Go to The Journal of Clinical Investigation
  • About
  • Editors
  • Consulting Editors
  • For authors
  • Publication ethics
  • Publication alerts by email
  • Transfers
  • Advertising
  • Job board
  • Contact
  • Physician-Scientist Development
  • Current issue
  • Past issues
  • By specialty
    • COVID-19
    • Cardiology
    • Immunology
    • Metabolism
    • Nephrology
    • Oncology
    • Pulmonology
    • All ...
  • Videos
  • Collections
    • In-Press Preview
    • Resource and Technical Advances
    • Clinical Research and Public Health
    • Research Letters
    • Editorials
    • Perspectives
    • Physician-Scientist Development
    • Reviews
    • Top read articles

  • Current issue
  • Past issues
  • Specialties
  • In-Press Preview
  • Resource and Technical Advances
  • Clinical Research and Public Health
  • Research Letters
  • Editorials
  • Perspectives
  • Physician-Scientist Development
  • Reviews
  • Top read articles
  • About
  • Editors
  • Consulting Editors
  • For authors
  • Publication ethics
  • Publication alerts by email
  • Transfers
  • Advertising
  • Job board
  • Contact
Histone deacetylase inhibitor panobinostat induces calcineurin degradation in multiple myeloma
Yoichi Imai, Eri Ohta, Shu Takeda, Satoko Sunamura, Mariko Ishibashi, Hideto Tamura, Yan-hua Wang, Atsuko Deguchi, Junji Tanaka, Yoshiro Maru, Toshiko Motoji
Yoichi Imai, Eri Ohta, Shu Takeda, Satoko Sunamura, Mariko Ishibashi, Hideto Tamura, Yan-hua Wang, Atsuko Deguchi, Junji Tanaka, Yoshiro Maru, Toshiko Motoji
View: Text | PDF
Research Article Hematology Oncology

Histone deacetylase inhibitor panobinostat induces calcineurin degradation in multiple myeloma

  • Text
  • PDF
Abstract

Multiple myeloma (MM) is a relapsed and refractory disease, one that highlights the need for developing new molecular therapies for overcoming of drug resistance. Addition of panobinostat, a histone deacetylase (HDAC) inhibitor, to bortezomib and dexamethasone improved progression-free survival (PFS) in relapsed and refractory MM patients. Here, we demonstrate how calcineurin, when inhibited by immunosuppressive drugs like FK506, is involved in myeloma cell growth and targeted by panobinostat. mRNA expression of PPP3CA, a catalytic subunit of calcineurin, was high in advanced patients. Panobinostat degraded PPP3CA, a degradation that should have been induced by inhibition of the chaperone function of heat shock protein 90 (HSP90). Cotreatment with HDAC inhibitors and FK506 led to an enhanced antimyeloma effect with a greater PPP3CA reduction compared with HDAC inhibitors alone both in vitro and in vivo. In addition, this combination treatment efficiently blocked osteoclast formation, which results in osteolytic lesions. The poor response and short PFS duration observed in the bortezomib-containing therapies of patients with high PPP3CA suggested its relevance to bortezomib resistance. Moreover, bortezomib and HDAC inhibitors synergistically suppressed MM cell viability through PPP3CA inhibition. Our findings underscore the usefulness of calcineurin-targeted therapy in MM patients, including patients who are resistant to bortezomib.

Authors

Yoichi Imai, Eri Ohta, Shu Takeda, Satoko Sunamura, Mariko Ishibashi, Hideto Tamura, Yan-hua Wang, Atsuko Deguchi, Junji Tanaka, Yoshiro Maru, Toshiko Motoji

×

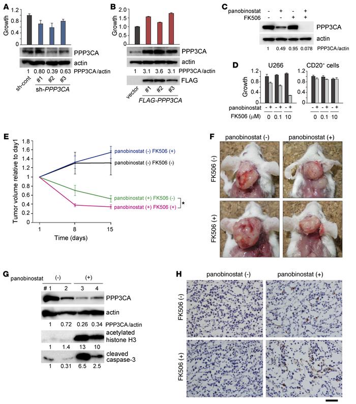
Figure 3

Calcineurin is indispensable for the maintenance of MM cell growth.

Options: View larger image (or click on image) Download as PowerPoint
Calcineurin is indispensable for the maintenance of MM cell growth.
The ...
The degree of protein expression change estimated by quantitative analyses of bands is displayed as indicated. (A) U266 was lentivirally transduced with control vector (sh-cont) or 3 different shRNAs against PPP3CA (KD #1, #2, and #3). Cell growth was determined by MTT assays (n = 5), and PPP3CA expression levels are displayed. Two biologically independent experiments were performed. (B) KMS-11 was lentivirally transduced with control vector or FLAG-PPP3CA (clone #1, #2, and #3). Cell growth (n = 5), and PPP3CA expression are displayed. Four (cell growth) and 2 (PPP3CA expression) biologically independent experiments were performed. (C) U266 was treated with 20 nM panobinostat, 10 µM FK506, or both panobinostat and FK506 as indicated for 36 h. Five biologically independent experiments were performed. (D) MTT assays in U266 and CD20-positive cells treated with 15 nM panobinostat, FK506, or both panobinostat and FK506 as indicated for 36 h (n = 5). Three biologically independent experiments were performed. (E) NOD/SCID (NOD/ShiJic-scid Jcl) mice bearing U266 cells were treated with vehicle (n = 6), panobinostat (n = 9), FK506 (n = 6), or both panobinostat and FK506 (n = 11). Treatment was continued for 15 days. Average of the ratio of the tumor volume on days 8 and 15 to that on day 1 is displayed for each condition. Error bars represent the standard errors. Difference between panobinostat (+)/FK506 (–) and panobinostat (+)/FK506 (+) on day 15 was analyzed using Scheffe test. *, significant. (F) The representative images of tumors of each group. (G) Protein expression in tumors of xenograft of mouse model. #1 and #2: vehicle treated. #3 and #4: panobinostat treated. Two biologically independent experiments were performed. (H) The representative immunohistochemical stainings by anti–cleaved caspase-3 are displayed (×40). The brown cells are positive for staining. Scale bar: 50 microns. Six biologically independent experiments were performed.

Copyright © 2026 American Society for Clinical Investigation
ISSN 2379-3708

Sign up for email alerts