Go to The Journal of Clinical Investigation
  • About
  • Editors
  • Consulting Editors
  • For authors
  • Publication ethics
  • Publication alerts by email
  • Transfers
  • Advertising
  • Job board
  • Contact
  • Physician-Scientist Development
  • Current issue
  • Past issues
  • By specialty
    • COVID-19
    • Cardiology
    • Immunology
    • Metabolism
    • Nephrology
    • Oncology
    • Pulmonology
    • All ...
  • Videos
  • Collections
    • In-Press Preview
    • Resource and Technical Advances
    • Clinical Research and Public Health
    • Research Letters
    • Editorials
    • Perspectives
    • Physician-Scientist Development
    • Reviews
    • Top read articles

  • Current issue
  • Past issues
  • Specialties
  • In-Press Preview
  • Resource and Technical Advances
  • Clinical Research and Public Health
  • Research Letters
  • Editorials
  • Perspectives
  • Physician-Scientist Development
  • Reviews
  • Top read articles
  • About
  • Editors
  • Consulting Editors
  • For authors
  • Publication ethics
  • Publication alerts by email
  • Transfers
  • Advertising
  • Job board
  • Contact
The homing of exogenous hair follicle mesenchymal stem cells into hair follicle niches
Kaitao Li, Fang Liu, Ye He, Qian Qu, Pingping Sun, Lijuan Du, Jin Wang, Ruosi Chen, Yuyang Gan, Danlan Fu, Zhexiang Fan, Bingcheng Liu, Zhiqi Hu, Yong Miao
Kaitao Li, Fang Liu, Ye He, Qian Qu, Pingping Sun, Lijuan Du, Jin Wang, Ruosi Chen, Yuyang Gan, Danlan Fu, Zhexiang Fan, Bingcheng Liu, Zhiqi Hu, Yong Miao
View: Text | PDF
Research Article Dermatology Stem cells

The homing of exogenous hair follicle mesenchymal stem cells into hair follicle niches

  • Text
  • PDF
Abstract

Hair loss is a debilitating condition associated with the depletion of dermal papilla cells (DPCs), which can be replenished by dermal sheath cells (DSCs). Hence, strategies aimed at increasing the populations of DPCs and DSCs hold promise for the treatment of hair loss. In this study, we demonstrated in mice that introduced exogenous DPCs and DSCs (hair follicle mesenchymal stem cells) could effectively migrate and integrate into the dermal papilla and dermal sheath niches, leading to enhanced hair growth and prolonged anagen phases. However, the homing rates of DPCs and DSCs were influenced by various factors, including recipient mouse depilation, cell passage number, cell dose, and immune rejection. Through in vitro and in vivo experiments, we also discovered that the CXCL13/CXCR5 pathway mediated the homing of DPCs and DSCs into hair follicle niches. This study underscores the potential of cell-based therapies for hair loss by targeted delivery of DPCs and DSCs to their respective niches and sheds light on the intriguing concept that isolated mesenchymal stem cells can home back to their original niche microenvironment.

Authors

Kaitao Li, Fang Liu, Ye He, Qian Qu, Pingping Sun, Lijuan Du, Jin Wang, Ruosi Chen, Yuyang Gan, Danlan Fu, Zhexiang Fan, Bingcheng Liu, Zhiqi Hu, Yong Miao

×

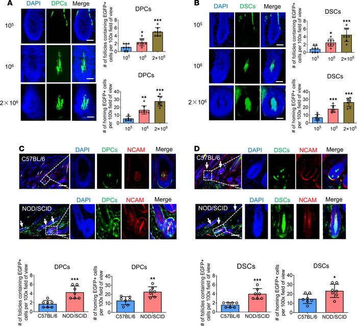
Figure 5

Cell dose and immunological rejection affect the homing rate of exogenous hfMSCs.

Options: View larger image (or click on image) Download as PowerPoint
Cell dose and immunological rejection affect the homing rate of exogenou...
(A and B) Longitudinal sections of HF were harvested 2 weeks after intradermal injection of DPCs and DSCs at different doses into NOD/SCID mouse skin. Number of HFs containing EGFP+ transplanted cells and number of homing EGFP+ cells per ×100 original magnification field of view (n = 8 skin sections from 4 mice per group). (C and D) Dorsal skin sections were harvested 2 weeks after intradermal injection of DPCs and DSCs into C57BL/6 and NOD/SCID mouse skin. HFs containing exogenous DPCs (green; arrow) or DSCs (green; arrow) were immunostained for NCAM (red). Number of HFs containing EGFP+ transplanted cells and number of homing EGFP+ cells per ×100 original magnification field of view (n = 7 skin sections from 4 mice per group). Scale bars: 25 μm in A and B; 100 μm in C and D. Statistical comparisons were performed using 1-way ANOVA followed by Bonferroni’s post hoc test (A and B) and 2-tailed Student’s t test (C and D). Data reported as mean ± SD. *P < 0.05, **P < 0.01, ***P < 0.001.

Copyright © 2026 American Society for Clinical Investigation
ISSN 2379-3708

Sign up for email alerts