Go to The Journal of Clinical Investigation
  • About
  • Editors
  • Consulting Editors
  • For authors
  • Publication ethics
  • Publication alerts by email
  • Transfers
  • Advertising
  • Job board
  • Contact
  • Physician-Scientist Development
  • Current issue
  • Past issues
  • By specialty
    • COVID-19
    • Cardiology
    • Immunology
    • Metabolism
    • Nephrology
    • Oncology
    • Pulmonology
    • All ...
  • Videos
  • Collections
    • In-Press Preview
    • Resource and Technical Advances
    • Clinical Research and Public Health
    • Research Letters
    • Editorials
    • Perspectives
    • Physician-Scientist Development
    • Reviews
    • Top read articles

  • Current issue
  • Past issues
  • Specialties
  • In-Press Preview
  • Resource and Technical Advances
  • Clinical Research and Public Health
  • Research Letters
  • Editorials
  • Perspectives
  • Physician-Scientist Development
  • Reviews
  • Top read articles
  • About
  • Editors
  • Consulting Editors
  • For authors
  • Publication ethics
  • Publication alerts by email
  • Transfers
  • Advertising
  • Job board
  • Contact
Hepatoblastoma modeling in mice places Nrf2 within a cancer field established by mutant β-catenin
Sarah A. Comerford, Elizabeth A. Hinnant, Yidong Chen, Hima Bansal, Shawn Klapproth, Dinesh Rakheja, Milton J. Finegold, Dolores Lopez-Terrada, Kathryn A. O’Donnell, Gail E. Tomlinson, Robert E. Hammer
Sarah A. Comerford, Elizabeth A. Hinnant, Yidong Chen, Hima Bansal, Shawn Klapproth, Dinesh Rakheja, Milton J. Finegold, Dolores Lopez-Terrada, Kathryn A. O’Donnell, Gail E. Tomlinson, Robert E. Hammer
View: Text | PDF
Research Article Hepatology Oncology

Hepatoblastoma modeling in mice places Nrf2 within a cancer field established by mutant β-catenin

  • Text
  • PDF
Abstract

Aberrant wnt/β-catenin signaling and amplification/overexpression of Myc are associated with hepatoblastoma (HB), the most prevalent type of childhood liver cancer. To address their roles in the pathogenesis of HB, we generated mice in which Myc and mutant β-catenin were targeted to immature cells of the developing mouse liver. Perinatal coexpression of both genes promoted the preferential development of HBs over other tumor types in neonatal mice, all of which bore striking resemblance to their human counterparts. Integrated analysis indicated that tumors emerged as a consequence of Myc-driven alterations in hepatoblast fate in a background of pan-hepatic injury, inflammation, and nuclear factor (erythroid-derived 2)-like 2/Nrf2-dependent antioxidant signaling, which was specifically associated with expression of mutant β-catenin but not Myc. Immunoprofiling of human HBs confirmed that approximately 50% of tumors demonstrated aberrant activation of either Myc or Nfe2l2/Nrf2, while knockdown of Nrf2 in a cell line–derived from a human HB with NFE2L2 gene amplification reduced tumor cell growth and viability. Taken together, these data indicate that β-catenin creates a protumorigenic hepatic environment in part by indirectly activating Nrf2 and implicate oxidative stress as a possible driving force for a subset of β-catenin–driven liver tumors in children.

Authors

Sarah A. Comerford, Elizabeth A. Hinnant, Yidong Chen, Hima Bansal, Shawn Klapproth, Dinesh Rakheja, Milton J. Finegold, Dolores Lopez-Terrada, Kathryn A. O’Donnell, Gail E. Tomlinson, Robert E. Hammer

×

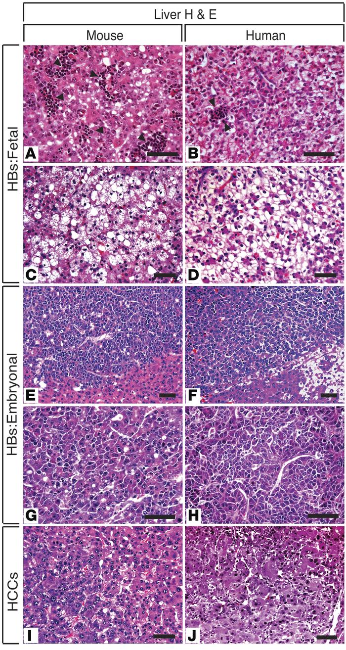
Figure 3

Comparative histopathology of mouse and human HBs and HCCs.

Options: View larger image (or click on image) Download as PowerPoint
Comparative histopathology of mouse and human HBs and HCCs.
Photomicrogr...
Photomicrographs of H&E-stained liver sections showing (A, C, E, G, and I) hepatoblastomas (HBs) and hepatocellular carcinomas (HCCs) that develop in β-catΔEx3:Myc mice, (B, D, F, H, and J) with their human counterparts. In all cases, mouse tumors bear striking resemblance to human HBs. Well-differentiated fetal HBs contained (A and B) eosinophilic or (C and D) clear cells. Extramedullary hematopoiesis is present in (A) mouse and (B) human fetal HBs (arrowheads). Embryonal HBs with a trabecular growth pattern consisting of small angulated cells with a high nuclear/cytoplasmic ratio. Note that, in contrast to the fetal HBs in C and D, (E–H) fat or glycogen is absent. Well-to-moderately differentiated (I) mouse and (J) human microtrabecular HCCs containing hepatoid cells. Nuclear atypia and heterogeneity are evident. Scale bar: 50 μm.

Copyright © 2026 American Society for Clinical Investigation
ISSN 2379-3708

Sign up for email alerts