Go to The Journal of Clinical Investigation
  • About
  • Editors
  • Consulting Editors
  • For authors
  • Publication ethics
  • Publication alerts by email
  • Transfers
  • Advertising
  • Job board
  • Contact
  • Physician-Scientist Development
  • Current issue
  • Past issues
  • By specialty
    • COVID-19
    • Cardiology
    • Immunology
    • Metabolism
    • Nephrology
    • Oncology
    • Pulmonology
    • All ...
  • Videos
  • Collections
    • In-Press Preview
    • Resource and Technical Advances
    • Clinical Research and Public Health
    • Research Letters
    • Editorials
    • Perspectives
    • Physician-Scientist Development
    • Reviews
    • Top read articles

  • Current issue
  • Past issues
  • Specialties
  • In-Press Preview
  • Resource and Technical Advances
  • Clinical Research and Public Health
  • Research Letters
  • Editorials
  • Perspectives
  • Physician-Scientist Development
  • Reviews
  • Top read articles
  • About
  • Editors
  • Consulting Editors
  • For authors
  • Publication ethics
  • Publication alerts by email
  • Transfers
  • Advertising
  • Job board
  • Contact
Complement factor B in high glucose–induced podocyte injury and diabetic kidney disease
Qingmiao Lu, Qing Hou, Kai Cao, Xiaoli Sun, Yan Liang, Mengru Gu, Xian Xue, Allan Zijian Zhao, Chunsun Dai
Qingmiao Lu, Qing Hou, Kai Cao, Xiaoli Sun, Yan Liang, Mengru Gu, Xian Xue, Allan Zijian Zhao, Chunsun Dai
View: Text | PDF
Research Article Inflammation Nephrology

Complement factor B in high glucose–induced podocyte injury and diabetic kidney disease

  • Text
  • PDF
Abstract

The role and mechanisms for upregulating complement factor B (CFB) expression in podocyte dysfunction in diabetic kidney disease (DKD) are not fully understood. Here, analyzing Gene Expression Omnibus GSE30528 data, we identified genes enriched in mTORC1 signaling, CFB, and complement alternative pathways in podocytes from patients with DKD. In mouse models, podocyte mTOR complex 1 (mTORC1) signaling activation was induced, while blockade of mTORC1 signaling reduced CFB upregulation, alternative complement pathway activation, and podocyte injury in the glomeruli. Knocking down CFB remarkably alleviated alternative complement pathway activation and DKD in diabetic mice. In cultured podocytes, high glucose treatment activated mTORC1 signaling, stimulated STAT1 phosphorylation, and upregulated CFB expression, while blockade of mTORC1 or STAT1 signaling abolished high glucose–upregulated CFB expression. Additionally, high glucose levels downregulated protein phosphatase 2Acα (PP2Acα) expression, while PP2Acα deficiency enhanced high glucose–induced mTORC1/STAT1 activation, CFB induction, and podocyte injury. Taken together, these findings uncover a mechanism by which CFB mediates podocyte injury in DKD.

Authors

Qingmiao Lu, Qing Hou, Kai Cao, Xiaoli Sun, Yan Liang, Mengru Gu, Xian Xue, Allan Zijian Zhao, Chunsun Dai

×

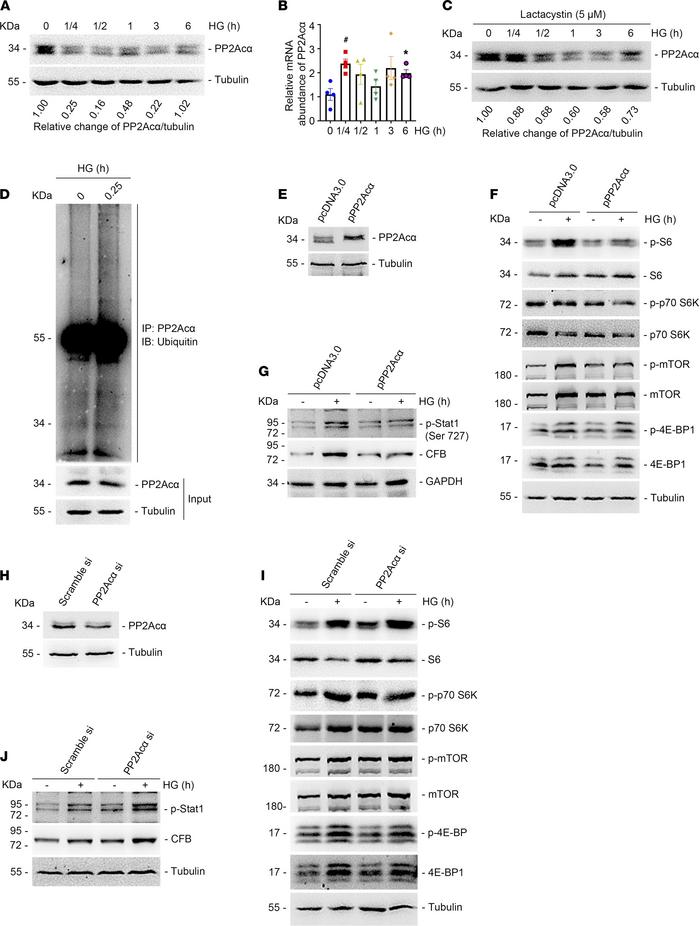
Figure 7

PP2Acα deficiency mediates high glucose–induced mTORC1 activation and CFB upregulation in podocytes.

Options: View larger image (or click on image) Download as PowerPoint
PP2Acα deficiency mediates high glucose–induced mTORC1 activation and CF...
(A) Western blot assay showing the abundance of PP2Acα in cultured podocytes after high glucose treatment at different times. Relative change of PP2Acα/tubulin shown at the bottom of the bands. (B) Real-time PCR analysis showing the mRNA abundance for PP2Acα in cultured podocytes after high glucose treatment. *P < 0.05 and #P < 0.05 vs. control cells, n = 4. (C) Western blot assay showing the abundance of PP2Acα in cultured podocytes pretreated with lactacystin for 30 minutes, followed by high glucose treatment at different times. Relative change of PP2Acα/tubulin shown under the bands. (D) The cultured podocytes were pretreated with lactacystin for 30 minutes, followed by high glucose treatment for 15 minutes. Western blot assay showing the level of ubiquitin in the precipitates (PP2Acα-IP) and PP2Acα in lysates (input). (E) Western blotting assay showing the expression of PP2Acα (MR204384) in cultured podocytes after PP2Acα (MR204384) plasmid transfection. (F and G) Western blotting assays showing the abundance of p-S6, p-p70 S6K, p-4E-BP1, p-mTOR (F), p-Stat1 (Ser727), and CFB (G) in high glucose–cultured podocytes transfected with pcDNA3.0 or PP2Acα (MR204384) plasmid for 36 hours. (H) Western blotting analyses demonstrating the downregulation of PP2Acα after PP2Acα siRNA transfection. (I and J) Western blotting assays showing the abundance of p-S6, p-p70 S6K, p-4E-BP1, p-mTOR (I), p-Stat1 (Ser727), and CFB (J) in high glucose–cultured podocytes transfected with scramble or PP2Acα siRNA for 36 hours. Data are expressed as the mean ± SEM. Comparison between the groups was performed using 1-way ANOVA followed by the Tukey test.

Copyright © 2026 American Society for Clinical Investigation
ISSN 2379-3708

Sign up for email alerts