Go to The Journal of Clinical Investigation
  • About
  • Editors
  • Consulting Editors
  • For authors
  • Publication ethics
  • Publication alerts by email
  • Transfers
  • Advertising
  • Job board
  • Contact
  • Physician-Scientist Development
  • Current issue
  • Past issues
  • By specialty
    • COVID-19
    • Cardiology
    • Immunology
    • Metabolism
    • Nephrology
    • Oncology
    • Pulmonology
    • All ...
  • Videos
  • Collections
    • In-Press Preview
    • Resource and Technical Advances
    • Clinical Research and Public Health
    • Research Letters
    • Editorials
    • Perspectives
    • Physician-Scientist Development
    • Reviews
    • Top read articles

  • Current issue
  • Past issues
  • Specialties
  • In-Press Preview
  • Resource and Technical Advances
  • Clinical Research and Public Health
  • Research Letters
  • Editorials
  • Perspectives
  • Physician-Scientist Development
  • Reviews
  • Top read articles
  • About
  • Editors
  • Consulting Editors
  • For authors
  • Publication ethics
  • Publication alerts by email
  • Transfers
  • Advertising
  • Job board
  • Contact
RasGRP4 aggravates ischemia-reperfusion injury in diabetic kidneys by mediating communication between macrophages and T cells
Li Zhang, Zhanglong Wang, Yunqi Wu, Binshan Zhang, Zhongli Wang, Sisi Chen, Xuying Meng, Pei Yu, Saijun Zhou
Li Zhang, Zhanglong Wang, Yunqi Wu, Binshan Zhang, Zhongli Wang, Sisi Chen, Xuying Meng, Pei Yu, Saijun Zhou
View: Text | PDF
Research Article Endocrinology Nephrology

RasGRP4 aggravates ischemia-reperfusion injury in diabetic kidneys by mediating communication between macrophages and T cells

  • Text
  • PDF
Abstract

Diabetes mellitus (DM) is acknowledged as an independent risk factor for acute kidney injury. Ras guanine nucleotide-releasing protein-4 (RasGRP4) exerts a notable role in modulating immune-inflammatory responses and kidney disease progression in diabetes. Herein, we delved into the specific role and mechanism of RasGRP4 in diabetic renal ischemia-reperfusion injury. Diabetes was induced by a high-fat diet and streptozocin (STZ) injections, followed by creating an ischemia-reperfusion kidney injury via renal pedicle clamping and reperfusion. In vitro, a high glucose and hypoxia-reoxygenation modeled cellular inflammatory injury. We found RasGRP4-KO mice, compared with C57BL/6J (WT) mice, showed markedly less renal dysfunction and fibrosis in diabetic ischemia-reperfusion injury. There was a significant decrease in the renal infiltration of M1 macrophages and Th17 cells, along with downregulated IL-17 pathway proteins and effectors. In vitro, RasGRP4 deletion restrained M1 macrophage polarization and Th17 cell differentiation, inhibiting the IL-17 signaling pathway in HK-2 cells. Hyperglycemia intensified renal inflammation state. Together, RasGRP4, through the regulation of interactions among M1 macrophages, CD4+ T cells, and HK-2 cells, formed a cascade that intensified the inflammatory storm activity, ultimately exacerbating the inflammatory injury of diabetic ischemia-reperfusion kidneys. DM intensified this inflammatory injury mechanism, worsening the injury from renal ischemia-reperfusion.

Authors

Li Zhang, Zhanglong Wang, Yunqi Wu, Binshan Zhang, Zhongli Wang, Sisi Chen, Xuying Meng, Pei Yu, Saijun Zhou

×

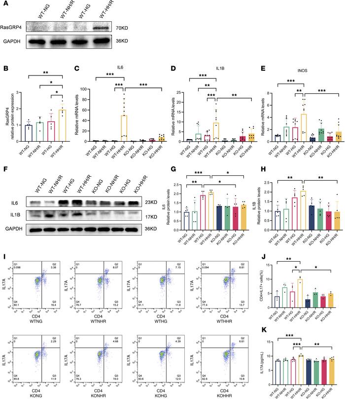
Figure 8

RasGRP4 was upregulated in high glucose–cultured macrophages treated with H/R and affected the differentiation of Th17 cells mediated by M1 macrophages.

Options: View larger image (or click on image) Download as PowerPoint

RasGRP4 was upregulated in high glucose–cultured macrophages treated wi...
(A and B) Western blot to detect the protein expression level of RasGRP4 in peritoneal macrophages (n = 5/group). (C–E) qPCR to detect the mRNA expression levels of IL6, IL1B, and INOS in peritoneal macrophages (n = 3/group). (F–H) Western blot to detect the protein expression levels of IL-6 and IL-1B in peritoneal macrophages (n = 5/group). (I and J) Flow cytometric analysis of the influence on the differentiation ratio of CD4+IL17+(Th17) cells by peritoneal macrophages (n = 3/group). (K) ELISA to detect the content of IL-17A in the supernatant of the coculture system of macrophages and CD4+ T cells (n = 3/group). *P < 0.05, **P < 0.01, ***P < 0.001. P values were calculated using 1-way ANOVA test

Copyright © 2026 American Society for Clinical Investigation
ISSN 2379-3708

Sign up for email alerts