Go to The Journal of Clinical Investigation
  • About
  • Editors
  • Consulting Editors
  • For authors
  • Publication ethics
  • Publication alerts by email
  • Transfers
  • Advertising
  • Job board
  • Contact
  • Physician-Scientist Development
  • Current issue
  • Past issues
  • By specialty
    • COVID-19
    • Cardiology
    • Immunology
    • Metabolism
    • Nephrology
    • Oncology
    • Pulmonology
    • All ...
  • Videos
  • Collections
    • In-Press Preview
    • Resource and Technical Advances
    • Clinical Research and Public Health
    • Research Letters
    • Editorials
    • Perspectives
    • Physician-Scientist Development
    • Reviews
    • Top read articles

  • Current issue
  • Past issues
  • Specialties
  • In-Press Preview
  • Resource and Technical Advances
  • Clinical Research and Public Health
  • Research Letters
  • Editorials
  • Perspectives
  • Physician-Scientist Development
  • Reviews
  • Top read articles
  • About
  • Editors
  • Consulting Editors
  • For authors
  • Publication ethics
  • Publication alerts by email
  • Transfers
  • Advertising
  • Job board
  • Contact
EGR2 is an epigenomic regulator of phagocytosis and antifungal immunity in alveolar macrophages
Zsuzsanna Kolostyak, Dora Bojcsuk, Viktoria Baksa, Zsuzsa Mathene Szigeti, Krisztian Bene, Zsolt Czimmerer, Pal Boto, Lina Fadel, Szilard Poliska, Laszlo Halasz, Petros Tzerpos, Wilhelm K. Berger, Andres Villabona-Rueda, Zsofia Varga, Tunde Kovacs, Andreas Patsalos, Attila Pap, Gyorgy Vamosi, Peter Bai, Balazs Dezso, Matthew Spite, Franco R. D’Alessio, Istvan Szatmari, Laszlo Nagy
Zsuzsanna Kolostyak, Dora Bojcsuk, Viktoria Baksa, Zsuzsa Mathene Szigeti, Krisztian Bene, Zsolt Czimmerer, Pal Boto, Lina Fadel, Szilard Poliska, Laszlo Halasz, Petros Tzerpos, Wilhelm K. Berger, Andres Villabona-Rueda, Zsofia Varga, Tunde Kovacs, Andreas Patsalos, Attila Pap, Gyorgy Vamosi, Peter Bai, Balazs Dezso, Matthew Spite, Franco R. D’Alessio, Istvan Szatmari, Laszlo Nagy
View: Text | PDF
Research Article Infectious disease Inflammation

EGR2 is an epigenomic regulator of phagocytosis and antifungal immunity in alveolar macrophages

  • Text
  • PDF
Abstract

Alveolar macrophages (AMs) act as gatekeepers of the lung’s immune responses, serving essential roles in recognizing and eliminating pathogens. The transcription factor (TF) early growth response 2 (EGR2) has been recently described as required for mature AMs in mice; however, its mechanisms of action have not been explored. Here, we identified EGR2 as an epigenomic regulator and likely direct proximal transcriptional activator in AMs using epigenomic approaches (RNA sequencing, ATAC sequencing, and CUT&RUN). The predicted direct proximal targets of EGR2 included a subset of AM identity genes and ones related to pathogen recognition, phagosome maturation, and adhesion, such as Clec7a, Atp6v0d2, Itgb2, Rhoc, and Tmsb10. We provided evidence that EGR2 deficiency led to impaired zymosan internalization and reduced the capacity to respond to Aspergillus fumigatus. Mechanistically, the lack of EGR2 altered the transcriptional response, secreted cytokines (i.e., CXCL11), and inflammation-resolving lipid mediators (i.e., RvE1) of AMs during in vivo zymosan-induced inflammation, which manifested in impaired resolution. Our findings demonstrated that EGR2 is a key proximal transcriptional activator and epigenomic bookmark in AMs responsible for select, distinct components of cell identity and a protective transcriptional and epigenomic program against fungi.

Authors

Zsuzsanna Kolostyak, Dora Bojcsuk, Viktoria Baksa, Zsuzsa Mathene Szigeti, Krisztian Bene, Zsolt Czimmerer, Pal Boto, Lina Fadel, Szilard Poliska, Laszlo Halasz, Petros Tzerpos, Wilhelm K. Berger, Andres Villabona-Rueda, Zsofia Varga, Tunde Kovacs, Andreas Patsalos, Attila Pap, Gyorgy Vamosi, Peter Bai, Balazs Dezso, Matthew Spite, Franco R. D’Alessio, Istvan Szatmari, Laszlo Nagy

×

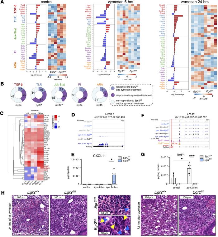
Figure 8

Characterization of the zymosan-mediated inflammatory gene expression and cytokine, chemokine, and lipid mediator production in vivo.

Options: View larger image (or click on image) Download as PowerPoint
Characterization of the zymosan-mediated inflammatory gene expression an...
(A) The bar charts and heatmaps represent the DEGs between the Egr2+/+ and Egr2fl/fl AMs in control and upon 6- and 24-hour zymosan treatments. The selected signaling pathways (TGF-β, TLR, JAK/STAT, PI, and ARA) are depicted. The bar charts show the fold-differences in the average gene expression values, and the heatmaps show the row-normalized gene expression patterns of the depicted genes. (B) Pie charts show the number of genes from selected pathways that are nonchanging or changing significantly (P ≤ 0.05) upon different treatment conditions in Egr2+/+ and Egr2fl/fl AMs (RNA-Seq). (C) The mean protein content of BAL fluid in control and 6- and 24-hour zymosan-treated samples determined by cytokine array (n = 4 in each treatment condition, 1-way ANOVA test with Tukey’s post hoc test, P ≤ 0.05). (D) IGV visualization of Egr2+/+ and Egr2fl/fl RNA- and ATAC-Seq coverages. (E) The protein level of CXCL11 in BALF in different treatment conditions (cytokine array; t test, *P ≤ 0.05). (F) IGV visualization of RNA- and ATAC-Seq coverages of Egr2+/+ and Egr2fl/fl AMs and the presence of EGR motifs on the Ltah4 gene. (G) The amount of RvE1 in total lung homogenate of Egr2+/+ (n = 3) and Egr2fl/fl (n = 6) mice analyzed by liquid chromatography with tandem mass spectrometry (LC-MS/MS) method (t test, *P ≤ 0.05). (H) Representative paraffin-embedded and H&E-stained lungs of Egr2+/+ and Egr2fl/fl mice after 24- and 72-hour in vivo zymosan treatment. High magnification (original magnification, 630×) of H&E-stained sections shows that 24-hour after zymosan administration, there is a typical acute purulent inflammation with the presence of many PMNs in WT lungs. In Egr2fl/fl lungs harboring EGR2-deficient AMs, besides PMNs, the inflammatory infiltrates contain an increased number of large macrophages (blue arrows), occasionally with large abnormal-appearing and chromatin-rich nuclei (yellow arrows).

Copyright © 2026 American Society for Clinical Investigation
ISSN 2379-3708

Sign up for email alerts