Go to The Journal of Clinical Investigation
  • About
  • Editors
  • Consulting Editors
  • For authors
  • Publication ethics
  • Publication alerts by email
  • Transfers
  • Advertising
  • Job board
  • Contact
  • Physician-Scientist Development
  • Current issue
  • Past issues
  • By specialty
    • COVID-19
    • Cardiology
    • Immunology
    • Metabolism
    • Nephrology
    • Oncology
    • Pulmonology
    • All ...
  • Videos
  • Collections
    • In-Press Preview
    • Resource and Technical Advances
    • Clinical Research and Public Health
    • Research Letters
    • Editorials
    • Perspectives
    • Physician-Scientist Development
    • Reviews
    • Top read articles

  • Current issue
  • Past issues
  • Specialties
  • In-Press Preview
  • Resource and Technical Advances
  • Clinical Research and Public Health
  • Research Letters
  • Editorials
  • Perspectives
  • Physician-Scientist Development
  • Reviews
  • Top read articles
  • About
  • Editors
  • Consulting Editors
  • For authors
  • Publication ethics
  • Publication alerts by email
  • Transfers
  • Advertising
  • Job board
  • Contact
Farnesoid X receptor mediates macrophage-intrinsic responses to suppress colitis-induced colon cancer progression
Xingchen Dong, Ming Qi, Chunmiao Cai, Yu Zhu, Yuwenbin Li, Sally Coulter, Fei Sun, Christopher Liddle, Nataliya V. Uboha, Richard Halberg, Wei Xu, Paul Marker, Ting Fu
Xingchen Dong, Ming Qi, Chunmiao Cai, Yu Zhu, Yuwenbin Li, Sally Coulter, Fei Sun, Christopher Liddle, Nataliya V. Uboha, Richard Halberg, Wei Xu, Paul Marker, Ting Fu
View: Text | PDF
Research Article Endocrinology Gastroenterology

Farnesoid X receptor mediates macrophage-intrinsic responses to suppress colitis-induced colon cancer progression

  • Text
  • PDF
Abstract

Bile acids (BAs) affect the intestinal environment by ensuring barrier integrity, maintaining microbiota balance, regulating epithelium turnover, and modulating the immune system. As a master regulator of BA homeostasis, farnesoid X receptor (FXR) is severely compromised in patients with inflammatory bowel disease (IBD) and colitis-associated colorectal cancer (CAC). At the front line, gut macrophages react to the microbiota and metabolites that breach the epithelium. We aim to study the role of the BA/FXR axis in macrophages. This study demonstrates that inflammation-induced epithelial abnormalities compromised FXR signaling and altered BAs’ profile in a mouse CAC model. Further, gut macrophage–intrinsic FXR sensed aberrant BAs, leading to pro-inflammatory cytokines’ secretion, which promoted intestinal stem cell proliferation. Mechanistically, activation of FXR ameliorated intestinal inflammation and inhibited colitis-associated tumor growth, by regulating gut macrophages’ recruitment, polarization, and crosstalk with Th17 cells. However, deletion of FXR in bone marrow or gut macrophages escalated the intestinal inflammation. In summary, our study reveals a distinctive regulatory role of FXR in gut macrophages, suggesting its potential as a therapeutic target for addressing IBD and CAC.

Authors

Xingchen Dong, Ming Qi, Chunmiao Cai, Yu Zhu, Yuwenbin Li, Sally Coulter, Fei Sun, Christopher Liddle, Nataliya V. Uboha, Richard Halberg, Wei Xu, Paul Marker, Ting Fu

×

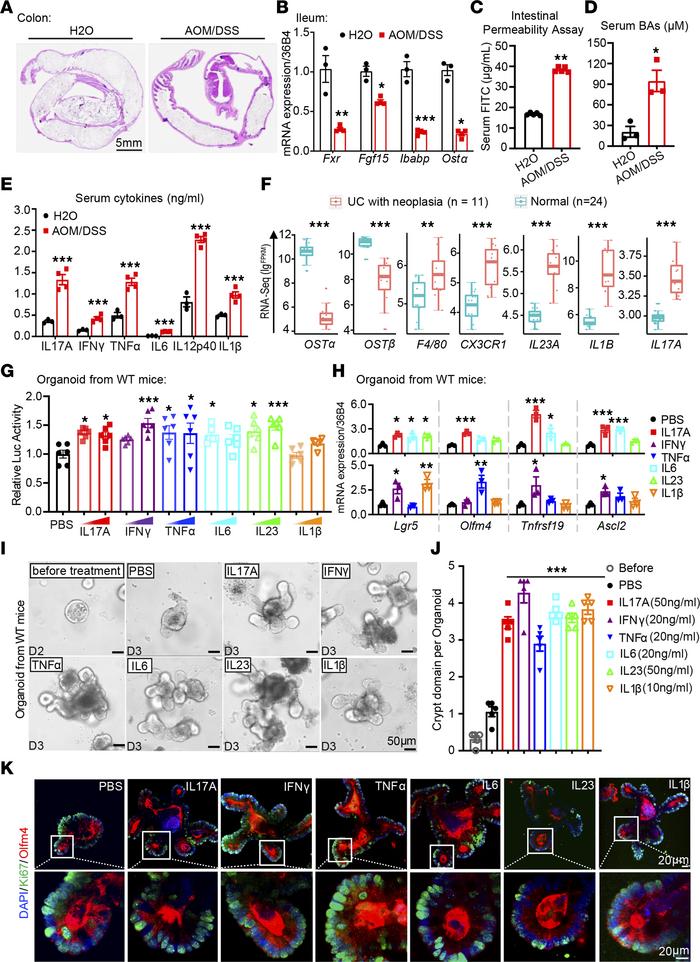
Figure 1

Cytokines increased in CAC model stimulate ISCs’ proliferation.

Options: View larger image (or click on image) Download as PowerPoint
Cytokines increased in CAC model stimulate ISCs’ proliferation.
(A) H&am...
(A) H&E staining of colon parts, scale bar 5 mm. (B) Expression of FXR and its downstream targets (Fgf15, Ibabp, Ostα) is reduced in CAC mice. (C–E) Intestinal permeability (C), total serum BAs (D), and serum cytokine levels (E) in CAC mice. (F) Relative expression (fragments per kilobase million [FPKM] values) of presented genes based on RNA-Seq data of healthy and CAC patients (Supplemental Table 3). Box plots show the interquartile range (box), median (line), and minimum and maximum (whiskers). (G) Proliferation of intestinal organoids from WT mice, measured by ATP luminescence, in response to increasing concentrations of IL17A (50, 100 ng/mL), IFN-γ (10, 20 ng/mL), TNF-α (20, 40 ng/mL), IL6 (20, 50 ng/mL), IL23 (50, 100 ng/mL), and IL1β (10, 20 ng/mL). (H) Stem cell marker (Lgr5, Olfm4, Tnfrsf19, Ascl2) genes’ expression in WT organoids treated with vehicle (PBS) and cytokines of indicated concentration. Experiments in H–K are conducted under same conditions as in H. (I and J) Bright-field images of branching WT organoids for 24 hours of treatment (I). Scale bar 50 μm. Branching was quantified as crypt domain per organoid from 5 individuals (J). (K) Images of WT organoids treated with different cytokines, co-immunostained with stem cell marker Olfm4 (red) and proliferating marker Ki67 (green); the nucleus is counterstained with DAPI (blue). Circled parts with higher magnification are presented (bottom). Scale bar 20 μm. n = 3–5/group. Experiments were independently replicated twice, and representative data are shown as mean ± SEM. P values determined with Student’s unpaired t test (B–E), Wilcoxon test (F), and 1-way ANOVA test followed by Tukey’s multiple comparisons (G, H, and J). *P < 0.05; **P < 0.01; ***P < 0.005.

Copyright © 2026 American Society for Clinical Investigation
ISSN 2379-3708

Sign up for email alerts