Go to The Journal of Clinical Investigation
  • About
  • Editors
  • Consulting Editors
  • For authors
  • Publication ethics
  • Publication alerts by email
  • Transfers
  • Advertising
  • Job board
  • Contact
  • Physician-Scientist Development
  • Current issue
  • Past issues
  • By specialty
    • COVID-19
    • Cardiology
    • Immunology
    • Metabolism
    • Nephrology
    • Oncology
    • Pulmonology
    • All ...
  • Videos
  • Collections
    • In-Press Preview
    • Resource and Technical Advances
    • Clinical Research and Public Health
    • Research Letters
    • Editorials
    • Perspectives
    • Physician-Scientist Development
    • Reviews
    • Top read articles

  • Current issue
  • Past issues
  • Specialties
  • In-Press Preview
  • Resource and Technical Advances
  • Clinical Research and Public Health
  • Research Letters
  • Editorials
  • Perspectives
  • Physician-Scientist Development
  • Reviews
  • Top read articles
  • About
  • Editors
  • Consulting Editors
  • For authors
  • Publication ethics
  • Publication alerts by email
  • Transfers
  • Advertising
  • Job board
  • Contact
Heme oxygenase-1 regulates mitochondrial quality control in the heart
Travis D. Hull, Ravindra Boddu, Lingling Guo, Cornelia C. Tisher, Amie M. Traylor, Bindiya Patel, Reny Joseph, Sumanth D. Prabhu, Hagir B. Suliman, Claude A. Piantadosi, Anupam Agarwal, James F. George
Travis D. Hull, Ravindra Boddu, Lingling Guo, Cornelia C. Tisher, Amie M. Traylor, Bindiya Patel, Reny Joseph, Sumanth D. Prabhu, Hagir B. Suliman, Claude A. Piantadosi, Anupam Agarwal, James F. George
View: Text | PDF
Research Article Cardiology Cell biology

Heme oxygenase-1 regulates mitochondrial quality control in the heart

  • Text
  • PDF
Abstract

The cardioprotective inducible enzyme heme oxygenase-1 (HO-1) degrades prooxidant heme into equimolar quantities of carbon monoxide, biliverdin, and iron. We hypothesized that HO-1 mediates cardiac protection, at least in part, by regulating mitochondrial quality control. We treated WT and HO-1 transgenic mice with the known mitochondrial toxin, doxorubicin (DOX). Relative to WT mice, mice globally overexpressing human HO-1 were protected from DOX-induced dilated cardiomyopathy, cardiac cytoarchitectural derangement, and infiltration of CD11b+ mononuclear phagocytes. Cardiac-specific overexpression of HO-1 ameliorated DOX-mediated dilation of the sarcoplasmic reticulum as well as mitochondrial disorganization in the form of mitochondrial fragmentation and increased numbers of damaged mitochondria in autophagic vacuoles. HO-1 overexpression promotes mitochondrial biogenesis by upregulating protein expression of NRF1, PGC1α, and TFAM, which was inhibited in WT animals treated with DOX. Concomitantly, HO-1 overexpression inhibited the upregulation of the mitochondrial fission mediator Fis1 and resulted in increased expression of the fusion mediators, Mfn1 and Mfn2. It also prevented dynamic changes in the levels of key mediators of the mitophagy pathway, PINK1 and parkin. Therefore, these findings suggest that HO-1 has a novel role in protecting the heart from oxidative injury by regulating mitochondrial quality control.

Authors

Travis D. Hull, Ravindra Boddu, Lingling Guo, Cornelia C. Tisher, Amie M. Traylor, Bindiya Patel, Reny Joseph, Sumanth D. Prabhu, Hagir B. Suliman, Claude A. Piantadosi, Anupam Agarwal, James F. George

×

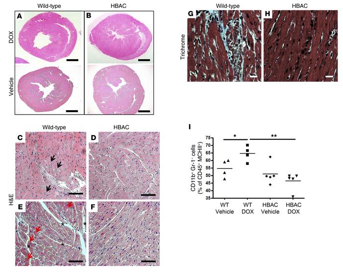
Figure 2

Heme oxygenase-1 overexpression protects cardiomyocytes from doxorubicin-mediated damage.

Options: View larger image (or click on image) Download as PowerPoint
Heme oxygenase-1 overexpression protects cardiomyocytes from doxorubicin...
(A and B) Representative micrographs of midsagittal sections of cardiac left ventricle (LV) from WT and humanized heme oxygenase-1 (HO-1) overexpressing (HBAC) mice 14 days after doxorubicin (DOX) treatment. Cross sections stained with H&E from (A) WT or (B) HBAC mice. Scale bar: 1 mm. (C–F) H&E-stained sections demonstrating that HO-1 overexpression prevents cardiomyocyte vacuolization (black arrows), hypereosinophilia (red arrows), and interstitial edema (asterisks) observed in WT mice. Scale bar: 100 μm. (G and H) Trichrome staining for fibrosis in the LV of WT and HBAC mice. Scale bar: 100 μm. Slides were assessed by a pathologist blinded to the different groups. n = 3–6 per group. (I) Mononuclear phagocyte (CD45+CD11b+Gr-1–MHCII+) infiltration into the LV of WT and HBAC mice treated with DOX or vehicle was quantified by flow cytometry and expressed as a proportion of CD45+ cells. Horizontal bars represent mean values. *P < 0.05, **P < 0.01, ANOVA and the Newman-Keuls post-test were used to determine statistically significant changes; n = 3–5 per group.

Copyright © 2026 American Society for Clinical Investigation
ISSN 2379-3708

Sign up for email alerts