Go to The Journal of Clinical Investigation
  • About
  • Editors
  • Consulting Editors
  • For authors
  • Publication ethics
  • Publication alerts by email
  • Transfers
  • Advertising
  • Job board
  • Contact
  • Physician-Scientist Development
  • Current issue
  • Past issues
  • By specialty
    • COVID-19
    • Cardiology
    • Immunology
    • Metabolism
    • Nephrology
    • Oncology
    • Pulmonology
    • All ...
  • Videos
  • Collections
    • In-Press Preview
    • Resource and Technical Advances
    • Clinical Research and Public Health
    • Research Letters
    • Editorials
    • Perspectives
    • Physician-Scientist Development
    • Reviews
    • Top read articles

  • Current issue
  • Past issues
  • Specialties
  • In-Press Preview
  • Resource and Technical Advances
  • Clinical Research and Public Health
  • Research Letters
  • Editorials
  • Perspectives
  • Physician-Scientist Development
  • Reviews
  • Top read articles
  • About
  • Editors
  • Consulting Editors
  • For authors
  • Publication ethics
  • Publication alerts by email
  • Transfers
  • Advertising
  • Job board
  • Contact
Platelet-targeted dual pathway antithrombotic inhibits thrombosis with preserved hemostasis
Donny Hanjaya-Putra, Carolyn Haller, Xiaowei Wang, Erbin Dai, Bock Lim, Liying Liu, Patrick Jaminet, Joy Yao, Amy Searle, Thomas Bonnard, Christoph E. Hagemeyer, Karlheinz Peter, Elliot L. Chaikof
Donny Hanjaya-Putra, Carolyn Haller, Xiaowei Wang, Erbin Dai, Bock Lim, Liying Liu, Patrick Jaminet, Joy Yao, Amy Searle, Thomas Bonnard, Christoph E. Hagemeyer, Karlheinz Peter, Elliot L. Chaikof
View: Text | PDF
Research Article Cardiology Hematology

Platelet-targeted dual pathway antithrombotic inhibits thrombosis with preserved hemostasis

  • Text
  • PDF
Abstract

Despite advances in antithrombotic therapy, the risk of recurrent coronary/cerebrovascular ischemia or venous thromboembolism remains high. Dual pathway antithrombotic blockade, using both antiplatelet and anticoagulant therapy, offers the promise of improved thrombotic protection; however, widespread adoption remains tempered by substantial risk of major bleeding. Here, we report a dual pathway therapeutic capable of site-specific targeting to activated platelets and therapeutic enrichment at the site of thrombus growth to allow reduced dosing without compromised antithrombotic efficacy. We engineered a recombinant fusion protein, SCE5-TAP, which consists of a single-chain antibody (SCE5) that targets and blocks the activated GPIIb/IIIa complex, and tick anticoagulant peptide (TAP), a potent direct inhibitor of activated factor X (FXa). SCE5-TAP demonstrated selective platelet targeting and inhibition of thrombosis in murine models of both carotid artery and inferior vena cava thrombosis, without a significant impact on hemostasis. Selective targeting to activated platelets provides an attractive strategy to achieve high antithrombotic efficacy with reduced risk of bleeding complications.

Authors

Donny Hanjaya-Putra, Carolyn Haller, Xiaowei Wang, Erbin Dai, Bock Lim, Liying Liu, Patrick Jaminet, Joy Yao, Amy Searle, Thomas Bonnard, Christoph E. Hagemeyer, Karlheinz Peter, Elliot L. Chaikof

×

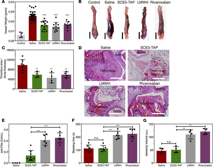
Figure 4

SCE5-TAP inhibits deep venous thrombosis without increased bleeding risk.

Options: View larger image (or click on image) Download as PowerPoint
SCE5-TAP inhibits deep venous thrombosis without increased bleeding risk...
An electrolytic IVC model (EIM) was used to generate a nonocclusive venous thrombus in the IVC. SCE5-TAP (0.5 μg/g s.c.), LMWH (4 μg/g s.c.), or Rivaroxaban (1 μg/g per os) were administered 4 hours prior to electrolytic injury and 24 hours after injury. The IVC was harvested at 48 hours for thrombus characterization. (A and B) A uniform length of IVC was harvested and immediately weighed to determine vessel wall and thrombus weight. Control enrollment included uninjured IVC without thrombus induction; n = 10–35 mice/group. Data represent mean ± SD, ***P ≤ 0.001 vs. saline control. (C and D) Thrombus area was characterized from H&E-stained sections. Thrombus area is reported as area (mm2)/aortic wall thickness (mm); n = 5 mice/group, 3 sections/mouse. Data represent mean ± SD, **P ≤ 0.01 vs. saline control. Scale bars: 500 μm. (E–G) Systemic bleeding risk was characterized 4 hours after administration of test compound by measuring circulating anti-FXa activity (E), tail transection bleeding time (F), and tail transection blood loss (G); n = 5–10 mice/group. Data represent mean ± SD, **P ≤ 0.01 and ***P ≤ 0.001. All P values were determined by ANOVA and Bonferroni’s multiple comparison test.

Copyright © 2026 American Society for Clinical Investigation
ISSN 2379-3708

Sign up for email alerts