Go to The Journal of Clinical Investigation
  • About
  • Editors
  • Consulting Editors
  • For authors
  • Publication ethics
  • Publication alerts by email
  • Transfers
  • Advertising
  • Job board
  • Contact
  • Physician-Scientist Development
  • Current issue
  • Past issues
  • By specialty
    • COVID-19
    • Cardiology
    • Immunology
    • Metabolism
    • Nephrology
    • Oncology
    • Pulmonology
    • All ...
  • Videos
  • Collections
    • In-Press Preview
    • Resource and Technical Advances
    • Clinical Research and Public Health
    • Research Letters
    • Editorials
    • Perspectives
    • Physician-Scientist Development
    • Reviews
    • Top read articles

  • Current issue
  • Past issues
  • Specialties
  • In-Press Preview
  • Resource and Technical Advances
  • Clinical Research and Public Health
  • Research Letters
  • Editorials
  • Perspectives
  • Physician-Scientist Development
  • Reviews
  • Top read articles
  • About
  • Editors
  • Consulting Editors
  • For authors
  • Publication ethics
  • Publication alerts by email
  • Transfers
  • Advertising
  • Job board
  • Contact
Early defects in mucopolysaccharidosis type IIIC disrupt excitatory synaptic transmission
Camila Pará, Poulomee Bose, Luigi Bruno, Erika Freemantle, Mahsa Taherzadeh, Xuefang Pan, Chanshuai Han, Peter S. McPherson, Jean-Claude Lacaille, Éric Bonneil, Pierre Thibault, Claire O’Leary, Brian Bigger, Carlos Ramon Morales, Graziella Di Cristo, Alexey V. Pshezhetsky
Camila Pará, Poulomee Bose, Luigi Bruno, Erika Freemantle, Mahsa Taherzadeh, Xuefang Pan, Chanshuai Han, Peter S. McPherson, Jean-Claude Lacaille, Éric Bonneil, Pierre Thibault, Claire O’Leary, Brian Bigger, Carlos Ramon Morales, Graziella Di Cristo, Alexey V. Pshezhetsky
View: Text | PDF
Research Article Genetics Neuroscience

Early defects in mucopolysaccharidosis type IIIC disrupt excitatory synaptic transmission

  • Text
  • PDF
Abstract

The majority of patients affected with lysosomal storage disorders (LSD) exhibit neurological symptoms. For mucopolysaccharidosis type IIIC (MPSIIIC), the major burdens are progressive and severe neuropsychiatric problems and dementia, primarily thought to stem from neurodegeneration. Using the MPSIIIC mouse model, we studied whether clinical manifestations preceding massive neurodegeneration arise from synaptic dysfunction. Reduced levels or abnormal distribution of multiple synaptic proteins were revealed in cultured hippocampal and CA1 pyramidal MPSIIIC neurons. These defects were rescued by virus-mediated gene correction. Dendritic spines were reduced in pyramidal neurons of mouse models of MPSIIIC and other (Tay-Sachs, sialidosis) LSD as early as at P10. MPSIIIC neurons also presented alterations in frequency and amplitude of miniature excitatory and inhibitory postsynaptic currents, sparse synaptic vesicles, reduced postsynaptic densities, disorganized microtubule networks, and partially impaired axonal transport of synaptic proteins. Furthermore, postsynaptic densities were reduced in postmortem cortices of human MPS patients, suggesting that the pathology is a common hallmark for neurological LSD. Together, our results demonstrate that lysosomal storage defects cause early alterations in synaptic structure and abnormalities in neurotransmission originating from impaired synaptic vesicular transport, and they suggest that synaptic defects could be targeted to treat behavioral and cognitive defects in neurological LSD patients.

Authors

Camila Pará, Poulomee Bose, Luigi Bruno, Erika Freemantle, Mahsa Taherzadeh, Xuefang Pan, Chanshuai Han, Peter S. McPherson, Jean-Claude Lacaille, Éric Bonneil, Pierre Thibault, Claire O’Leary, Brian Bigger, Carlos Ramon Morales, Graziella Di Cristo, Alexey V. Pshezhetsky

×

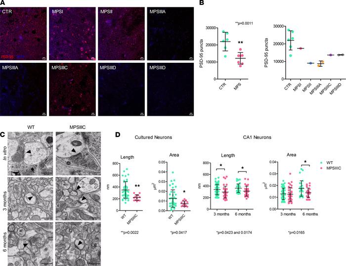
Figure 5

Cortical neurons of neurological MPS patients and hippocampal neurons of MPSIIIC mice present reduction of postsynaptic densities.

Options: View larger image (or click on image) Download as PowerPoint
Cortical neurons of neurological MPS patients and hippocampal neurons of...
(A) Representative confocal images of postmortem human cortices from controls and MPS patients stained with antibodies against PSD-95. (B) Density of PSD-95+ puncta in human cortices. Scale bar: 10 μm. (C) Representative TEM images of synapses in cultured hippocampal neurons at DIV21 and in pyramidal neurons from the CA1 region of the hippocampus of 3- and 6-month-old mice. PSDs are marked with arrowheads. Scale bar: 250 nm. (D) Quantification of length (nm) and area (μm2) of PSDs in hippocampal cultured neurons and in pyramidal neurons from the CA1 region of the hippocampus. Data show individual values, mean ± SD of 3 different neuronal cultures or 3 mice per genotype with at least 10 images analyzed for each experiment. Only asymmetric (excitatory) PSDs were considered for analysis. P values were calculated by 2-tailed t test.

Copyright © 2026 American Society for Clinical Investigation
ISSN 2379-3708

Sign up for email alerts