Go to The Journal of Clinical Investigation
  • About
  • Editors
  • Consulting Editors
  • For authors
  • Publication ethics
  • Publication alerts by email
  • Transfers
  • Advertising
  • Job board
  • Contact
  • Physician-Scientist Development
  • Current issue
  • Past issues
  • By specialty
    • COVID-19
    • Cardiology
    • Immunology
    • Metabolism
    • Nephrology
    • Oncology
    • Pulmonology
    • All ...
  • Videos
  • Collections
    • In-Press Preview
    • Resource and Technical Advances
    • Clinical Research and Public Health
    • Research Letters
    • Editorials
    • Perspectives
    • Physician-Scientist Development
    • Reviews
    • Top read articles

  • Current issue
  • Past issues
  • Specialties
  • In-Press Preview
  • Resource and Technical Advances
  • Clinical Research and Public Health
  • Research Letters
  • Editorials
  • Perspectives
  • Physician-Scientist Development
  • Reviews
  • Top read articles
  • About
  • Editors
  • Consulting Editors
  • For authors
  • Publication ethics
  • Publication alerts by email
  • Transfers
  • Advertising
  • Job board
  • Contact
Epithelial Gab1 calibrates RIPK3-dependent necroptosis to prevent intestinal inflammation
Jiaqi Xu, Shihao Li, Wei Jin, Hui Zhou, Tingting Zhong, Xiaoqing Cheng, Yujuan Fu, Peng Xiao, Hongqiang Cheng, Di Wang, Yuehai Ke, Zhinong Jiang, Xue Zhang
Jiaqi Xu, Shihao Li, Wei Jin, Hui Zhou, Tingting Zhong, Xiaoqing Cheng, Yujuan Fu, Peng Xiao, Hongqiang Cheng, Di Wang, Yuehai Ke, Zhinong Jiang, Xue Zhang
View: Text | PDF
Research Article Gastroenterology Inflammation

Epithelial Gab1 calibrates RIPK3-dependent necroptosis to prevent intestinal inflammation

  • Text
  • PDF
Abstract

As a hallmark of inflammatory bowel disease (IBD), elevated intestinal epithelial cell (IEC) death compromises the gut barrier, activating the inflammatory response and triggering more IEC death. However, the precise intracellular machinery that prevents IEC death and breaks this vicious feedback cycle remains largely unknown. Here, we report that Grb2-associated binder 1 (Gab1) expression is decreased in patients with IBD and inversely correlated with IBD severity. Gab1 deficiency in IECs accounted for the exacerbated colitis induced by dextran sodium sulfate owing to sensitizing IECs to receptor-interaction protein kinase 3–mediated (RIPK3-mediated) necroptosis, which irreversibly disrupted the homeostasis of the epithelial barrier and promoted intestinal inflammation. Mechanistically, Gab1 negatively regulated necroptosis signaling through inhibiting the formation of RIPK1/RIPK3 complex in response to TNF-α. Importantly, administration of RIPK3 inhibitor revealed a curative effect in epithelial Gab1-deficient mice. Further analysis indicated mice with Gab1 deletion were prone to inflammation-associated colorectal tumorigenesis. Collectively, our study defines a protective role for Gab1 in colitis and colitis-driven colorectal cancer by negatively regulating RIPK3-dependent necroptosis, which may serve as an important target to address necroptosis and intestinal inflammation–related disease.

Authors

Jiaqi Xu, Shihao Li, Wei Jin, Hui Zhou, Tingting Zhong, Xiaoqing Cheng, Yujuan Fu, Peng Xiao, Hongqiang Cheng, Di Wang, Yuehai Ke, Zhinong Jiang, Xue Zhang

×

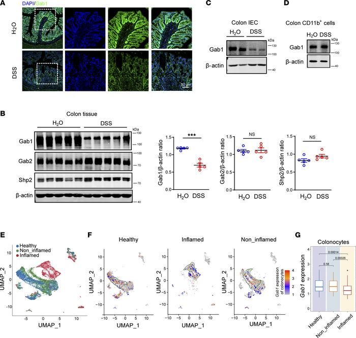
Figure 2

Gab1 is decreased in IECs during mouse colitis and human UC.

Options: View larger image (or click on image) Download as PowerPoint
Gab1 is decreased in IECs during mouse colitis and human UC.
(A) Represe...
(A) Representative immunofluorescence staining for Gab1 (green) and DAPI (blue) in mouse colons with or without a 7-day DSS treatment. Scale bars, 50 μm. (B) Western blotting of Gab1, Gab2, and Shp2 in mouse colonic tissues with or without DSS treatment. Quantitative analyses were determined on the right. n = 5 for each group. (C) Immunoblot analysis for Gab1 in IECs isolated from mouse colonic tissues treated as described above. n = 3 for each group. (D) Immunoblot analysis for Gab1 in CD11b+ cells sorted from colonic lamina propria (CLP) treated as described above. n = 3 for each group. (E) UMAP plots of single-cell clusters of colonic crypts from patients with inflamed/noninflamed UC and healthy controls (n = 3 per group) by analyzing a single-cell sequencing database (Gene Expression Omnibus [GEO] accession number GSE116222). (F and G) UMAP results (F) depicting Gab1 expression and distribution mapped to referenced single-cell clusters (Supplemental Figure 2C), with box plot (G) demonstrating Gab1 level in colonocytes of patients with inflamed/noninflamed UC and healthy controls (n = 3 per group) using the database as described above. Box plots show the interquartile range (box), median (line), and minimum and maximum (whiskers). Quantitative data were shown as mean ± SEM. Statistical significance was assessed by using 2-tailed Student’s t test (B) and Wilcoxon’s test (G); ***P < 0.001. DSS, dextran sodium sulfate; IEC, intestinal epithelial cell; UC, ulcerative colitis; UMAP, uniform manifold approximation and projection.

Copyright © 2026 American Society for Clinical Investigation
ISSN 2379-3708

Sign up for email alerts