nikesh Tailor, Geoff Soule, Jonathan Audet, Yvon Deschambault, Robert Vendramelli, Jessica Prado-Smith, Kevin Tierney, Kimberly Azaransky, Darwyn Kobasa, Chad S. Clancy, Heinz Feldmann, Kyle Rosenke, David Safronetz
View: Text | PDF
Research Article Microbiology Public Health Virology

CD4+ and CD8+ T cells are not the main driver of Lassa fever pathogenesis in macaques

  • Text
  • PDF
Abstract

Empirical data from survivors of Lassa fever and experimental disease modeling efforts, particularly those using mouse models, are at odds with respect to T cell–mediated pathogenesis. In mice, T cells have been shown to be imperative in disease progression and lethality, whereas in humans, an early and robust T cell response has been associated with survival. Here, we assessed the role of CD4+ and CD8+ T cells on disease progression and severity of Lassa virus infection in a nonhuman primate model. Using an antibody-mediated T cell depletion strategy prior to and after inoculation, we were able to examine Lassa virus infection in the absence of specific T cell responses. In animals depleted for either CD4+ or CD8+ T cells, Lassa virus infection remained uniformly lethal, with only a slight delay in disease progression was observed in the CD4-depleted group when compared with nondepleted controls. Milder pulmonary pathology was noticed in the absence of CD4+ or CD8+ T cells. Overall, our findings suggest that T cells have a limited effect on the development of Lassa fever in nonhuman primates.

Authors

Jérémie Prévost, Nikesh Tailor, Geoff Soule, Jonathan Audet, Yvon Deschambault, Robert Vendramelli, Jessica Prado-Smith, Kevin Tierney, Kimberly Azaransky, Darwyn Kobasa, Chad S. Clancy, Heinz Feldmann, Kyle Rosenke, David Safronetz

×

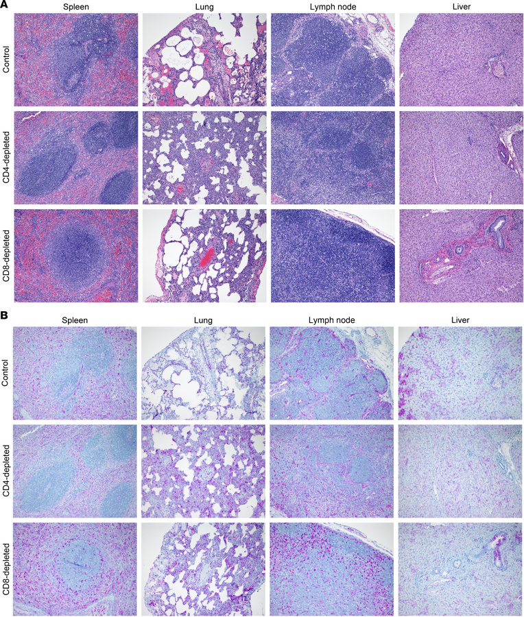
Figure 8

Histopathology of tissues from T cell–depleted LASV-infected cynomolgus macaques.

Options: View larger image (or click on image) Download as PowerPoint
Histopathology of tissues from T cell–depleted LASV-infected cynomolgus ...
(A) Formalin-fixed tissues (spleen, lung, lymph node, liver) from LASV-infected cynomolgus macaques were stained with H&E. (B) Formalin-fixed tissues (spleen, lung, lymph node, liver) from LASV-infected cynomolgus macaques were stained with rabbit anti-LASV nucleocapsid polyclonal antibody (purple) and counterstained with hematoxylin. Representative sections are shown. Total original magnification, ×100.

Copyright © 2025 American Society for Clinical Investigation
ISSN 2379-3708

Sign up for email alerts