Go to The Journal of Clinical Investigation
  • About
  • Editors
  • Consulting Editors
  • For authors
  • Publication ethics
  • Publication alerts by email
  • Transfers
  • Advertising
  • Job board
  • Contact
  • Physician-Scientist Development
  • Current issue
  • Past issues
  • By specialty
    • COVID-19
    • Cardiology
    • Immunology
    • Metabolism
    • Nephrology
    • Oncology
    • Pulmonology
    • All ...
  • Videos
  • Collections
    • In-Press Preview
    • Resource and Technical Advances
    • Clinical Research and Public Health
    • Research Letters
    • Editorials
    • Perspectives
    • Physician-Scientist Development
    • Reviews
    • Top read articles

  • Current issue
  • Past issues
  • Specialties
  • In-Press Preview
  • Resource and Technical Advances
  • Clinical Research and Public Health
  • Research Letters
  • Editorials
  • Perspectives
  • Physician-Scientist Development
  • Reviews
  • Top read articles
  • About
  • Editors
  • Consulting Editors
  • For authors
  • Publication ethics
  • Publication alerts by email
  • Transfers
  • Advertising
  • Job board
  • Contact
Farnesoid X receptor mediates macrophage-intrinsic responses to suppress colitis-induced colon cancer progression
Xingchen Dong, Ming Qi, Chunmiao Cai, Yu Zhu, Yuwenbin Li, Sally Coulter, Fei Sun, Christopher Liddle, Nataliya V. Uboha, Richard Halberg, Wei Xu, Paul Marker, Ting Fu
Xingchen Dong, Ming Qi, Chunmiao Cai, Yu Zhu, Yuwenbin Li, Sally Coulter, Fei Sun, Christopher Liddle, Nataliya V. Uboha, Richard Halberg, Wei Xu, Paul Marker, Ting Fu
View: Text | PDF
Research Article Endocrinology Gastroenterology

Farnesoid X receptor mediates macrophage-intrinsic responses to suppress colitis-induced colon cancer progression

  • Text
  • PDF
Abstract

Bile acids (BAs) affect the intestinal environment by ensuring barrier integrity, maintaining microbiota balance, regulating epithelium turnover, and modulating the immune system. As a master regulator of BA homeostasis, farnesoid X receptor (FXR) is severely compromised in patients with inflammatory bowel disease (IBD) and colitis-associated colorectal cancer (CAC). At the front line, gut macrophages react to the microbiota and metabolites that breach the epithelium. We aim to study the role of the BA/FXR axis in macrophages. This study demonstrates that inflammation-induced epithelial abnormalities compromised FXR signaling and altered BAs’ profile in a mouse CAC model. Further, gut macrophage–intrinsic FXR sensed aberrant BAs, leading to pro-inflammatory cytokines’ secretion, which promoted intestinal stem cell proliferation. Mechanistically, activation of FXR ameliorated intestinal inflammation and inhibited colitis-associated tumor growth, by regulating gut macrophages’ recruitment, polarization, and crosstalk with Th17 cells. However, deletion of FXR in bone marrow or gut macrophages escalated the intestinal inflammation. In summary, our study reveals a distinctive regulatory role of FXR in gut macrophages, suggesting its potential as a therapeutic target for addressing IBD and CAC.

Authors

Xingchen Dong, Ming Qi, Chunmiao Cai, Yu Zhu, Yuwenbin Li, Sally Coulter, Fei Sun, Christopher Liddle, Nataliya V. Uboha, Richard Halberg, Wei Xu, Paul Marker, Ting Fu

×

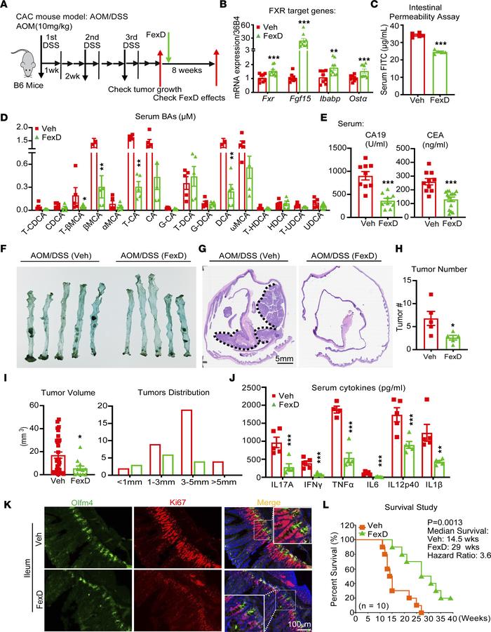
Figure 2

FXR agonism slows tumor progression in CAC.

Options: View larger image (or click on image) Download as PowerPoint
FXR agonism slows tumor progression in CAC.
(A) The scheme of FexD treat...
(A) The scheme of FexD treatment in CAC mice. After tumors developed, mice were treated with FexD (50 mg/kg BW/d orally) for 8 weeks, with corn oil as vehicle control. (B) Relative expression of FXR and its target genes (Fgf15, Ibabp, and Ostα) in vehicle- and FexD-treated CAC mice. (C and D) Intestinal permeability (C) and serum BA composition and levels (D) were measured in above treatment groups: glycolithocholic acid (GLCA), murideoxycholic acid (MDCA), hyodeoxycholic acid (HDCA), α-hyocholic acid (α-HCA), α-muricholic acid (α-MCA), β-MCA, ω-MCA, Tauro-β-muricholic acid (T-βMCA), and taurocholic acid (TCA). (E) Prognostic serum tumor markers of CRC, cancer antigen 19-9 (CA19) and carcinoembryonic antigen (CEA), in above treatment groups. (F and G) Live and H&E images of tumors in the colon. Black dot line circles the tumors. Scale bar 5 mm. (H and I) Average tumor burden (H), tumor volumes, and tumor size distribution (I) in above treatment groups. (J) Serum cytokine levels were measured in above treatment groups. (K) Co-immunostaining images of ISC marker Olfm4 (green) and proliferation gene marker Ki67 (red) in the ileum of CAC mice with FexD or vehicle treatment. Scale bar 100 μm. (L) Survival curves (log-rank test) for CAC mice with FexD or vehicle treatment. n = 3–10/group. Experiments were independently replicated twice, and representative data are shown as the mean ± SEM. *P < 0.05; **P < 0.01; ***P < 0.005, Student’s unpaired t test.

Copyright © 2026 American Society for Clinical Investigation
ISSN 2379-3708

Sign up for email alerts