Go to The Journal of Clinical Investigation
  • About
  • Editors
  • Consulting Editors
  • For authors
  • Publication ethics
  • Publication alerts by email
  • Transfers
  • Advertising
  • Job board
  • Contact
  • Physician-Scientist Development
  • Current issue
  • Past issues
  • By specialty
    • COVID-19
    • Cardiology
    • Immunology
    • Metabolism
    • Nephrology
    • Oncology
    • Pulmonology
    • All ...
  • Videos
  • Collections
    • In-Press Preview
    • Resource and Technical Advances
    • Clinical Research and Public Health
    • Research Letters
    • Editorials
    • Perspectives
    • Physician-Scientist Development
    • Reviews
    • Top read articles

  • Current issue
  • Past issues
  • Specialties
  • In-Press Preview
  • Resource and Technical Advances
  • Clinical Research and Public Health
  • Research Letters
  • Editorials
  • Perspectives
  • Physician-Scientist Development
  • Reviews
  • Top read articles
  • About
  • Editors
  • Consulting Editors
  • For authors
  • Publication ethics
  • Publication alerts by email
  • Transfers
  • Advertising
  • Job board
  • Contact
BRD4 inhibition and FXR activation, individually beneficial in cholestasis, are antagonistic in combination
Hyunkyung Jung, … , Lin-Feng Chen, Jongsook Kim Kemper
Hyunkyung Jung, … , Lin-Feng Chen, Jongsook Kim Kemper
Published December 8, 2020
Citation Information: JCI Insight. 2021;6(1):e141640. https://doi.org/10.1172/jci.insight.141640.
View: Text | PDF
Research Article Hepatology Inflammation

BRD4 inhibition and FXR activation, individually beneficial in cholestasis, are antagonistic in combination

  • Text
  • PDF
Abstract

Activation of farnesoid X receptor (FXR) by obeticholic acid (OCA) reduces hepatic inflammation and fibrosis in patients with primary biliary cholangitis (PBC), a life-threatening cholestatic liver failure. Inhibition of bromodomain-containing protein 4 (BRD4) also has antiinflammatory, antifibrotic effects in mice. We determined the role of BRD4 in FXR function in bile acid (BA) regulation and examined whether the known beneficial effects of OCA are enhanced by inhibiting BRD4 in cholestatic mice. Liver-specific downregulation of BRD4 disrupted BA homeostasis in mice, and FXR-mediated regulation of BA-related genes, including small heterodimer partner and cholesterol 7 alpha-hydroxylase, was BRD4 dependent. In cholestatic mice, JQ1 or OCA treatment ameliorated hepatotoxicity, inflammation, and fibrosis, but surprisingly, was antagonistic in combination. Mechanistically, OCA increased binding of FXR, and the corepressor silencing mediator of retinoid and thyroid hormone receptor (SMRT) decreased NF-κB binding at inflammatory genes and repressed the genes in a BRD4-dependent manner. In patients with PBC, hepatic expression of FXR and BRD4 was significantly reduced. In conclusion, BRD4 is a potentially novel cofactor of FXR for maintaining BA homeostasis and hepatoprotection. Although BRD4 promotes hepatic inflammation and fibrosis in cholestasis, paradoxically, BRD4 is required for the antiinflammatory, antifibrotic actions of OCA-activated FXR. Cotreatment with OCA and JQ1, individually beneficial, may be antagonistic in treatment of liver disease patients with inflammation and fibrosis complications.

Authors

Hyunkyung Jung, Jinjing Chen, Xiangming Hu, Hao Sun, Shwu-Yuan Wu, Cheng-Ming Chiang, Byron Kemper, Lin-Feng Chen, Jongsook Kim Kemper

×

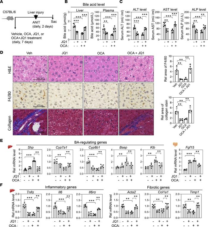
Figure 4

Beneficial protective effects of OCA or JQ1 in cholestatic mice are lost with cotreatment.

Options: View larger image (or click on image) Download as PowerPoint
Beneficial protective effects of OCA or JQ1 in cholestatic mice are lost...
Mice were treated daily with 10 mg/kg OCA or 50 mg/kg JQ1 for 7 days and for the last 2 days were treated daily with 35 mg/kg with ANIT. (A) Experimental outline. (B and C) Hepatic and plasma BA levels and serum alanine aminotransferase (ALT), aspartate aminotransferase (AST), and alkaline phosphatase (ALP) levels. (D) Liver sections stained with H&E to evaluate hepatic toxicity (top). Liver sections were stained with F4/80 antibody to detect macrophages (brown) (middle), and collagen (blue) was detected by staining using Masson’s trichrome method (bottom). Scale bar: 100 μm. Representative images (left) and quantitation (right). (E and F) mRNA levels of the indicated genes measured by RT-qPCR. (B, C, E, and F) Mean ± SD. Statistical significance was determined by 2-way ANOVA (r = 6 mice), **P < 0.01, ***P < 0.001.

Copyright © 2025 American Society for Clinical Investigation
ISSN 2379-3708

Sign up for email alerts