Go to The Journal of Clinical Investigation
  • About
  • Editors
  • Consulting Editors
  • For authors
  • Publication ethics
  • Publication alerts by email
  • Transfers
  • Advertising
  • Job board
  • Contact
  • Physician-Scientist Development
  • Current issue
  • Past issues
  • By specialty
    • COVID-19
    • Cardiology
    • Immunology
    • Metabolism
    • Nephrology
    • Oncology
    • Pulmonology
    • All ...
  • Videos
  • Collections
    • In-Press Preview
    • Resource and Technical Advances
    • Clinical Research and Public Health
    • Research Letters
    • Editorials
    • Perspectives
    • Physician-Scientist Development
    • Reviews
    • Top read articles

  • Current issue
  • Past issues
  • Specialties
  • In-Press Preview
  • Resource and Technical Advances
  • Clinical Research and Public Health
  • Research Letters
  • Editorials
  • Perspectives
  • Physician-Scientist Development
  • Reviews
  • Top read articles
  • About
  • Editors
  • Consulting Editors
  • For authors
  • Publication ethics
  • Publication alerts by email
  • Transfers
  • Advertising
  • Job board
  • Contact
Heterogeneous perivascular cell coverage affects breast cancer metastasis and response to chemotherapy
Jiha Kim, Pedro Correa de Sampaio, Donna Marie Lundy, Qian Peng, Kurt W. Evans, Hikaru Sugimoto, Mihai Gagea, Yvonne Kienast, Nayra Soares do Amaral, Rafael Malagoli Rocha, Hans Petter Eikesdal, Per Eystein Lønning, Funda Meric-Bernstam, Valerie S. LeBleu
Jiha Kim, Pedro Correa de Sampaio, Donna Marie Lundy, Qian Peng, Kurt W. Evans, Hikaru Sugimoto, Mihai Gagea, Yvonne Kienast, Nayra Soares do Amaral, Rafael Malagoli Rocha, Hans Petter Eikesdal, Per Eystein Lønning, Funda Meric-Bernstam, Valerie S. LeBleu
View: Text | PDF
Research Article Angiogenesis Vascular biology

Heterogeneous perivascular cell coverage affects breast cancer metastasis and response to chemotherapy

  • Text
  • PDF
Abstract

Angiogenesis and co-optive vascular remodeling are prerequisites of solid tumor growth. Vascular heterogeneity, notably perivascular composition, may play a critical role in determining the rate of cancer progression. The contribution of vascular pericyte heterogeneity to cancer progression and therapy response is unknown. Here, we show that angiopoietin-2 (Ang2) orchestrates pericyte heterogeneity in breast cancer with an effect on metastatic disease and response to chemotherapy. Using multispectral imaging of human breast tumor specimens, we report that perivascular composition, as defined by the ratio of PDGFRβ– and desmin+ pericytes, provides information about the response to epirubicin but not paclitaxel. Using 17 distinct patient-derived breast cancer xenografts, we demonstrate a cancer cell–derived influence on stromal Ang2 production and a cancer cell–defined control over tumor vasculature and perivascular heterogeneity. The aggressive features of tumors and their distinct response to therapies may thus emerge by the cancer cell–defined engagement of distinct and heterogeneous angiogenic programs.

Authors

Jiha Kim, Pedro Correa de Sampaio, Donna Marie Lundy, Qian Peng, Kurt W. Evans, Hikaru Sugimoto, Mihai Gagea, Yvonne Kienast, Nayra Soares do Amaral, Rafael Malagoli Rocha, Hans Petter Eikesdal, Per Eystein Lønning, Funda Meric-Bernstam, Valerie S. LeBleu

×

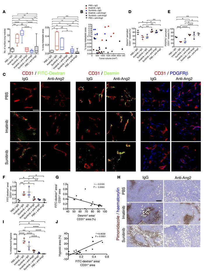
Figure 3

Perivascular composition demarcates metastatic burden in MDA-MB-231 tumor-bearing mice.

Options: View larger image (or click on image) Download as PowerPoint
Perivascular composition demarcates metastatic burden in MDA-MB-231 tumo...
(A) Number of surface lung nodules and quantification of percentage of lung metastatic area determined on H&E-stained lung sections (Supplemental Figure 3D). Box-and-whiskers plots show median (line within box), upper and lower quartile (bounds of box), and minimum and maximum values (bars). (B) Correlation of percentage of lung metastasis and tumor volume at experimental endpoint. Experimental n numbers for A and B were as follows: IgG + PBS, n = 5; IgG + imatinib, n = 5; anti-ANG2 + imatinib, n = 6; anti-ANG2 + PBS, n = 6; IgG + sunitinib, n = 7; anti-ANG2 + sunitinib, n = 6. (C) Representative images of FFPE tumor sections from the indicated experimental groups immunolabeled for CD31/FITC-dextran, CD31/desmin, or CD31/PDGFRβ. Tumor sections were visualized for perfused 2,000-kDa FITC-dextran in the indicated experimental groups. Scale bar: 50 μm. (D) Quantification of percentage of coverage of desmin+ pericytes per CD31+ vessels (n = 3 mice, all groups). (E) Quantification of percentage of coverage of PDGFRβ+ pericytes per CD31+ vessels (n = 3 mice, all groups). (F) Quantification of FITC-dextran+ area per CD31+ vascular area (n = 3 mice, all groups). (G) Correlation of FITC-dextran leakage and percentage of desmin+ pericyte-covered vessels. Pearson’s r correlation coefficient and significance levels are presented (n = 3 mice, all groups). (H and I) Representative images of pimonidazole adduct formation (hypoxyprobe) immunolabeling on FFPE tumor sections (H) and corresponding quantification (I) of intratumoral hypoxic area as a percentage of tumor area (n = 3 mice, all groups). Scale bar: 200 μm. (J) Correlation of FITC-dextran leakage and percentage of hypoxic area. Pearson’s r correlation coefficient and significance levels are presented. IgG + PBS, n = 3; IgG + imatinib, n = 2; anti-ANG2 + imatinib, n = 3; anti-ANG2 + PBS, n = 3; IgG + sunitinib, n = 3; anti-ANG2 + sunitinib, n = 3. The data are presented as mean ± SD. Unless otherwise indicated, 1-way ANOVA with Tukey’s multiple comparison test was used to determine statistical significance. *P < 0.05, **P < 0.01, ***P < 0.001, ****P < 0.0001.

Copyright © 2026 American Society for Clinical Investigation
ISSN 2379-3708

Sign up for email alerts