Go to The Journal of Clinical Investigation
  • About
  • Editors
  • Consulting Editors
  • For authors
  • Publication ethics
  • Publication alerts by email
  • Transfers
  • Advertising
  • Job board
  • Contact
  • Physician-Scientist Development
  • Current issue
  • Past issues
  • By specialty
    • COVID-19
    • Cardiology
    • Immunology
    • Metabolism
    • Nephrology
    • Oncology
    • Pulmonology
    • All ...
  • Videos
  • Collections
    • In-Press Preview
    • Resource and Technical Advances
    • Clinical Research and Public Health
    • Research Letters
    • Editorials
    • Perspectives
    • Physician-Scientist Development
    • Reviews
    • Top read articles

  • Current issue
  • Past issues
  • Specialties
  • In-Press Preview
  • Resource and Technical Advances
  • Clinical Research and Public Health
  • Research Letters
  • Editorials
  • Perspectives
  • Physician-Scientist Development
  • Reviews
  • Top read articles
  • About
  • Editors
  • Consulting Editors
  • For authors
  • Publication ethics
  • Publication alerts by email
  • Transfers
  • Advertising
  • Job board
  • Contact
A role for the transcriptional coregulator RIP140 in the control of muscle endurance fitness
Elizabeth Pruzinsky, Kirill Batmanov, Denis M. Medeiros, Sarah M. Sulon, Brian P. Sullivan, Tomoya Sakamoto, Teresa C. Leone, Tejvir S. Khurana, Daniel P. Kelly
Elizabeth Pruzinsky, Kirill Batmanov, Denis M. Medeiros, Sarah M. Sulon, Brian P. Sullivan, Tomoya Sakamoto, Teresa C. Leone, Tejvir S. Khurana, Daniel P. Kelly
View: Text | PDF
Research Article Metabolism Muscle biology

A role for the transcriptional coregulator RIP140 in the control of muscle endurance fitness

  • Text
  • PDF
Abstract

Poor skeletal muscle fitness contributes to many chronic disease states, including obesity, heart failure, primary muscle disorders, and age-related sarcopenia. Receptor-interacting protein 140 (RIP140) is a striated muscle–enriched nuclear receptor coregulator known to suppress mitochondrial oxidative capacity. To investigate the role of RIP140 in skeletal muscle, striated muscle–specific RIP140-deficient (strNrip1–/–) mice were generated and characterized. strNrip1–/– mice displayed an enhanced endurance performance phenotype. RNA-sequence (RNA-seq) analysis of glycolytic fast-twitch muscle from strNrip1–/– mice identified a broad array of differentially upregulated metabolic and structural muscle genes known to be induced by endurance training, including pathways involved in mitochondrial biogenesis and respiration, fatty acid oxidation, slow muscle fiber type, and angiogenesis. In addition, muscle RIP140 deficiency induced expansive neuromuscular junction (NMJ) remodeling. Integration of RNA-seq results with CUT&RUN analysis of strNrip1–/– myotubes identified Wnt16 as a candidate effector for the NMJ biogenesis in RIP140-deficient skeletal myotubes. We conclude that RIP140 serves as a physiological “rheostat” for a broad coordinated network of metabolic and structural genes involved in skeletal muscle fitness.

Authors

Elizabeth Pruzinsky, Kirill Batmanov, Denis M. Medeiros, Sarah M. Sulon, Brian P. Sullivan, Tomoya Sakamoto, Teresa C. Leone, Tejvir S. Khurana, Daniel P. Kelly

×

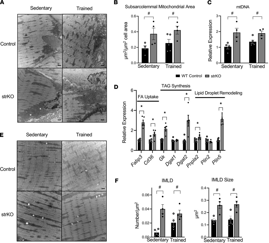
Figure 5

The ultrastructure of strNrip1–/– EDL reveals increased subsarcolemmal mitochondria and intramyocellular lipid droplets (IMLDs) in close apposition.

Options: View larger image (or click on image) Download as PowerPoint
The ultrastructure of strNrip1–/– EDL reveals increased subsarcolemmal m...
(A) Representative electron micrographs of subsarcolemmal mitochondria in EDL muscle from 16-week-old male strNrip1–/– (strKO) sedentary, WT control sedentary, strNrip1–/– trained, and WT control trained mice. Scale bars: 1 μm. (B) Subsarcolemmal mitochondrial density quantified from the electron micrograph images from strKO sedentary, WT control sedentary, strKO trained, and WT control trained mice (n = 4–5 mice per group, 5 images analyzed per mouse). (C) Mitochondrial DNA (mtDNA) quantified from EDL muscle from male strKO sedentary, WT control sedentary, strKO trained, and WT control trained mice (n = 4–5 mice per group). (D) Expression of genes involved in triglyceride dynamics comparing strKO and WT control EDL muscle measured by qPCR (n = 5–6 mice per group). TAG, triacylglycerol; FA, fatty acid. (E) Representative electron micrographs of EDL muscle from male strKO sedentary, control sedentary, strKO trained, and WT control trained mice depicting lipid droplets (n = 4 mice per group). Scale bars: 1 μm. (F) IMLD number and size measured from the electron micrographs in EDL muscle from male strKO sedentary, control sedentary, strKO trained, and WT control trained mice (n = 4 per group, 5 images analyzed per mouse). Values are the mean ± SEM. #P < 0.05 comparing genotypes and †P < 0.05 comparing training by 2-way ANOVA displaying main effects (B, C, and F) or by 2-tailed, unpaired Student’s t test (D).

Copyright © 2026 American Society for Clinical Investigation
ISSN 2379-3708

Sign up for email alerts