Go to The Journal of Clinical Investigation
  • About
  • Editors
  • Consulting Editors
  • For authors
  • Publication ethics
  • Publication alerts by email
  • Transfers
  • Advertising
  • Job board
  • Contact
  • Physician-Scientist Development
  • Current issue
  • Past issues
  • By specialty
    • COVID-19
    • Cardiology
    • Immunology
    • Metabolism
    • Nephrology
    • Oncology
    • Pulmonology
    • All ...
  • Videos
  • Collections
    • In-Press Preview
    • Resource and Technical Advances
    • Clinical Research and Public Health
    • Research Letters
    • Editorials
    • Perspectives
    • Physician-Scientist Development
    • Reviews
    • Top read articles

  • Current issue
  • Past issues
  • Specialties
  • In-Press Preview
  • Resource and Technical Advances
  • Clinical Research and Public Health
  • Research Letters
  • Editorials
  • Perspectives
  • Physician-Scientist Development
  • Reviews
  • Top read articles
  • About
  • Editors
  • Consulting Editors
  • For authors
  • Publication ethics
  • Publication alerts by email
  • Transfers
  • Advertising
  • Job board
  • Contact
Long noncoding RNA Gm31629 protects against mucosal damage in experimental colitis via YB-1/E2F pathway
Xu Feng, Ye Xiao, Jian He, Mi Yang, Qi Guo, Tian Su, Yan Huang, Jun Yi, Chang-Jun Li, Xiang-Hang Luo, Xiao-Wei Liu, Hai-Yan Zhou
Xu Feng, Ye Xiao, Jian He, Mi Yang, Qi Guo, Tian Su, Yan Huang, Jun Yi, Chang-Jun Li, Xiang-Hang Luo, Xiao-Wei Liu, Hai-Yan Zhou
View: Text | PDF
Research Article Gastroenterology Therapeutics

Long noncoding RNA Gm31629 protects against mucosal damage in experimental colitis via YB-1/E2F pathway

  • Text
  • PDF
Abstract

Mucosal healing is a key treatment goal for inflammatory bowel disease, and adequate epithelial regeneration is required for an intact gut epithelium. However, the underlying mechanism for mucosal healing is unclear. Long noncoding RNAs (lncRNAs) have been reported to be involved in the development of inflammatory bowel disease. Here, we report that a lncRNA named Gm31629 decreased in intestinal epithelial cells in response to inflammatory stimulation. Gm31629 deficiency led to exacerbated intestinal inflammation and delayed epithelial regeneration in dextran sulfate sodium–induced (DSS-induced) colitis model. Mechanistically, Gm31629 promoted E2F pathways and cell proliferation by stabilizing Y-box protein 1 (YB-1), thus facilitating epithelial regeneration. Genetic overexpression of Gm31629 protected against DSS-induced colitis in vivo. Theaflavin 3-gallate, a natural compound mimicking Gm31629, alleviated DSS-induced epithelial inflammation and mucosal damage. These results demonstrate an essential role of lncRNA Gm31629 in linking intestinal inflammation and epithelial cell proliferation, providing a potential therapeutic approach to inflammatory bowel disease.

Authors

Xu Feng, Ye Xiao, Jian He, Mi Yang, Qi Guo, Tian Su, Yan Huang, Jun Yi, Chang-Jun Li, Xiang-Hang Luo, Xiao-Wei Liu, Hai-Yan Zhou

×

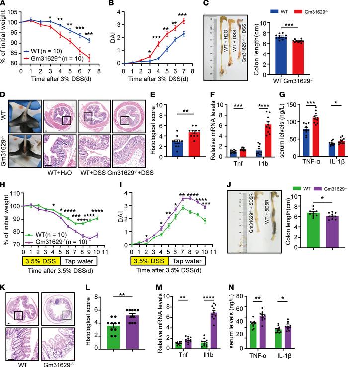
Figure 2

Gm31629 depletion exacerbates DSS-induced colitis and delays intestinal regeneration.

Options: View larger image (or click on image) Download as PowerPoint
Gm31629 depletion exacerbates DSS-induced colitis and delays intestinal ...
(A–G) Eight-week-old Gm31629–/– mice and littermate WT mice were subjected to 3% DSS in drinking water for 7 days (n = 10). (A) Body weight changes of mice. (B) DAI of mice during the indicated period. (C) Gross pictures of colon and measurement of colon length. (D) Gross pictures of rectal bleeding and H&E stained section of colon tissues. Scale bar: 100 μm. (E) Quantification of histological score from colonic sections in D. (F) qPCR analysis of Tnf and Il1b in colon tissues. (G) Quantification of serum TNF-α and IL-1β protein level. (H–N) Eight-week-old Gm31629–/– mice and littermate WT mice were subjected to 3.5% DSS in drinking water for 5 days, followed by 5 days of recovery (n = 10). (H) Body weight changes of mice. (I) DAI of mice. (J) Gross pictures of colon and measurement of colon length after 10-day cycle. (K) H&E-stained section of colon after 10-day cycle. Scale bar: 100 μm. (L) Quantification of histological score from colonic sections in K. (M) qPCR analysis of Tnf and Il1b in colon tissues after 10-day cycle. (N) Quantification of serum TNF-α and IL-1β protein level after 10-day cycle. All data were represented as mean ± SEM. For comparisons of 2 groups, a 2-tailed Student’s t test was performed. *P < 0.05; **P < 0.01; ***P < 0.001; ****P < 0.0001.

Copyright © 2026 American Society for Clinical Investigation
ISSN 2379-3708

Sign up for email alerts