Go to The Journal of Clinical Investigation
  • About
  • Editors
  • Consulting Editors
  • For authors
  • Publication ethics
  • Publication alerts by email
  • Transfers
  • Advertising
  • Job board
  • Contact
  • Physician-Scientist Development
  • Current issue
  • Past issues
  • By specialty
    • COVID-19
    • Cardiology
    • Immunology
    • Metabolism
    • Nephrology
    • Oncology
    • Pulmonology
    • All ...
  • Videos
  • Collections
    • In-Press Preview
    • Resource and Technical Advances
    • Clinical Research and Public Health
    • Research Letters
    • Editorials
    • Perspectives
    • Physician-Scientist Development
    • Reviews
    • Top read articles

  • Current issue
  • Past issues
  • Specialties
  • In-Press Preview
  • Resource and Technical Advances
  • Clinical Research and Public Health
  • Research Letters
  • Editorials
  • Perspectives
  • Physician-Scientist Development
  • Reviews
  • Top read articles
  • About
  • Editors
  • Consulting Editors
  • For authors
  • Publication ethics
  • Publication alerts by email
  • Transfers
  • Advertising
  • Job board
  • Contact
Insulin decreases atherosclerosis by inducing endothelin receptor B expression
Kyoungmin Park, Akira Mima, Qian Li, Christian Rask-Madsen, Pingnian He, Koji Mizutani, Sayaka Katagiri, Yasutaka Maeda, I-Hsien Wu, Mogher Khamaisi, Simone Rordam Preil, Ernesto Maddaloni, Ditte Sørensen, Lars Melholt Rasmussen, Paul L. Huang, George L. King
Kyoungmin Park, Akira Mima, Qian Li, Christian Rask-Madsen, Pingnian He, Koji Mizutani, Sayaka Katagiri, Yasutaka Maeda, I-Hsien Wu, Mogher Khamaisi, Simone Rordam Preil, Ernesto Maddaloni, Ditte Sørensen, Lars Melholt Rasmussen, Paul L. Huang, George L. King
View: Text | PDF
Research Article Vascular biology

Insulin decreases atherosclerosis by inducing endothelin receptor B expression

  • Text
  • PDF
Abstract

Endothelial cell (EC) insulin resistance and dysfunction, caused by diabetes, accelerates atherosclerosis. It is unknown whether specifically enhancing EC-targeted insulin action can decrease atherosclerosis in diabetes. Accordingly, overexpressing insulin receptor substrate-1 (IRS1) in the endothelia of Apoe–/– mice (Irs1/Apoe–/–) increased insulin signaling and function in the aorta. Atherosclerosis was significantly reduced in Irs1/ApoE–/– mice on diet-induced hyperinsulinemia and hyperglycemia. The mechanism of insulin’s enhanced antiatherogenic actions in EC was related to remarkable induction of NO action, which increases endothelin receptor B (EDNRB) expression and intracellular [Ca2+]. Using the mice with knockin mutation of eNOS, which had Ser1176 mutated to alanine (AKI), deleting the only known mechanism for insulin to activate eNOS/NO pathway, we observed that IRS1 overexpression in the endothelia of Aki/ApoE–/– mice significantly decreased atherosclerosis. Interestingly, endothelial EDNRB expression was selectively reduced in intima of arteries from diabetic patients and rodents. However, endothelial EDNRB expression was upregulated by insulin via P13K/Akt pathway. Finally EDNRB deletion in EC of Ldlr–/– and Irs1/Ldlr–/– mice decreased NO production and accelerated atherosclerosis, compared with Ldlr–/– mice. Accelerated atherosclerosis in diabetes may be reduced by improving insulin signaling selectively via IRS1/Akt in the EC by inducing EDNRB expression and NO production.

Authors

Kyoungmin Park, Akira Mima, Qian Li, Christian Rask-Madsen, Pingnian He, Koji Mizutani, Sayaka Katagiri, Yasutaka Maeda, I-Hsien Wu, Mogher Khamaisi, Simone Rordam Preil, Ernesto Maddaloni, Ditte Sørensen, Lars Melholt Rasmussen, Paul L. Huang, George L. King

×

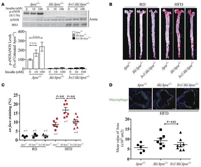
Figure 7

Characterization of NO production in EC from Irs1/Aki/Apoe–/– mice with mutated eNOS Ser to Ala at 1176 (AKI).

Options: View larger image (or click on image) Download as PowerPoint
Characterization of NO production in EC from Irs1/Aki/Apoe–/– mice with ...
(A) IB and densitometry of p-eNOS in aortas of Apoe–/–, Aki/Apoe–/–, and Irs1/Aki/Apoe–/– mice. (B and C) En face staining and quantification of aortas from Apoe–/– (n = 5), Aki/Apoe–/– (n = 7), and Irs1/Aki/Apoe–/– (n = 8) mice fed on HFD. (D) Representative example (upper) and quantification (lower) of cross-sections from the aortic sinus stained with GALECTIN-3. A higher magnification (×4) and scale bar: 100 μm. Data are represented as mean ± SEM of at least 5 mouse replicates or least 5 cellular replicates for NO production experiments. P < 0.05, P < 0.01 (1-way/2-way ANOVA for multiple comparisons involving 1 or 2 factorial variables and 2-tailed Student’s t-test for pairwise comparisons).

Copyright © 2026 American Society for Clinical Investigation
ISSN 2379-3708

Sign up for email alerts