Go to The Journal of Clinical Investigation
  • About
  • Editors
  • Consulting Editors
  • For authors
  • Publication ethics
  • Publication alerts by email
  • Transfers
  • Advertising
  • Job board
  • Contact
  • Physician-Scientist Development
  • Current issue
  • Past issues
  • By specialty
    • COVID-19
    • Cardiology
    • Immunology
    • Metabolism
    • Nephrology
    • Oncology
    • Pulmonology
    • All ...
  • Videos
  • Collections
    • In-Press Preview
    • Resource and Technical Advances
    • Clinical Research and Public Health
    • Research Letters
    • Editorials
    • Perspectives
    • Physician-Scientist Development
    • Reviews
    • Top read articles

  • Current issue
  • Past issues
  • Specialties
  • In-Press Preview
  • Resource and Technical Advances
  • Clinical Research and Public Health
  • Research Letters
  • Editorials
  • Perspectives
  • Physician-Scientist Development
  • Reviews
  • Top read articles
  • About
  • Editors
  • Consulting Editors
  • For authors
  • Publication ethics
  • Publication alerts by email
  • Transfers
  • Advertising
  • Job board
  • Contact
G6PC3 promotes genome maintenance and is a candidate mammary tumor suppressor
Xin Li, Maria Rossing, Ana Moisés da Silva, Muthiah Bose, Thorkell Gudjónsson, Jan Benada, Jayashree Thatte, Jens Vilstrup Johansen, Judit Börcsök, Hanneke van der Gulden, Ji-Ying Song, Renée Menezes, Asma Tajik, Lucía Sena, Zoltan Szallasi, Morten Frödin, Jos Jonkers, Finn Cilius Nielsen, Claus Storgaard Sørensen
Xin Li, Maria Rossing, Ana Moisés da Silva, Muthiah Bose, Thorkell Gudjónsson, Jan Benada, Jayashree Thatte, Jens Vilstrup Johansen, Judit Börcsök, Hanneke van der Gulden, Ji-Ying Song, Renée Menezes, Asma Tajik, Lucía Sena, Zoltan Szallasi, Morten Frödin, Jos Jonkers, Finn Cilius Nielsen, Claus Storgaard Sørensen
View: Text | PDF
Research Article Cell biology Clinical Research Genetics

G6PC3 promotes genome maintenance and is a candidate mammary tumor suppressor

  • Text
  • PDF
Abstract

Mutations in genome maintenance factors drive sporadic and hereditary breast cancers. Here, we searched for potential drivers based on germline DNA analysis from a cohort consisting of patients with early-onset breast cancer negative for BRCA1/BRCA2 mutations. This revealed candidate genes that subsequently were subjected to RNA interference–based (RNAi-based) phenotype screens to reveal genome integrity effects. We identified several genes with functional roles in genome maintenance, including Glucose-6-Phosphatase Catalytic Subunit 3 (G6PC3), SMC4, and CCDC108. Notably, G6PC3-deficient cells exhibited increased levels of γH2AX and micronuclei formation, along with defects in homologous recombination (HR) repair. Consistent with these observations, G6PC3 was required for the efficient recruitment of BRCA1 to sites of DNA double-strand breaks (DSBs). RNA-Seq analysis revealed that G6PC3 promotes the expression of multiple homologous recombination repair genes, including BRCA1. Through CRISPR-Select functional-genetic phenotype analysis of G6PC3 germline mutations, we identified 2 germline G6PC3 variants displaying partial loss of function. Furthermore, our study demonstrated that G6pc3 deficiency accelerates mammary tumor formation induced by Trp53 loss in mice. In conclusion, our cohort-based functional analysis has unveiled genome maintenance factors and identified G6PC3 as a potential candidate tumor suppressor in breast cancer.

Authors

Xin Li, Maria Rossing, Ana Moisés da Silva, Muthiah Bose, Thorkell Gudjónsson, Jan Benada, Jayashree Thatte, Jens Vilstrup Johansen, Judit Börcsök, Hanneke van der Gulden, Ji-Ying Song, Renée Menezes, Asma Tajik, Lucía Sena, Zoltan Szallasi, Morten Frödin, Jos Jonkers, Finn Cilius Nielsen, Claus Storgaard Sørensen

×

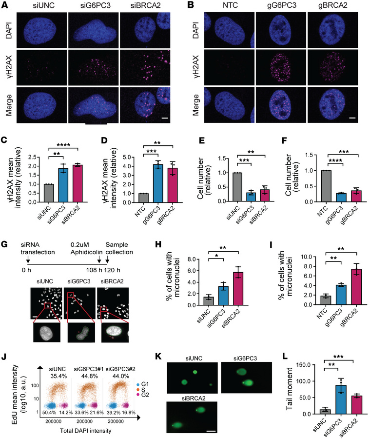
Figure 2

G6PC3 is necessary to maintain genome integrity.

Options: View larger image (or click on image) Download as PowerPoint
G6PC3 is necessary to maintain genome integrity.
(A and B) Representativ...
(A and B) Representative confocal images of γH2AX in U2OS cells treated with either siRNAs (A) or CRISPR gRNAs (B). Scale bar: 5 μm. (C and D) Bar plots indicate relative γH2AX levels in U2OS cells treated with either siRNAs (C) or CRISPR gRNAs (D). Fold changes were normalized to control siRNA (set to 1). (E and F) Bar plots indicate relative cell number in U2OS cells treated with either siRNAs (E) or CRISPR gRNAs (F). Fold changes were normalized to control siRNA (set to 1). (G) Schematic illustration of micronuclei estimation through QIBC. Scale bar: 50 μm. (H and I) Bar plots indicate percentage of U2OS cells with micronuclei. Sells were treated with siRNAs (H) or CRISPR gRNAs (I). (J) Cell cycle analysis of U2OS cells treated with siRNAs. Cells were gated into G1, S, and G2 phase based on total DAPI and mean EdU intensity. Representation of 1 of 3 biological replicates, n = 25,929 per sample. (K) Representative images of comet tails in U2OS cells after transfection with indicated siRNAs. Scale bar: 100 μm. (L) Bar plot indicate average tail moment, quantified by ImageJ software (67). Data are means ± SD from 3 biological replicates; statistical significance of differences was evaluated using 1-way ANOVA followed by Dunnett’s test. *P < 0.05, **P < 0.01, ***P < 0.001, ****P < 0.0001.

Copyright © 2026 American Society for Clinical Investigation
ISSN 2379-3708

Sign up for email alerts