Go to The Journal of Clinical Investigation
  • About
  • Editors
  • Consulting Editors
  • For authors
  • Publication ethics
  • Publication alerts by email
  • Transfers
  • Advertising
  • Job board
  • Contact
  • Physician-Scientist Development
  • Current issue
  • Past issues
  • By specialty
    • COVID-19
    • Cardiology
    • Immunology
    • Metabolism
    • Nephrology
    • Oncology
    • Pulmonology
    • All ...
  • Videos
  • Collections
    • In-Press Preview
    • Resource and Technical Advances
    • Clinical Research and Public Health
    • Research Letters
    • Editorials
    • Perspectives
    • Physician-Scientist Development
    • Reviews
    • Top read articles

  • Current issue
  • Past issues
  • Specialties
  • In-Press Preview
  • Resource and Technical Advances
  • Clinical Research and Public Health
  • Research Letters
  • Editorials
  • Perspectives
  • Physician-Scientist Development
  • Reviews
  • Top read articles
  • About
  • Editors
  • Consulting Editors
  • For authors
  • Publication ethics
  • Publication alerts by email
  • Transfers
  • Advertising
  • Job board
  • Contact
Sanglifehrin A mitigates multiorgan fibrosis by targeting the collagen chaperone cyclophilin B
Hope A. Flaxman, Maria-Anna Chrysovergi, Hongwei Han, Farah Kabir, Rachael T. Lister, Chia-Fu Chang, Robert Yvon, Katharine E. Black, Andreas Weigert, Rajkumar Savai, Alejandro Egea-Zorrilla, Ana Pardo-Saganta, David Lagares, Christina M. Woo
Hope A. Flaxman, Maria-Anna Chrysovergi, Hongwei Han, Farah Kabir, Rachael T. Lister, Chia-Fu Chang, Robert Yvon, Katharine E. Black, Andreas Weigert, Rajkumar Savai, Alejandro Egea-Zorrilla, Ana Pardo-Saganta, David Lagares, Christina M. Woo
View: Text | PDF
Research Article Inflammation Therapeutics

Sanglifehrin A mitigates multiorgan fibrosis by targeting the collagen chaperone cyclophilin B

  • Text
  • PDF
Abstract

Pathological deposition and crosslinking of collagen type I by activated myofibroblasts drives progressive tissue fibrosis. Therapies that inhibit collagen synthesis have potential as antifibrotic agents. We identify the collagen chaperone cyclophilin B as a major cellular target of the natural product sanglifehrin A (SfA) using photoaffinity labeling and chemical proteomics. Mechanistically, SfA inhibits and induces the secretion of cyclophilin B from the endoplasmic reticulum (ER) and prevents TGF-β1–activated myofibroblasts from synthesizing and secreting collagen type I in vitro, without inducing ER stress or affecting collagen type I mRNA transcription, myofibroblast migration, contractility, or TGF-β1 signaling. In vivo, SfA induced cyclophilin B secretion in preclinical models of fibrosis, thereby inhibiting collagen synthesis from fibrotic fibroblasts and mitigating the development of lung and skin fibrosis in mice. Ex vivo, SfA induces cyclophilin B secretion and inhibits collagen type I secretion from fibrotic human lung fibroblasts and samples from patients with idiopathic pulmonary fibrosis (IPF). Taken together, we provide chemical, molecular, functional, and translational evidence for demonstrating direct antifibrotic activities of SfA in preclinical and human ex vivo fibrotic models. Our results identify the cellular target of SfA, the collagen chaperone cyclophilin B, as a mechanistic target for the treatment of organ fibrosis.

Authors

Hope A. Flaxman, Maria-Anna Chrysovergi, Hongwei Han, Farah Kabir, Rachael T. Lister, Chia-Fu Chang, Robert Yvon, Katharine E. Black, Andreas Weigert, Rajkumar Savai, Alejandro Egea-Zorrilla, Ana Pardo-Saganta, David Lagares, Christina M. Woo

×

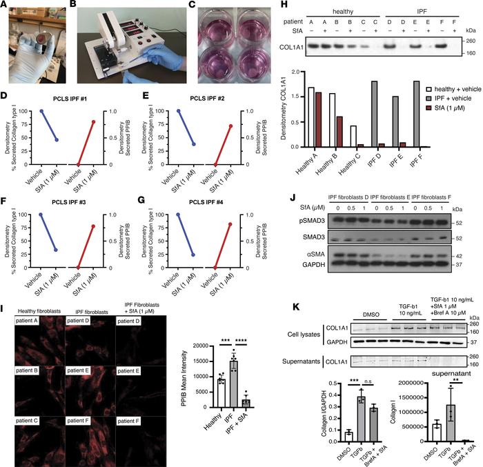
Figure 6

SfA reduces collagen secretion from primary fibrotic fibroblasts.

Options: View larger image (or click on image) Download as PowerPoint
SfA reduces collagen secretion from primary fibrotic fibroblasts.
(A and...
(A and B) Generation of precision cut lung slices (PCLS) from explanted lung tissue isolated from patients with idiopathic pulmonary fibrosis (IPF). Lung tissue was obtained in 1 cm blocks (A) before being sliced (200–300 μm thick) using a Compresstome VF-310-0Z (B). (C) PCLS were then treated with or without SfA (1 μM) for 72 hours in culture (n = 4) . (D–G) Analysis of collagen and PPIB secretion from PCLS prepared from IPF patient lung tissue ± 1 μM SfA in supernatants (n = 4). (H) Western blot for collagen type I secreted by primary human fibroblasts isolated from healthy controls and patients with IPF ± 1 μM SfA over 96 hours in cell supernatants. (I) Intracellular PPIB levels in healthy or IPF fibroblasts with or without 1 μM SfA treatment by immunofluorescence. (J) Western blot for α-smooth muscle actin (αSMA) and phosphoSMAD3/SMAD3 signaling in IPF fibroblasts ± SfA over 96 hours in cell lysates. GAPDH was used as loading control. (K) COL1A1 levels in cell lysates and supernatants of TGF-β–activated fibroblasts treated with or without 1 μM SfA and 10 μM brefeldin A. D–G were analyzed with a 2-tailed t test against a hypothetical value of 1. Graphed data in I and K represent mean ± SD.

Copyright © 2026 American Society for Clinical Investigation
ISSN 2379-3708

Sign up for email alerts