Go to The Journal of Clinical Investigation
  • About
  • Editors
  • Consulting Editors
  • For authors
  • Publication ethics
  • Publication alerts by email
  • Transfers
  • Advertising
  • Job board
  • Contact
  • Physician-Scientist Development
  • Current issue
  • Past issues
  • By specialty
    • COVID-19
    • Cardiology
    • Immunology
    • Metabolism
    • Nephrology
    • Oncology
    • Pulmonology
    • All ...
  • Videos
  • Collections
    • In-Press Preview
    • Resource and Technical Advances
    • Clinical Research and Public Health
    • Research Letters
    • Editorials
    • Perspectives
    • Physician-Scientist Development
    • Reviews
    • Top read articles

  • Current issue
  • Past issues
  • Specialties
  • In-Press Preview
  • Resource and Technical Advances
  • Clinical Research and Public Health
  • Research Letters
  • Editorials
  • Perspectives
  • Physician-Scientist Development
  • Reviews
  • Top read articles
  • About
  • Editors
  • Consulting Editors
  • For authors
  • Publication ethics
  • Publication alerts by email
  • Transfers
  • Advertising
  • Job board
  • Contact
Cross-reactive antibodies facilitate innate sensing of dengue and Zika viruses
Laura K. Aisenberg, Kimberly E. Rousseau, Katherine Cascino, Guido Massaccesi, William H. Aisenberg, Wensheng Luo, Kar Muthumani, David B. Weiner, Stephen S. Whitehead, Michael A. Chattergoon, Anna P. Durbin, Andrea L. Cox
Laura K. Aisenberg, Kimberly E. Rousseau, Katherine Cascino, Guido Massaccesi, William H. Aisenberg, Wensheng Luo, Kar Muthumani, David B. Weiner, Stephen S. Whitehead, Michael A. Chattergoon, Anna P. Durbin, Andrea L. Cox
View: Text | PDF
Research Article Immunology Infectious disease

Cross-reactive antibodies facilitate innate sensing of dengue and Zika viruses

  • Text
  • PDF
Abstract

The Aedes aegypti mosquito transmits both dengue virus (DENV) and Zika virus (ZIKV) . Individuals in endemic areas are at risk for infection with both viruses, as well as for repeated DENV infection. In the presence of anti-DENV antibodies, outcomes of secondary DENV infection range from mild to life threatening. Furthermore, the role of cross-reactive antibodies on the course of ZIKV infection remains unclear. We assessed the ability of cross-reactive DENV mAbs or polyclonal immunoglobulin isolated after DENV vaccination to upregulate type I IFN production by plasmacytoid DCs (pDCs) in response to both heterotypic DENV- and ZIKV-infected cells. We found a range in the ability of antibodies to increase pDC IFN production and a positive correlation between IFN production and the ability of an antibody to bind to the infected cell surface. Engagement of Fc receptors on the pDC and engagement of epitope on the infected cell by the Fab portion of the same antibody molecule was required to mediate increased IFN production by providing specificity to and promoting pDC sensing of DENV or ZIKV. This represents a mechanism independent of neutralization by which preexisting cross-reactive DENV antibodies could protect a subset of individuals from severe outcomes during secondary heterotypic DENV or ZIKV infection.

Authors

Laura K. Aisenberg, Kimberly E. Rousseau, Katherine Cascino, Guido Massaccesi, William H. Aisenberg, Wensheng Luo, Kar Muthumani, David B. Weiner, Stephen S. Whitehead, Michael A. Chattergoon, Anna P. Durbin, Andrea L. Cox

×

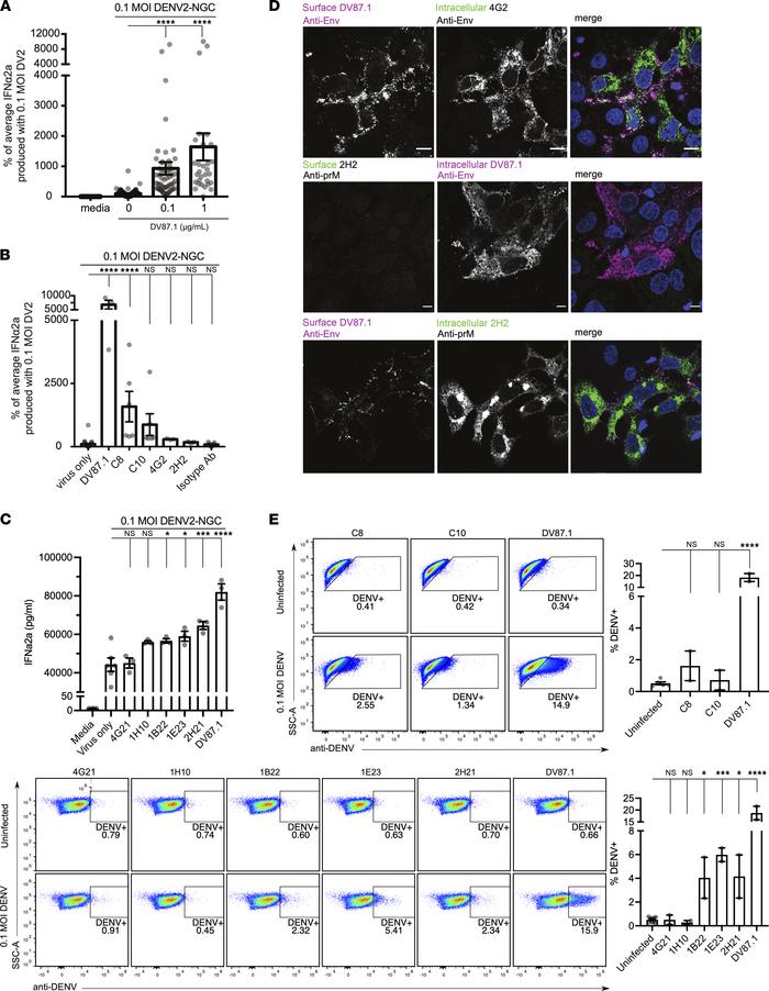
Figure 2

Antibody-mediated IFN upregulation requires binding to a viral epitope on the surface of infected cells.

Options: View larger image (or click on image) Download as PowerPoint
Antibody-mediated IFN upregulation requires binding to a viral epitope o...
Huh 7.5.1 cells were infected with DENV at 0.1 MOI for 48 hours. (A–C) After 48 hours, 0.1-1 μg/mL DV87.1 (A); 1 μg/mL DV87.1, 0.49 μg/mL C8, 0.29 μg/mL C10, 0.42 μg/mL 4G2, 20.4 μg/mL 2H2, or 1 μg/mL isotype control IgG (B); or 1 μg/mL 4G21, 1H10, 1B22, 2H21, 1E23, or DV87.1 (C) were added to infected Huh 7.5.1 cells and incubated for 1 hour. Primary human pDCs were added and cocultured for 24 hours. Supernatants were collected for IFN-α2a measurement. (D) Infected Huh 7.5.1 cells were treated with DV87.1 or 2H2 for surface binding of DENV epitopes; they were fixed and permeabilized after 24 hours and then stained intracellularly with 4G2, 2H2, or DV87.1. Scale bars: 10 μM. (E) Uninfected or DENV infected Huh 7.5.1 cells were surface stained with antibodies against DENV E or prM protein and stained with secondary anti–human AF647 or DY488. The left panels are representative flow plots for uninfected or infected Huh 7.5.1 cells. Right panels quantify flow data on left as percentage of DENV+ cells stained with each antibody. Significance was determined by comparing the binding of each antibody to infected cells over uninfected cells. Panels represent 17 (10–17 per condition) (A) and 4 (1–4 per condition) (B) independent experiments with unique pDC donors with n ≥ 3 per condition per experiment, C represents 1 independent experiment (conducted 4 times) with n ≥ 3 per condition, D is representative of 5 total experiments, and (E) represents 2 independent experiments with unique pDC donors for both the top and bottom panels. Statistical significance was determined by 1-way ANOVA. *P < 0.05, ***P < 0.001, ****P < 0.0001.

Copyright © 2026 American Society for Clinical Investigation
ISSN 2379-3708

Sign up for email alerts