Go to The Journal of Clinical Investigation
  • About
  • Editors
  • Consulting Editors
  • For authors
  • Publication ethics
  • Publication alerts by email
  • Transfers
  • Advertising
  • Job board
  • Contact
  • Physician-Scientist Development
  • Current issue
  • Past issues
  • By specialty
    • COVID-19
    • Cardiology
    • Immunology
    • Metabolism
    • Nephrology
    • Oncology
    • Pulmonology
    • All ...
  • Videos
  • Collections
    • In-Press Preview
    • Resource and Technical Advances
    • Clinical Research and Public Health
    • Research Letters
    • Editorials
    • Perspectives
    • Physician-Scientist Development
    • Reviews
    • Top read articles

  • Current issue
  • Past issues
  • Specialties
  • In-Press Preview
  • Resource and Technical Advances
  • Clinical Research and Public Health
  • Research Letters
  • Editorials
  • Perspectives
  • Physician-Scientist Development
  • Reviews
  • Top read articles
  • About
  • Editors
  • Consulting Editors
  • For authors
  • Publication ethics
  • Publication alerts by email
  • Transfers
  • Advertising
  • Job board
  • Contact
Metabolic shifts in tryptophan pathways during acute pancreatitis infections
Daosheng Wang, Silei Sun, Qianli Zhao, Bing Zhao, Li Ma, Tongxuan Su, Lili Xu, Menglu Gui, Dan Xu, Wei Chen, Yu Zeng, Yining Shen, Yiyue Liu, Cen Jiang, Qi Ni, Yingchao Cui, Yide Lu, Qiuya Lu, Danfeng Dong, Yibing Peng, Enqiang Mao
Daosheng Wang, Silei Sun, Qianli Zhao, Bing Zhao, Li Ma, Tongxuan Su, Lili Xu, Menglu Gui, Dan Xu, Wei Chen, Yu Zeng, Yining Shen, Yiyue Liu, Cen Jiang, Qi Ni, Yingchao Cui, Yide Lu, Qiuya Lu, Danfeng Dong, Yibing Peng, Enqiang Mao
View: Text | PDF
Research Article Gastroenterology

Metabolic shifts in tryptophan pathways during acute pancreatitis infections

  • Text
  • PDF
Abstract

Infectious complications (ICs) in acute pancreatitis (AP) are primarily driven by intestinal bacterial translocation, significantly increasing mortality and hospital stays. Despite this, the role of the gut microenvironment, particularly its metabolic aspects, in AP remains poorly understood. In this study, we investigated a cohort of patients with AP, and conducted supplemental murine studies, to explore the relationship between the gut metabolome and the development of ICs. Metabolomic analysis revealed that disruptions in gut tryptophan metabolism — especially reductions in serotonin and indole pathways — are key features associated with IC occurrence. Additionally, elevated plasma levels of tryptophan metabolites within the kynurenine pathway were identified as valuable predictive biomarkers for ICs. Mechanistic studies in murine models demonstrated that an impaired intestinal Th17 response, modulated by these tryptophan metabolites, plays a critical role in IC development. Serotonin supplementation enhanced Th17 responses, reducing IC incidence, while administration of kynurenic acid, a kynurenine metabolite, exacerbated pancreatic infections, potentially through immunosuppressive effects. These findings highlight the pivotal role of tryptophan metabolites in AP pathogenesis, emphasizing their potential as both predictive markers and therapeutic targets in IC management.

Authors

Daosheng Wang, Silei Sun, Qianli Zhao, Bing Zhao, Li Ma, Tongxuan Su, Lili Xu, Menglu Gui, Dan Xu, Wei Chen, Yu Zeng, Yining Shen, Yiyue Liu, Cen Jiang, Qi Ni, Yingchao Cui, Yide Lu, Qiuya Lu, Danfeng Dong, Yibing Peng, Enqiang Mao

×

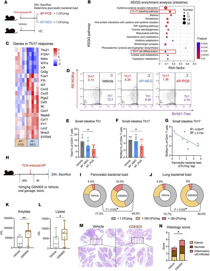
Figure 4

Impaired intestinal Th17 cell responses facilitate infections in AP mice.

Options: View larger image (or click on image) Download as PowerPoint
Impaired intestinal Th17 cell responses facilitate infections in AP mice...
(A) Schematic diagram of comparison groups. Pancreatic bacterial loads >1 CFU/mg were classified as AP-POS and <1 CFU/mg as AP-NEG, and vehicle group mice were classified as HCs. (B) KEGG enrichment analysis of intestinal gene sets associated with AP infection. Pathways associated with Th17 response are highlighted in red box. (C) Heatmap showing the differential expression levels of genes associated with the intestinal Th17 response in the AP-POS and AP-NEG groups. (D–F) Flow cytometry assessment of Th1 (T-bet+RORγt–) and Th17 (T-bet–RORγt+) populations among CD4+ T cells in the small intestinal lamina propria of the vehicle (n = 5), AP-NEG (n = 6), and AP-POS (n = 7) groups. BV, brilliant violet; PE, phycoerythrin; ROR, retinoic acid–related orphan receptor. (G) Correlation between the proportion of Th17 cells in the small intestine and the pancreatic bacterial load among AP group mice. (H) Schematic diagram illustrating 2 administrations of GSK805 (10 mg/kg) by oral gavage: once 20 hours before AP induction and again 4 hours after induction. (I and J) Comparison of bacterial loads in the pancreas (I) and lungs (J) between GSK805-administered AP mice (n = 20) and controls (n = 22). (K and L) Comparison of plasma amylase (K) and lipase (L) levels between GSK805-treated and vehicle-treated mice (n = 11 per group). (M and N) Pancreatic histology in vehicle- and GSK805-treated groups (n = 6 each). (M) H&E staining at 5× and 20× original magnifications. (N) Pathological scoring of the groups. Error bars represent the mean ± SD. Box plots depict the median and quartiles of each group. Statistical analyses: 1-way ANOVA with Tukey’s test (E and F), Student’s t test (N), Fisher’s test (B, H, and I), Mann-Whitney test (J and K), or Spearman’s correlation test (G); *P < 0.05, **P < 0.01. See also Supplemental Figures 6 and 7.

Copyright © 2026 American Society for Clinical Investigation
ISSN 2379-3708

Sign up for email alerts