Go to The Journal of Clinical Investigation
  • About
  • Editors
  • Consulting Editors
  • For authors
  • Publication ethics
  • Publication alerts by email
  • Transfers
  • Advertising
  • Job board
  • Contact
  • Physician-Scientist Development
  • Current issue
  • Past issues
  • By specialty
    • COVID-19
    • Cardiology
    • Immunology
    • Metabolism
    • Nephrology
    • Oncology
    • Pulmonology
    • All ...
  • Videos
  • Collections
    • In-Press Preview
    • Resource and Technical Advances
    • Clinical Research and Public Health
    • Research Letters
    • Editorials
    • Perspectives
    • Physician-Scientist Development
    • Reviews
    • Top read articles

  • Current issue
  • Past issues
  • Specialties
  • In-Press Preview
  • Resource and Technical Advances
  • Clinical Research and Public Health
  • Research Letters
  • Editorials
  • Perspectives
  • Physician-Scientist Development
  • Reviews
  • Top read articles
  • About
  • Editors
  • Consulting Editors
  • For authors
  • Publication ethics
  • Publication alerts by email
  • Transfers
  • Advertising
  • Job board
  • Contact
Bmal1 is involved in the regulation of macrophage cholesterol homeostasis
Xiaoyue Pan, John O’Hare, Cyrus Mowdawalla, Samantha Mota, Nan Wang, M. Mahmood Hussain
Xiaoyue Pan, John O’Hare, Cyrus Mowdawalla, Samantha Mota, Nan Wang, M. Mahmood Hussain
View: Text | PDF
Research Article Metabolism Vascular biology

Bmal1 is involved in the regulation of macrophage cholesterol homeostasis

  • Text
  • PDF
Abstract

Atherosclerotic cardiovascular disease is a major contributor to the global disease burden. Atherosclerosis initiation depends on cholesterol accumulation in subendothelial macrophages (Mφs). To clarify the role of Bmal1 in Mφ function and atherosclerosis, we used several global and myeloid-specific Bmal1-deficient mouse models. Myeloid-specific Bmal1-deficient mice had higher Mφ cholesterol and displayed greater atherosclerosis compared with controls. Bmal1-deficient Mφs exhibited: (a) elevated expression of Cd36 and uptake of oxLDL; (b) diminished expression of Abca1 and Abcg1, and decreased cholesterol efflux and reverse cholesterol transport; and (c) reduced Npc1 and Npc2 expression and diminished cholesterol egress from lysosomes. Molecular studies revealed that Bmal1 directly regulates basal and cyclic expression of Npc1 and Npc2 by binding the E-box motif (CANNTG) sequence recognized by Bmal1 in their promoters and indirectly regulates the basal and temporal regulation of Cd36 and Abca1/Abcg1 involving Rev-erbα and Znf202 repressors, respectively. In conclusion, Mφ Bmal1 is a key regulator of the uptake of modified lipoproteins, cholesterol efflux, lysosomal cholesterol egress, and atherosclerosis and, therefore, may be a master regulator of cholesterol metabolism in Mφs. Restoration of Mφ Bmal1 expression or blocking of factors that decrease its activity may be effective in preventing atherosclerosis.

Authors

Xiaoyue Pan, John O’Hare, Cyrus Mowdawalla, Samantha Mota, Nan Wang, M. Mahmood Hussain

×

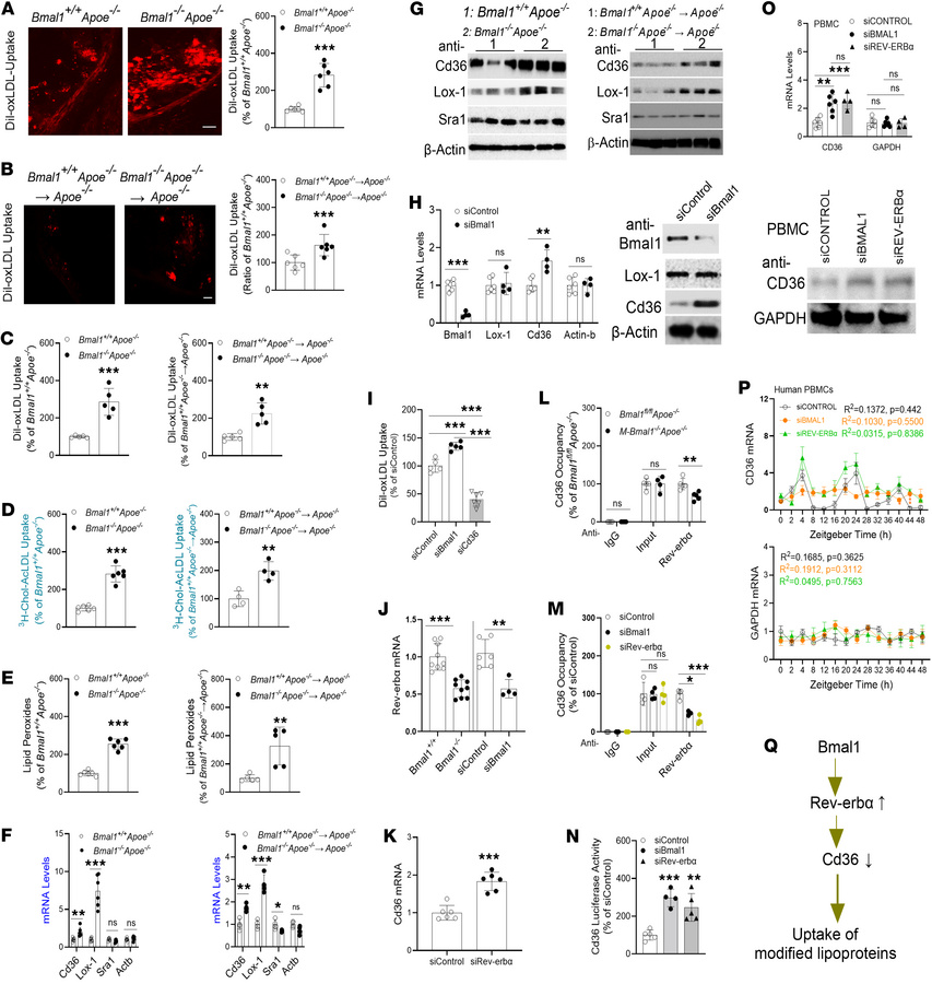
Figure 2

Mφ Bmal1 deficiency increases cellular cholesterol content, oxLDL uptake and Cd36 expression.

Options: View larger image (or click on image) Download as PowerPoint
Mφ Bmal1 deficiency increases cellular cholesterol content, oxLDL uptake...
(A and B) Mice were injected with Dil-oxLDL (30 μg protein/50 μL) at ZT 12. After 18 hours, cardiac/aortic sections were photographed and quantified. Scale: 200 μm. (C and D) BMDMs were incubated with Dil-oxLDL for 4 hours (C), or with 5 μCi/mL [3H]-cholesterol-acLDL (D) to measure uptake. (E) TBARS in BMDMs were measured. (F and G) BMDMs were used to measure mRNA and protein levels. (H) WT BMDMs were transfected with siControl or siBmal1. After 48 hours, RNA and protein levels were measured. (I) BMDMs were treated with different siRNA for 48 hours and incubated with Dil-oxLDL for 4 hours. (J) Rev-erbα mRNA levels were significantly lower in Bmal1–/– BMDMs than control mice (left, n = 9). KD of Bmal1 in BMDMs decreased Rev-erbα expression. (K) KD of Rev-erbα increased Cd36 expression. (L) Mφs were subjected to ChIP to determine the binding of Rev-erbα to the Cd36 promoter. (M) BMDMs were treated with different siRNA. After 48 hours, they were used to study the binding of Rev-erbα to the Cd36 promoter. (N) KD of clock genes increased Cd36 promoter activity. (O) Human differentiated PBMCs (2.0 × 106) were transfected with different siRNAs for 48 hours to measure mRNA (top) and protein (bot¬tom) levels. (P) BMAL1 or REV-ERBα KD abolished the cyclic expression of CD36 in Mφs, n = 3. (Q) Under normal conditions, Bmal1 increases expression of Rev-erbα, which acts as a repressor of CD36 and limits the uptake of modified lipoproteins. All values are mean ± SD, n = 4–6, *P < 0.05, **P < 0.01 and ***P < 0.001, 2-tailed, unpaired t test (A, E, and K), multiple t tests, followed by Holm-Šídák method correction (F, H, L, and J), or 1-way ANOVA with Tukey’s test (I, M, N, and Q) or Cosinor (P).

Copyright © 2026 American Society for Clinical Investigation
ISSN 2379-3708

Sign up for email alerts