Go to The Journal of Clinical Investigation
  • About
  • Editors
  • Consulting Editors
  • For authors
  • Publication ethics
  • Publication alerts by email
  • Transfers
  • Advertising
  • Job board
  • Contact
  • Physician-Scientist Development
  • Current issue
  • Past issues
  • By specialty
    • COVID-19
    • Cardiology
    • Immunology
    • Metabolism
    • Nephrology
    • Oncology
    • Pulmonology
    • All ...
  • Videos
  • Collections
    • In-Press Preview
    • Resource and Technical Advances
    • Clinical Research and Public Health
    • Research Letters
    • Editorials
    • Perspectives
    • Physician-Scientist Development
    • Reviews
    • Top read articles

  • Current issue
  • Past issues
  • Specialties
  • In-Press Preview
  • Resource and Technical Advances
  • Clinical Research and Public Health
  • Research Letters
  • Editorials
  • Perspectives
  • Physician-Scientist Development
  • Reviews
  • Top read articles
  • About
  • Editors
  • Consulting Editors
  • For authors
  • Publication ethics
  • Publication alerts by email
  • Transfers
  • Advertising
  • Job board
  • Contact
SPOP mutations increase PARP inhibitor sensitivity via CK2/PIAS1/SPOP axis in prostate cancer
Hui Zhang, Lili Kong, Jinhui Li, Zhihan Liu, Yiting Zhao, Xiuyi Lv, Liangpei Wu, Lin Chai, Hongjie You, Jiabei Jin, Xinyi Cao, Zhong Zheng, Yadong Liu, Zejun Yan, Xiaofeng Jin
Hui Zhang, Lili Kong, Jinhui Li, Zhihan Liu, Yiting Zhao, Xiuyi Lv, Liangpei Wu, Lin Chai, Hongjie You, Jiabei Jin, Xinyi Cao, Zhong Zheng, Yadong Liu, Zejun Yan, Xiaofeng Jin
View: Text | PDF
Research Article Cell biology Genetics Oncology

SPOP mutations increase PARP inhibitor sensitivity via CK2/PIAS1/SPOP axis in prostate cancer

  • Text
  • PDF
Abstract

It is well documented that impaired DNA damage repair (DDR) induces genomic instability that can efficiently increase the sensitivity of prostate cancer (PCa) cells to PARP inhibitors; however, the underlying mechanism remains elusive. Here, we found profound genomic instability in PCa cells with SPOP gene mutations and confirmed the sensitivity of SPOP-mutated PCa cells to olaparib-induced apoptosis. Mechanistically, we identified olaparib-induced CK2-mediated phosphorylation of PIAS1-S468, which in turn mediated SUMOylation of SPOP, thus promoting its E3 ligase activity in the DDR. Moreover, an abnormal CK2/PIAS1/SPOP axis due to SPOP mutations or defects in CK2-mediated phosphorylation of PIAS1, as well as SPOP inhibitor treatment, led to impaired DDR, thus increasing olaparib-induced apoptosis of PCa cells and enhancing olaparib sensitivity in animal models and patient-derived organoids. This suggested that disruption of the CK2/PIAS1/SPOP signaling axis could serve as an indicator for targeted therapy of PCa using a PARP inhibitor.

Authors

Hui Zhang, Lili Kong, Jinhui Li, Zhihan Liu, Yiting Zhao, Xiuyi Lv, Liangpei Wu, Lin Chai, Hongjie You, Jiabei Jin, Xinyi Cao, Zhong Zheng, Yadong Liu, Zejun Yan, Xiaofeng Jin

×

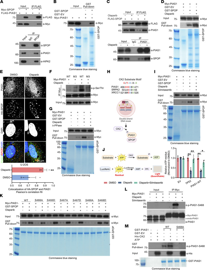
Figure 2

Olaparib induces CK2-mediated phosphorylation of PIAS1-S468, increasing PIAS1-SPOP interactions.

Options: View larger image (or click on image) Download as PowerPoint
Olaparib induces CK2-mediated phosphorylation of PIAS1-S468, increasing ...
(A) In vivo interaction assays in HEK-293T cells with exogenous (top) and endogenous (bottom) PIAS1 and SPOP protein levels showing the interaction between PIAS1 and SPOP. (B) In vitro interaction assays utilizing cell lysates from Myc-PIAS1–transfected HEK-293T cells and purified GST-SPOP or GST from BL21 (DE3) competent cells. (C) In vivo interaction assays of exogenous (top) and endogenous (bottom) protein levels from HEK-293T cells showing the enhanced interaction between PIAS1 and SPOP under olaparib (10 μM) treatment. (D) In vitro interaction assays utilizing cell lysates from Myc-PIAS1–transfected HEK-293T cells treated with olaparib (10 μM) or not and purified GST-SPOP or GST from BL21 (DE3) competent cells. (E) Top: Representative immunofluorescence images of U-2OS cells transfected with HA-SPOP plasmid and/or not treated with olaparib (10 μM), stained for HA-SPOP (green), PIAS1 (red), and with DAPI (blue). Scale bar: 20 μm. Bottom: Quantitative analysis (n = 5) of colocalization between SPOP and PIAS1 through Image-Pro Plus 6.0 software. (F) Co-IP utilizing cell lysates from Myc-PIAS1-WT– or Myc-PIAS1-M3–transfected HEK-293T cells treated with olaparib or not, stained with a pan-phosphorylation antibody. (G) In vitro interaction assays utilizing phosphatase-treated cell lysates from Myc-PIAS1–transfected HEK-293T cells treated with olaparib (10 μM) or not. (H) Top: Diagram showing CK2 substrate motif in PIAS1. Bottom: CK2 mediates phosphorylation of PIAS1 to promote the interaction between PIAS1 and SPOP under olaparib treatment. Created in BioRender. (I) In vitro interaction assays utilizing cell lysate from Myc-PIAS1–transfected HEK-293T cells treated with olaparib (10 μM) and CK2 inhibitor (silmitasertib) or not. (J) Left: Working model of luminescence-based kinase assay. Created in BioRender. Right: Kinase activity assays utilizing purified CK2 from HEK-293T cells treated with olaparib or not, and silmitasertib or not, as well as purified GST-EV, TP53, and PIAS1 proteins from BL21 cells. (K) In vitro interaction assays utilizing cell lysates from Myc-PIAS1-WT– or Myc-PIAS1-MUT–transfected HEK-293T cells treated with olaparib (10 μM) or not. (L) Co-IP utilizing cell lysates from Myc-PIAS1–transfected HEK-293T cells treated with olaparib and silmitasertib or not, stained with anti-PIAS1 and anti–PIAS1-Ser468 antibodies. (M) In vitro interaction assays utilizing purified GST-PIAS1-WT, GST-PIAS1-S468A, GST-EV, and His-CK2 from BL21 (DE3) competent cells. Top: Western blot with anti–PIAS1-Ser468 and anti-His antibodies. Bottom: Coomassie blue –stained gel. Data are shown as mean ± SD. *P < 0.05; **P < 0.01 by 2-tailed, unpaired Student’s t test.

Copyright © 2026 American Society for Clinical Investigation
ISSN 2379-3708

Sign up for email alerts