Go to The Journal of Clinical Investigation
  • About
  • Editors
  • Consulting Editors
  • For authors
  • Publication ethics
  • Publication alerts by email
  • Transfers
  • Advertising
  • Job board
  • Contact
  • Physician-Scientist Development
  • Current issue
  • Past issues
  • By specialty
    • COVID-19
    • Cardiology
    • Immunology
    • Metabolism
    • Nephrology
    • Oncology
    • Pulmonology
    • All ...
  • Videos
  • Collections
    • In-Press Preview
    • Resource and Technical Advances
    • Clinical Research and Public Health
    • Research Letters
    • Editorials
    • Perspectives
    • Physician-Scientist Development
    • Reviews
    • Top read articles

  • Current issue
  • Past issues
  • Specialties
  • In-Press Preview
  • Resource and Technical Advances
  • Clinical Research and Public Health
  • Research Letters
  • Editorials
  • Perspectives
  • Physician-Scientist Development
  • Reviews
  • Top read articles
  • About
  • Editors
  • Consulting Editors
  • For authors
  • Publication ethics
  • Publication alerts by email
  • Transfers
  • Advertising
  • Job board
  • Contact
Alu RNA induces NLRP3 expression through TLR7 activation in α-1-antitrypsin–deficient macrophages
Jungnam Lee, Naweed Mohammad, Yuanqing Lu, Keunsoo Kang, Kyudong Han, Mark Brantly
Jungnam Lee, Naweed Mohammad, Yuanqing Lu, Keunsoo Kang, Kyudong Han, Mark Brantly
View: Text | PDF
Research Article Cell biology Inflammation

Alu RNA induces NLRP3 expression through TLR7 activation in α-1-antitrypsin–deficient macrophages

  • Text
  • PDF
Abstract

α-1 antitrypsin (AAT) is a serine protease inhibitor that plays a pivotal role in maintaining lung homeostasis. The most common AAT allele associated with AAT deficiency (AATD) is PiZ. Z-AAT accumulates in cells due to misfolding, causing severe AATD. The major function of AAT is to neutralize neutrophil elastase in the lung. It is generally accepted that loss of antiprotease function is a major cause of COPD in individuals with AATD. However, it is now being recognized that the toxic gain-of-function effect of Z-AAT in macrophage likely contributes to lung disease. In the present study, we determined that TLR7 signaling is activated in Z-MDMs, and the expression level of NLRP3, one of the targets of TLR7 signaling, is significantly higher in Z- compared with M-MDMs. We also determined that the level of endosomal Alu RNA is significantly higher in Z-compared with M-MDMs. Alu RNA is a known endogenous ligand that activates TLR7 signaling. Z-AAT likely induces the expression of Alu elements in MDMs and accelerates monocyte death, leading to the higher level of endosomal Alu RNA in Z-MDMs. Taken together,this study identifies a mechanism responsible for the toxic gain of function of Z-AAT macrophages.

Authors

Jungnam Lee, Naweed Mohammad, Yuanqing Lu, Keunsoo Kang, Kyudong Han, Mark Brantly

×

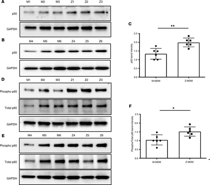
Figure 5

NF-κB signaling activated in Z-MDMs.

Options: View larger image (or click on image) Download as PowerPoint
NF-κB signaling activated in Z-MDMs.
Total proteins were isolated from M...
Total proteins were isolated from MDMs and subjected to SDS-PAGE to examine the activation of NF-κB signaling in Z-MDMs. (A–C) p50 is an indicator for the activation of NF-κB signaling so the level of p50 was analyzed via SDS-PAGE (A and B) and compared using NIH ImageJ software (C). (D and E) The phosphorylated form of p65, another indicator for NF-κB activation, was also analyzed using western blotting. The protein band intensities of phosphorylated p65 and total p65 were quantified using NIH ImageJ software. (F) To examine the activation of NF-κB signaling, a ratio of phosphorylated p65 to total p65 was matured in MDM samples and compared between M-MDMs and Z-MDMs. Statistical analysis was conducted using the Mann-Whitney U test. Statistical significance is denoted by *P < 0.05 and **P < 0.01.

Copyright © 2026 American Society for Clinical Investigation
ISSN 2379-3708

Sign up for email alerts