Go to The Journal of Clinical Investigation
  • About
  • Editors
  • Consulting Editors
  • For authors
  • Publication ethics
  • Publication alerts by email
  • Transfers
  • Advertising
  • Job board
  • Contact
  • Physician-Scientist Development
  • Current issue
  • Past issues
  • By specialty
    • COVID-19
    • Cardiology
    • Immunology
    • Metabolism
    • Nephrology
    • Oncology
    • Pulmonology
    • All ...
  • Videos
  • Collections
    • In-Press Preview
    • Resource and Technical Advances
    • Clinical Research and Public Health
    • Research Letters
    • Editorials
    • Perspectives
    • Physician-Scientist Development
    • Reviews
    • Top read articles

  • Current issue
  • Past issues
  • Specialties
  • In-Press Preview
  • Resource and Technical Advances
  • Clinical Research and Public Health
  • Research Letters
  • Editorials
  • Perspectives
  • Physician-Scientist Development
  • Reviews
  • Top read articles
  • About
  • Editors
  • Consulting Editors
  • For authors
  • Publication ethics
  • Publication alerts by email
  • Transfers
  • Advertising
  • Job board
  • Contact
APOBEC3A drives ovarian cancer metastasis by altering epithelial-mesenchymal transition
Jessica M. Devenport, Thi Tran, Brooke R. Harris, Dylan Fingerman, Rachel A. DeWeerd, Lojain H. Elkhidir, Danielle LaVigne, Katherine Fuh, Lulu Sun, Jeffrey J. Bednarski, Ronny Drapkin, Mary M. Mullen, Abby M. Green
Jessica M. Devenport, Thi Tran, Brooke R. Harris, Dylan Fingerman, Rachel A. DeWeerd, Lojain H. Elkhidir, Danielle LaVigne, Katherine Fuh, Lulu Sun, Jeffrey J. Bednarski, Ronny Drapkin, Mary M. Mullen, Abby M. Green
View: Text | PDF
Research Article Cell biology Oncology

APOBEC3A drives ovarian cancer metastasis by altering epithelial-mesenchymal transition

  • Text
  • PDF
Abstract

High-grade serous ovarian cancer (HGSOC) is the most prevalent and aggressive histological subtype of ovarian cancer and often presents with metastatic disease. The drivers of metastasis in HGSOC remain enigmatic. APOBEC3A (A3A), an enzyme that generates mutations across various cancers, has been proposed as a mediator of tumor heterogeneity and disease progression. However, the role of A3A in HGSOC has not been explored. We observed an association between high levels of APOBEC3-mediated mutagenesis and poor overall survival in primary HGSOC. We experimentally addressed this correlation by modeling A3A expression in HGSOC, and this resulted in increased metastatic behavior of HGSOC cells in culture and distant metastatic spread in vivo, which was dependent on catalytic activity of A3A. A3A activity in both primary and cultured HGSOC cells yielded consistent alterations in expression of epithelial-mesenchymal transition (EMT) genes resulting in hybrid EMT and mesenchymal signatures, providing a mechanism for their increased metastatic potential. Inhibition of key EMT factors TWIST1 and IL-6 resulted in mitigation of A3A-dependent metastatic phenotypes. Our findings define the prevalence of A3A mutagenesis in HGSOC and implicate A3A as a driver of HGSOC metastasis via EMT, underscoring its clinical relevance as a potential prognostic biomarker. Our study lays the groundwork for the development of targeted therapies aimed at mitigating the deleterious effect of A3A-driven EMT in HGSOC.

Authors

Jessica M. Devenport, Thi Tran, Brooke R. Harris, Dylan Fingerman, Rachel A. DeWeerd, Lojain H. Elkhidir, Danielle LaVigne, Katherine Fuh, Lulu Sun, Jeffrey J. Bednarski, Ronny Drapkin, Mary M. Mullen, Abby M. Green

×

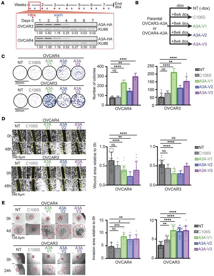
Figure 2

Episodic A3A expression promotes HGSOC cell survival, migration, and invasion.

Options: View larger image (or click on image) Download as PowerPoint
Episodic A3A expression promotes HGSOC cell survival, migration, and inv...
(A) OVCAR3 and OVCAR4 cells engineered to stably express a dox-inducible A3A transgene were treated with dox on day 0 and washed out on day 3. Treatment schema was repeated for 8 weeks. Immunoblot of HA-tagged A3A from cell lysates harvested on sequential days throughout 1 week following dox treatment. Ku86 and H3 are loading controls. Bands are quantified relative to loading control and normalized to day 1 lane. (B) Three biological replicates of A3A cell lines (A3A V1–V3) and a cell line induced to express a catalytic mutant of A3A (C106S) were independently derived from the parental cell lines (NT). NT cells were cultured in parallel for 8 weeks. (C) Cell survival under stress was assessed using colony formation assays. Cells were seeded at ultra-low cell densities and resulting colonies were then stained, imaged, and quantified. (D) Wound healing assays were performed to assess the migratory phenotype of OVCAR3 and OVCAR4 NT, A3A V1–V3, and C106S cells. The wound was imaged using a 4× objective at 0 hours and 48 hours. Wound area at 48 hours relative to 0 hours is shown in bar graph. (E) Spheroids of each cell line were generated and placed onto a Matrigel-containing pseudo–basement membrane. Spheroids were imaged with a 10× objective at 0 hours, 24 hours, and 4 days. Area of the spheroid at 24 hours or 4 days relative to 0 hours is shown. Invasion area is outlined in red. For data in C–E, representative images are shown and quantification is depicted in bar graphs below. Significance was determined by 1-way ANOVA with Dunnett’s correction for multiple comparison, ****P ≤ 0.0001, ***P ≤ 0.001, **P ≤ 0.01, *P ≤ 0.05. Data are shown as mean ± SD for n ≥ 3 replicate experiments. Representative images are shown.

Copyright © 2026 American Society for Clinical Investigation
ISSN 2379-3708

Sign up for email alerts