Go to The Journal of Clinical Investigation
  • About
  • Editors
  • Consulting Editors
  • For authors
  • Publication ethics
  • Publication alerts by email
  • Transfers
  • Advertising
  • Job board
  • Contact
  • Physician-Scientist Development
  • Current issue
  • Past issues
  • By specialty
    • COVID-19
    • Cardiology
    • Immunology
    • Metabolism
    • Nephrology
    • Oncology
    • Pulmonology
    • All ...
  • Videos
  • Collections
    • In-Press Preview
    • Resource and Technical Advances
    • Clinical Research and Public Health
    • Research Letters
    • Editorials
    • Perspectives
    • Physician-Scientist Development
    • Reviews
    • Top read articles

  • Current issue
  • Past issues
  • Specialties
  • In-Press Preview
  • Resource and Technical Advances
  • Clinical Research and Public Health
  • Research Letters
  • Editorials
  • Perspectives
  • Physician-Scientist Development
  • Reviews
  • Top read articles
  • About
  • Editors
  • Consulting Editors
  • For authors
  • Publication ethics
  • Publication alerts by email
  • Transfers
  • Advertising
  • Job board
  • Contact
Autophagy-mitophagy induction attenuates cardiovascular inflammation in a murine model of Kawasaki disease vasculitis
Stefanie Marek-Iannucci, Asli B. Ozdemir, Debbie Moreira, Angela C. Gomez, Malcolm Lane, Rebecca A. Porritt, Youngho Lee, Kenichi Shimada, Masanori Abe, Aleksandr Stotland, David Zemmour, Sarah Parker, Elsa Sanchez-Lopez, Jennifer Van Eyk, Roberta A. Gottlieb, Michael C. Fishbein, Michael Karin, Timothy R. Crother, Magali Noval Rivas, Moshe Arditi
Stefanie Marek-Iannucci, Asli B. Ozdemir, Debbie Moreira, Angela C. Gomez, Malcolm Lane, Rebecca A. Porritt, Youngho Lee, Kenichi Shimada, Masanori Abe, Aleksandr Stotland, David Zemmour, Sarah Parker, Elsa Sanchez-Lopez, Jennifer Van Eyk, Roberta A. Gottlieb, Michael C. Fishbein, Michael Karin, Timothy R. Crother, Magali Noval Rivas, Moshe Arditi
View: Text | PDF
Research Article Inflammation Vascular biology

Autophagy-mitophagy induction attenuates cardiovascular inflammation in a murine model of Kawasaki disease vasculitis

  • Text
  • PDF
Abstract

Kawasaki disease (KD) is the leading cause of acquired heart disease among children. Murine and human data suggest that the NLRP3–IL-1β pathway is the main driver of KD pathophysiology. NLRP3 can be activated during defective autophagy/mitophagy. We used the Lactobacillus casei cell wall extract (LCWE) murine model of KD vasculitis to examine the role of autophagy/mitophagy on cardiovascular lesion development. LCWE-injected mice had impaired autophagy/mitophagy and increased levels of ROS in cardiovascular lesions, together with increased systemic 8-OHdG release. Enhanced autophagic flux significantly reduced cardiovascular lesions in LCWE-injected mice, whereas autophagy blockade increased inflammation. Vascular smooth muscle cell–specific deletion of Atg16l1 and global Parkin–/– significantly increased disease formation, supporting the importance of autophagy/mitophagy in this model. Ogg1–/– mice had significantly increased lesions with increased NLRP3 activity, whereas treatment with MitoQ reduced vascular tissue inflammation, ROS production, and systemic 8-OHdG release. Treatment with MN58b or Metformin (increasing AMPK and reducing ROS) resulted in decreased cardiovascular lesions. Our results demonstrate that impaired autophagy/mitophagy and ROS-dependent damage exacerbate the development of murine KD vasculitis. This pathway can be efficiently targeted to reduce disease severity. These findings enhance our understanding of KD pathogenesis and identify potentially novel therapeutic avenues for KD treatment.

Authors

Stefanie Marek-Iannucci, Asli B. Ozdemir, Debbie Moreira, Angela C. Gomez, Malcolm Lane, Rebecca A. Porritt, Youngho Lee, Kenichi Shimada, Masanori Abe, Aleksandr Stotland, David Zemmour, Sarah Parker, Elsa Sanchez-Lopez, Jennifer Van Eyk, Roberta A. Gottlieb, Michael C. Fishbein, Michael Karin, Timothy R. Crother, Magali Noval Rivas, Moshe Arditi

×

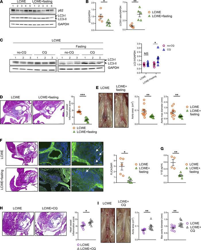
Figure 2

Increase of autophagic flux reduces the development of LCWE-induced cardiovascular lesions.

Options: View larger image (or click on image) Download as PowerPoint
Increase of autophagic flux reduces the development of LCWE-induced card...
(A and B) Western blot images (A) and quantification (B) of p62, LC3, and GAPDH in whole lysate from heart tissue of LCWE-injected mice and fasted LCWE-injected mice, 1 week after LCWE injection (n = 5/group). (C) Representative image of Western blot analysis detecting LC3-I, LC3-II, and GAPDH (n = 3/group; left) and LC3-II/GAPDH quantification (n = 5–7/group; right) in heart tissue whole lysates from nonfasted and intermittently fasted mice at 1 week after LCWE injection and 4 hours after a single dose of chloroquine (CQ) (n = 5–7/group). (D) H&E staining of heart sections and heart vessel inflammation score of nonfasted and intermittently fasted mice at 1 week after LCWE injection (n = 10/group). Scale bars: 500 µm. (E) Representative pictures of the abdominal aorta, aorta area measurements, and maximal aorta diameter of nonfasted and intermittently fasted LCWE-injected mice at 1 week after LCWE injection (n = 10/group). (F) FLICA staining and FLICA quantification in heart tissues from nonfasted and intermittently fasted LCWE-injected mice, 1 week after LCWE injection. White arrows indicate FLICA+ cells (n = 5/group). Scale bars: 100 µm. (G) Systemic IL-1β levels of nonfasted and intermittently fasted LCWE-injected mice, 1 week after LCWE injection (n = 4–5/group). (H) H&E staining of heart tissue sections and heart inflammation score from LCWE-injected mice and LCWE-injected mice treated with CQ, 1 week after LCWE injection (n = 9–10/group). Scale bars: 500 µM. (I) Representative pictures of the abdominal aorta, aorta area measurements, and maximal abdominal aorta diameter of LCWE-injected mice and LCWE-injected mice treated with CQ at 1 week after LCWE injection (n = 9–10/group). *P < 0.05, **P < 0.01, ***P < 0.001 by Mann-Whitney U test (D and I), 2-way ANOVA with Tukey’s post hoc test analysis (C), and unpaired Student t test for all other panels.

Copyright © 2026 American Society for Clinical Investigation
ISSN 2379-3708

Sign up for email alerts