Go to The Journal of Clinical Investigation
  • About
  • Editors
  • Consulting Editors
  • For authors
  • Publication ethics
  • Publication alerts by email
  • Transfers
  • Advertising
  • Job board
  • Contact
  • Physician-Scientist Development
  • Current issue
  • Past issues
  • By specialty
    • COVID-19
    • Cardiology
    • Immunology
    • Metabolism
    • Nephrology
    • Oncology
    • Pulmonology
    • All ...
  • Videos
  • Collections
    • In-Press Preview
    • Resource and Technical Advances
    • Clinical Research and Public Health
    • Research Letters
    • Editorials
    • Perspectives
    • Physician-Scientist Development
    • Reviews
    • Top read articles

  • Current issue
  • Past issues
  • Specialties
  • In-Press Preview
  • Resource and Technical Advances
  • Clinical Research and Public Health
  • Research Letters
  • Editorials
  • Perspectives
  • Physician-Scientist Development
  • Reviews
  • Top read articles
  • About
  • Editors
  • Consulting Editors
  • For authors
  • Publication ethics
  • Publication alerts by email
  • Transfers
  • Advertising
  • Job board
  • Contact
Arp2/3 inactivation causes intervertebral disc and cartilage degeneration with dysregulated TonEBP-mediated osmoadaptation
Steven Tessier, Alexandra C. Doolittle, Kimheak Sao, Jeremy D. Rotty, James E. Bear, Veronica Ulici, Richard F. Loeser, Irving M. Shapiro, Brian O. Diekman, Makarand V. Risbud
Steven Tessier, Alexandra C. Doolittle, Kimheak Sao, Jeremy D. Rotty, James E. Bear, Veronica Ulici, Richard F. Loeser, Irving M. Shapiro, Brian O. Diekman, Makarand V. Risbud
View: Text | PDF
Research Article Bone biology Cell biology

Arp2/3 inactivation causes intervertebral disc and cartilage degeneration with dysregulated TonEBP-mediated osmoadaptation

  • Text
  • PDF
Abstract

Extracellular matrix and osmolarity influence the development and homeostasis of skeletal tissues through Rho GTPase–mediated alteration of the actin cytoskeleton. This study investigated whether the actin-branching Arp2/3 complex, a downstream effector of the Rho GTPases Cdc42 and Rac1, plays a critical role in maintaining the health of matrix-rich and osmotically loaded intervertebral discs and cartilage. Mice with constitutive intervertebral disc– and cartilage-specific deletion of the critical Arp2/3 subunit Arpc2 (Col2-Cre; Arpc2fl/fl) developed chondrodysplasia and spinal defects. Since these mice did not survive to adulthood, we generated mice with inducible Arpc2 deletion in disc and cartilage (Acan-CreERT2; Arpc2fl/fl). Inactivation of Arp2/3 at skeletal maturity resulted in growth plate closure, loss of proteoglycan content in articular cartilage, and degenerative changes in the intervertebral disc at 1 year of age. Chondrocytes with Arpc2 deletion showed compromised cell spreading on both collagen and fibronectin. Pharmacological inhibition of Cdc42 and Arp2/3 prevented the osmoadaptive transcription factor TonEBP/NFAT5 from recruiting cofactors in response to a hyperosmolarity challenge. Together, these findings suggest that Arp2/3 plays a critical role in cartilaginous tissues through the regulation of cell–extracellular matrix interactions and modulation of TonEBP-mediated osmoadaptation.

Authors

Steven Tessier, Alexandra C. Doolittle, Kimheak Sao, Jeremy D. Rotty, James E. Bear, Veronica Ulici, Richard F. Loeser, Irving M. Shapiro, Brian O. Diekman, Makarand V. Risbud

×

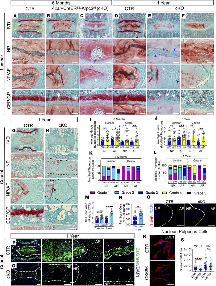
Figure 4

Inactivation of Arp2/3 at skeletal maturity causes disc degeneration.

Options: View larger image (or click on image) Download as PowerPoint
Inactivation of Arp2/3 at skeletal maturity causes disc degeneration.
(A...
(A–F) Coronal sections of control and Arp2/3-deficient discs stained by Safranin O/Fast Green/Hematoxylin. Scale bar: 200 μm in top row, 100 μm in high magnification. (A–C) Lumber discs from 6-month-old control (A) and mutant mice (B and C). White arrowheads indicate loss of demarcation between the NP and AF; white arrows indicate moderate loss of the growth plate (n = 7 mice). Blue arrowheads indicate enlarged NP cells. (C) A total of 24% of 6-month-old mutant lumbar discs presented with abnormally enlarged NP cells (blue arrowheads). (D–F) Lumbar discs from 1-year-old control (D) and mutant discs (E and F). Blue arrowheads indicate enlarged NP cells; white arrowhead indicates loss of demarcation between the NP and AF compartments; black arrowhead indicates disorganization of AF lamellae; white arrows indicate reminiscent growth plate (n = 6 mice). (F) Annular tear (outlined in black). (G) One-year-old control for caudal discs. (H) Severe disc degeneration with condensed fibrotic matrix in 1-year-old mutant discs (n = 3 mice). Severely degenerated caudal discs showed inner buckling of the AF (black arrow). (I and J) Average modified Thompson score for 6-month-old (n = 28 lumbar and 27 caudal discs; 7 mice) (I) and 1-year-old animals (n = 24 lumbar discs; 6 mice and n = 11 caudal discs; 3 mice) (J), where higher scores indicate worsening changes. (K and L) Distribution of histological grades 6-month-old (K) and 1-year-old (L) animals. (M) Area measurements of the NP cell band of lumbar discs (6 months, n = 12 discs, 3 mice; 1 year, n = 10 discs, 5 mice). (N) Cell number in the NP cell band (n = 10 discs; 5 mice). (O) TUNEL assay of 1-year-old lumber discs. Scale bar: 100 μm. (P and Q) Fate mapping using ZsGreen in 1-year-old control (P) and mutant (Q) caudal discs. Scale bar: 200 μm in left column, 100 μm in high-magnification view, to the right. Yellow arrowheads indicate GP loss. (R and S) Spread cell area of NP cells was quantified to determine the extent of interaction with underlying collagen I (COL1) or fibronectin (FN). Scale bar: 50 μm. Quantitative measurements represent mean ± SD. Significance was determined using either unpaired Student’s t test or Mann-Whitney U test; *P ≤ 0.05; **P ≤ 0.01; ***P ≤ 0.001; ****P ≤ 0.0001.

Copyright © 2026 American Society for Clinical Investigation
ISSN 2379-3708

Sign up for email alerts