Go to The Journal of Clinical Investigation
  • About
  • Editors
  • Consulting Editors
  • For authors
  • Publication ethics
  • Publication alerts by email
  • Transfers
  • Advertising
  • Job board
  • Contact
  • Physician-Scientist Development
  • Current issue
  • Past issues
  • By specialty
    • COVID-19
    • Cardiology
    • Immunology
    • Metabolism
    • Nephrology
    • Oncology
    • Pulmonology
    • All ...
  • Videos
  • Collections
    • In-Press Preview
    • Resource and Technical Advances
    • Clinical Research and Public Health
    • Research Letters
    • Editorials
    • Perspectives
    • Physician-Scientist Development
    • Reviews
    • Top read articles

  • Current issue
  • Past issues
  • Specialties
  • In-Press Preview
  • Resource and Technical Advances
  • Clinical Research and Public Health
  • Research Letters
  • Editorials
  • Perspectives
  • Physician-Scientist Development
  • Reviews
  • Top read articles
  • About
  • Editors
  • Consulting Editors
  • For authors
  • Publication ethics
  • Publication alerts by email
  • Transfers
  • Advertising
  • Job board
  • Contact
Differential pathology and susceptibility to MBNL loss across muscles in myotonic dystrophy mouse models
Mackenzie L. Davenport, Amaya Fong, Gloria Montoya-Vazquez, Maria Fernanda Alves de Moura, Jodi L. Bubenik, Maurice S. Swanson
Mackenzie L. Davenport, Amaya Fong, Gloria Montoya-Vazquez, Maria Fernanda Alves de Moura, Jodi L. Bubenik, Maurice S. Swanson
View: Text | PDF
Research Article Genetics Muscle biology

Differential pathology and susceptibility to MBNL loss across muscles in myotonic dystrophy mouse models

  • Text
  • PDF
Abstract

There are 2 subtypes of myotonic dystrophy, DM1 and DM2, each caused by repeat expansion mutations. The leading pathogenic mechanism is RNA-mediated toxicity, whereby (C)CUG expansions sequester the muscleblind-like (MBNL) family of RNA binding proteins. However, key differences exist in muscle involvement patterns and histopathology between DM1 and DM2. The cause of these disparities both in how the muscles are affected within each disease and between the 2 diseases is unknown, and it is unclear if current DM mouse models recapitulate these differences or develop differential muscle susceptibility. Here, we examined the expression of disease-relevant genes across healthy human muscles from a transcriptomic atlas and collected a series of muscles from Mbnl-KO mice to evaluate characteristic histologic and molecular features of DM pathology. Our results indicate that MBNL loss discordantly affects muscles, likely through a splicing-independent mechanism, and results in a fiber atrophy profile more like DM1 than DM2. These findings point to a predominant role for MBNL loss in muscle pattern involvement in DM1, provide further evidence for additional DM2 pathomechanisms, and have important implications for muscle choice when performing analyses in new mouse models and evaluating therapeutic modalities and biomarkers.

Authors

Mackenzie L. Davenport, Amaya Fong, Gloria Montoya-Vazquez, Maria Fernanda Alves de Moura, Jodi L. Bubenik, Maurice S. Swanson

×

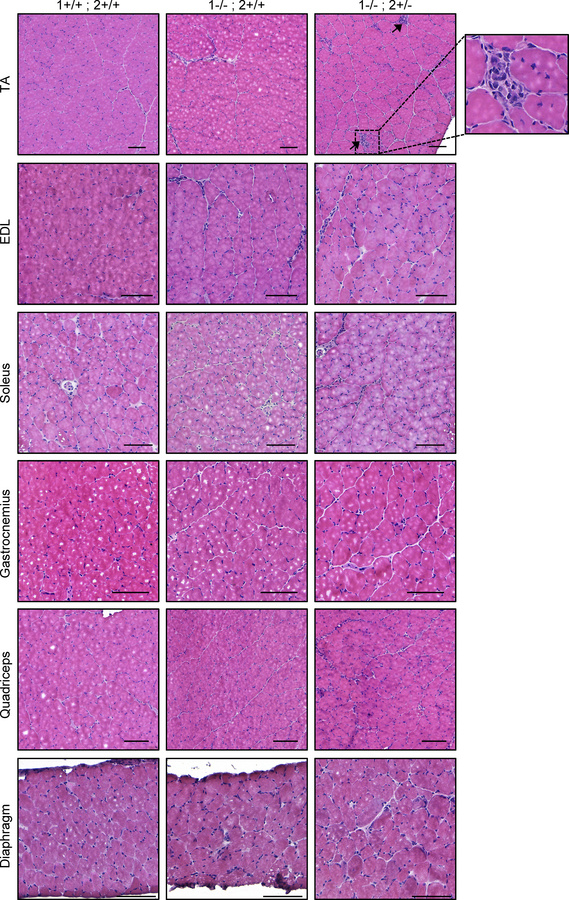
Figure 4

The TA muscle recapitulates more DM-like histopathology than other muscles.

Options: View larger image (or click on image) Download as PowerPoint
The TA muscle recapitulates more DM-like histopathology than other muscl...
H&E staining of TA, EDL, soleus, gastrocnemius, quadriceps, and diaphragm muscles from 8-week-old WT, Mbnl1–/–, and Mbnl1–/– Mbnl2+/– mice. Scale bar: 100 μm. Arrows indicate severely atrophic fibers with clustered nuclei. n = 4 mice per genotype. Note: the presence of white dots/circles in the center of myofibers is freeze artifact and does not reflect pathology. This does not influence the interpretation of results.

Copyright © 2026 American Society for Clinical Investigation
ISSN 2379-3708

Sign up for email alerts