Go to The Journal of Clinical Investigation
  • About
  • Editors
  • Consulting Editors
  • For authors
  • Publication ethics
  • Publication alerts by email
  • Transfers
  • Advertising
  • Job board
  • Contact
  • Physician-Scientist Development
  • Current issue
  • Past issues
  • By specialty
    • COVID-19
    • Cardiology
    • Immunology
    • Metabolism
    • Nephrology
    • Oncology
    • Pulmonology
    • All ...
  • Videos
  • Collections
    • In-Press Preview
    • Resource and Technical Advances
    • Clinical Research and Public Health
    • Research Letters
    • Editorials
    • Perspectives
    • Physician-Scientist Development
    • Reviews
    • Top read articles

  • Current issue
  • Past issues
  • Specialties
  • In-Press Preview
  • Resource and Technical Advances
  • Clinical Research and Public Health
  • Research Letters
  • Editorials
  • Perspectives
  • Physician-Scientist Development
  • Reviews
  • Top read articles
  • About
  • Editors
  • Consulting Editors
  • For authors
  • Publication ethics
  • Publication alerts by email
  • Transfers
  • Advertising
  • Job board
  • Contact
Inhibition of the methyltranferase EZH2 improves aortic performance in experimental thoracic aortic aneurysm
Christian L. Lino Cardenas, Chase W. Kessinger, Carolyn MacDonald, Arminder S. Jassar, Eric M. Isselbacher, Farouc A. Jaffer, Mark E. Lindsay
Christian L. Lino Cardenas, Chase W. Kessinger, Carolyn MacDonald, Arminder S. Jassar, Eric M. Isselbacher, Farouc A. Jaffer, Mark E. Lindsay
View: Text | PDF
Research Article Cardiology Cell biology

Inhibition of the methyltranferase EZH2 improves aortic performance in experimental thoracic aortic aneurysm

  • Text
  • PDF
Abstract

Loss-of-function mutations in genes encoding contractile proteins have been observed in thoracic aortic aneurysms (TAA). To gain insight into the contribution of contractile protein deficiency in the pathogenesis of TAA, we examined human aneurysm samples. We found multiple contractile gene products deficient in TAA samples, and in particular, expression of SM22α was inversely correlated with aneurysm size. SM22α-deficient mice demonstrated pregnancy-induced aortic dissection, and SM22α deficiency worsened aortic aneurysm in Fbn1C1039G/+ (Marfan) mice, validating this gene product as a TAA effector. We found that repression of SM22α was enforced by increased activity of the methyltransferase EZH2. TGF-β effectors such as SMAD3 were excluded from binding SM22α-encoding chromatin (TAGLN) in TAA samples, while treatment with the EZH2 inhibitor GSK343 improved cytoskeletal architecture and restored SM22α expression. Finally, inhibition of EZH2 improved aortic performance in Fbn1C1039G/+ mice, in association with restoration of contractile protein expression (including SM22α). Together, these data inform our understanding of contractile protein deficiency in TAA and support the pursuit of chromatin modifying factors as therapeutic targets in aortic disease.

Authors

Christian L. Lino Cardenas, Chase W. Kessinger, Carolyn MacDonald, Arminder S. Jassar, Eric M. Isselbacher, Farouc A. Jaffer, Mark E. Lindsay

×

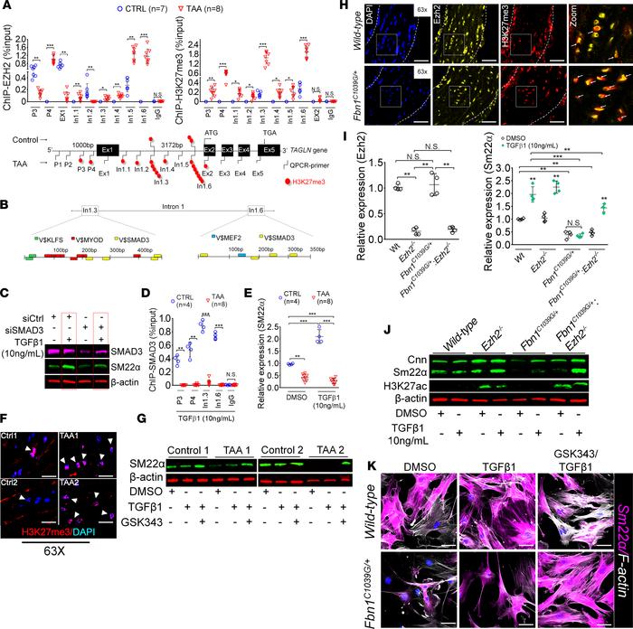
Figure 3

Inhibition of the methyltransferase, EZH2 restores SM22α expression.

Options: View larger image (or click on image) Download as PowerPoint
Inhibition of the methyltransferase, EZH2 restores SM22α expression.
(A)...
(A) ChIP-qPCR assays in human aortic tissue shows increased interaction of EZH2 protein and H3K27me3 modifications in TAA tissue (n = 8) when compared with control aortas (n = 7) at the TAGLN gene locus. Lower panel shows map of H3K27me3 modifications. (*P < 0.05, **P < 0.01, ***P < 0.001, student’s t test versus WT, 2 tailed) (B) Identification of transcription factor binding sides in hypermethylated region within intron 1 using Genomatix. V$, vertebrates matrix family. (C) VSMCs treated with siSMAD3 demonstrate inhibition of basal and TGF-β–induced SM22α expression. (D) SMAD3 ChIP-qPCR assays in VSMCs cultured from TAA (n = 8) and treated with TGF-β1 (10 ng/ml) demonstrate decreased SMAD3 binding at TAGLN locus when compared with control VSMC cultures (n = 4) (**P < 0.01, ***P < 0.001, student’s t test versus WT, 2 tailed). (E) qPCR analysis of SM22α transcript in control (n = 4) or TAA (n = 8) isolated VSMC cultures treated with recombinant TGF-β1 (10 ng/ml) (**P < 0.01, ***P < 0.001, 1-way ANOVA). (F) Immunofluorescent staining of H3K27me3 modifications in human tissue from control and TAA aortas. Scale bar: 20 μm. Arrows indicate positive H3K27me3 nuclei. (G) Immunoblotting analysis of SM22α in isolated VSMCs from control and TAA VSMC cultures treated with EZH2 inhibitor (GSK343 10 μM) and/or TGF-β1 (10 ng/ml). (H) Immunofluorescent staining of Ezh2 (yellow) and H3K27me3 (red) in 6-month-old Fbn1C1039G/+ and WT mouse aortas. Scale bar: 40 μm. (I) qPCR analysis of Ezh2 and Tagln (Sm22α) transcripts in mouse VSMCs isolated from WT, Ezh2–/–, Fbn1C1039G/+, and Fbn1C1039G/+ Ezh2–/– cells. (**P < 0.01, ***P < 0.001, 1-way ANOVA) (J) Immunoblotting analysis of Sm22α in mouse VSMCs isolated from WT, Ezh2–/–, Fbn1C1039G/+, and Fbn1C1039G/+ Ezh2–/– cells treated with or without TGF-β1 (10 ng/ml). (K) Immunofluorescent staining of Sm22α (magenta) and F-actin (gray) in Fbn1C1039G/+ and WT mouse VSMCs treated with EZH2 inhibitor (GSK343 10 μM) and TGF-β1 (10 ng/ml). Scale bar: 10 μm. TAA, thoracic aortic aneurysm; Ctrl, control; H3K27me3, Histone 3 lysine 27 trimethylation; H3K27ac, Histone 3 acetylated lysine 27.

Copyright © 2026 American Society for Clinical Investigation
ISSN 2379-3708

Sign up for email alerts