Go to The Journal of Clinical Investigation
  • About
  • Editors
  • Consulting Editors
  • For authors
  • Publication ethics
  • Publication alerts by email
  • Transfers
  • Advertising
  • Job board
  • Contact
  • Physician-Scientist Development
  • Current issue
  • Past issues
  • By specialty
    • COVID-19
    • Cardiology
    • Immunology
    • Metabolism
    • Nephrology
    • Oncology
    • Pulmonology
    • All ...
  • Videos
  • Collections
    • In-Press Preview
    • Resource and Technical Advances
    • Clinical Research and Public Health
    • Research Letters
    • Editorials
    • Perspectives
    • Physician-Scientist Development
    • Reviews
    • Top read articles

  • Current issue
  • Past issues
  • Specialties
  • In-Press Preview
  • Resource and Technical Advances
  • Clinical Research and Public Health
  • Research Letters
  • Editorials
  • Perspectives
  • Physician-Scientist Development
  • Reviews
  • Top read articles
  • About
  • Editors
  • Consulting Editors
  • For authors
  • Publication ethics
  • Publication alerts by email
  • Transfers
  • Advertising
  • Job board
  • Contact
TRPC1 links calcium signaling to cellular senescence in the protection against posttraumatic osteoarthritis
Meike Sambale, Starlee Lively, Osvaldo Espin-Garcia, Pratibha Potla, Chiara Pastrello, Sarah Bödecker, Linda Wessendorf, Simon Kleimann, Peter Paruzel, Rojiar Asgarian, Alexandra Tosun, Johanna Intemann, Jessica Bertrand, Francesco Dell’Accio, Mohit Kapoor, Thomas Pap, Joanna Sherwood
Meike Sambale, Starlee Lively, Osvaldo Espin-Garcia, Pratibha Potla, Chiara Pastrello, Sarah Bödecker, Linda Wessendorf, Simon Kleimann, Peter Paruzel, Rojiar Asgarian, Alexandra Tosun, Johanna Intemann, Jessica Bertrand, Francesco Dell’Accio, Mohit Kapoor, Thomas Pap, Joanna Sherwood
View: Text | PDF
Research Article Bone biology Cell biology

TRPC1 links calcium signaling to cellular senescence in the protection against posttraumatic osteoarthritis

  • Text
  • PDF
Abstract

Transient receptor potential channel 1 (TRPC1) is a widely expressed mechanosensitive ion channel located within the endoplasmic reticulum membrane, crucial for refilling depleted internal calcium stores during activation of calcium-dependent signaling pathways. Here, we have demonstrated that TRPC1 activity is protective within cartilage homeostasis in the prevention of cellular senescence–associated cartilage breakdown during mechanical and inflammatory challenge. We revealed that TRPC1 loss is associated with early stages of osteoarthritis (OA) and plays a nonredundant role in calcium signaling in chondrocytes. Trpc1–/– mice subjected to destabilization of the medial meniscus–induced OA developed a more severe OA phenotype than WT controls. During early OA development, Trpc1–/– mice displayed an increased chondrocyte survival rate; however, remaining cells displayed features of senescence including p16INK4a expression and decreased Sox9. RNA-Seq identified differentially expressed genes related to cell number, apoptosis, and extracellular matrix organization. Trpc1–/– chondrocytes exhibited accelerated dedifferentiation, while demonstrating an increased susceptibility to cellular senescence. Targeting the mechanism of TRPC1 activation may be a promising therapeutic strategy in OA prevention.

Authors

Meike Sambale, Starlee Lively, Osvaldo Espin-Garcia, Pratibha Potla, Chiara Pastrello, Sarah Bödecker, Linda Wessendorf, Simon Kleimann, Peter Paruzel, Rojiar Asgarian, Alexandra Tosun, Johanna Intemann, Jessica Bertrand, Francesco Dell’Accio, Mohit Kapoor, Thomas Pap, Joanna Sherwood

×

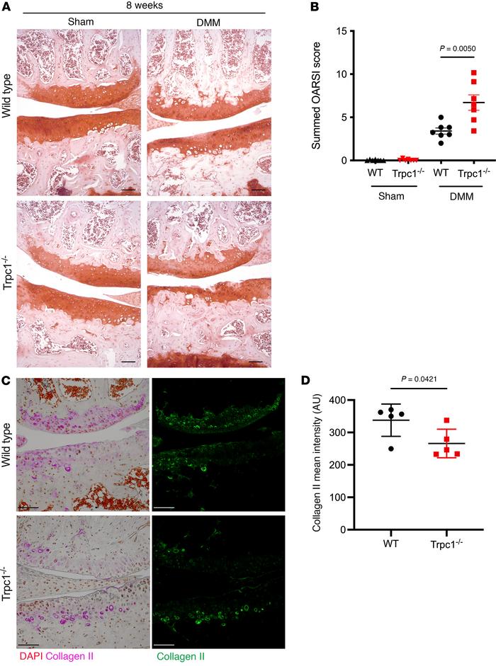
Figure 2

Assessment of articular cartilage phenotype 8 weeks after surgery (sham versus DMM).

Options: View larger image (or click on image) Download as PowerPoint
Assessment of articular cartilage phenotype 8 weeks after surgery (sham ...
(A) Representative images of Safranin-O–stained paraffin sections of medial compartments of knee joints of WT control and Trpc1–/– mice 8 weeks after DMM. Scale bar: 100 μm. (B) Summed OARSI score of medial and lateral compartments of WT and Trpc1–/– knee joints 8 weeks after DMM (n = 7). (C) Immunofluorescence detection of collagen type II in the medial compartments of WT and Trpc1–/– knee joints 8 weeks after DMM. Scale bar: 100 μm. For isotype negative control staining, see Supplemental Figure 3D. (D) Quantification of the mean fluorescent signal intensity of collagen type II immunofluorescence within the remaining medial articular cartilage (n = 5). For all graphs, data are expressed as mean ± SEM and P values were determined by unpaired t test.

Copyright © 2026 American Society for Clinical Investigation
ISSN 2379-3708

Sign up for email alerts