Go to The Journal of Clinical Investigation
  • About
  • Editors
  • Consulting Editors
  • For authors
  • Publication ethics
  • Publication alerts by email
  • Transfers
  • Advertising
  • Job board
  • Contact
  • Physician-Scientist Development
  • Current issue
  • Past issues
  • By specialty
    • COVID-19
    • Cardiology
    • Immunology
    • Metabolism
    • Nephrology
    • Oncology
    • Pulmonology
    • All ...
  • Videos
  • Collections
    • In-Press Preview
    • Resource and Technical Advances
    • Clinical Research and Public Health
    • Research Letters
    • Editorials
    • Perspectives
    • Physician-Scientist Development
    • Reviews
    • Top read articles

  • Current issue
  • Past issues
  • Specialties
  • In-Press Preview
  • Resource and Technical Advances
  • Clinical Research and Public Health
  • Research Letters
  • Editorials
  • Perspectives
  • Physician-Scientist Development
  • Reviews
  • Top read articles
  • About
  • Editors
  • Consulting Editors
  • For authors
  • Publication ethics
  • Publication alerts by email
  • Transfers
  • Advertising
  • Job board
  • Contact
PI3Kγ promotes neutrophil extracellular trap formation by noncanonical pyroptosis in abdominal aortic aneurysm
Yacheng Xiong, Shuai Liu, Yu Liu, Jiani Zhao, Jinjian Sun, Yongqing Li, Baihong Pan, Wei Wang
Yacheng Xiong, Shuai Liu, Yu Liu, Jiani Zhao, Jinjian Sun, Yongqing Li, Baihong Pan, Wei Wang
View: Text | PDF
Research Article Vascular biology

PI3Kγ promotes neutrophil extracellular trap formation by noncanonical pyroptosis in abdominal aortic aneurysm

  • Text
  • PDF
Abstract

Abdominal aortic aneurysm (AAA) is one of the most life-threatening cardiovascular diseases; however, effective drug treatments are still lacking. The formation of neutrophil extracellular traps (NETs) has been shown to be a crucial trigger of AAA, and identifying upstream regulatory targets is thus key to discovering therapeutic agents for AAA. We revealed that phosphoinositide-3-kinase γ (PI3Kγ) acted as an upstream regulatory molecule and that PI3Kγ inhibition reduced NET formation and aortic wall inflammation, thereby markedly ameliorating AAA. However, the mechanism of NET formation regulated by PI3Kγ remains unclear. In this study, we showed that PI3Kγ deficiency inactivated the noncanonical pyroptosis pathway, which suppressed downstream NET formation. In addition, PI3Kγ regulation of noncanonical pyroptosis was dependent on cyclic AMP/protein kinase A signaling. These results clarify the molecular mechanism and crosstalk between PI3Kγ and NETosis in the development of AAA, potentially facilitating the discovery of therapeutic options for AAA.

Authors

Yacheng Xiong, Shuai Liu, Yu Liu, Jiani Zhao, Jinjian Sun, Yongqing Li, Baihong Pan, Wei Wang

×

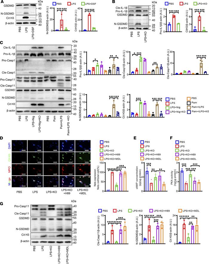
Figure 6

PI3Kγ promotes NETs’ formation via noncanonical pyroptosis pathways in vitro.

Options: View larger image (or click on image) Download as PowerPoint
PI3Kγ promotes NETs’ formation via noncanonical pyroptosis pathways in v...
(A) Representative Western blot (A) and quantitative comparison of Cit H3 and GSDMD in WT neutrophils with different treatments: PBS, LPS (5 μg/mL), and LPS + DSF (30 μM). n = 3. (B) Representative Western blot and quantitative comparison of IL-1β and GSDMD in neutrophils with different treatments: PBS, LPS (5 μg/mL), LPS + KO (PI3Kγ–/–). n = 3. (C) Representative Western blot and quantitative comparison of Cit H3, IL-1β, GSDMD, caspase-11, and caspase-1 in the neutrophils with different treatments: PBS, LPS (100 ng/mL), LPS + nigericin (10 μM), LPS + nigericin + KO, PBS, Pam3CSK4 (1 μg/mL), Pam3CSK4 + transfer LPS (tLPS, 10 μg/mL), Pam3CSK4 + tLPS + KO. n = 3. (D) Representative immunofluorescence staining and quantitative comparison of NETs produced by neutrophils with different treatments: PBS, LPS (5 μg/mL), LPS + KO, LPS + H89 (20 μM) + KO, LPS + MDL12330A (10 μM) + KO. NETs were detected using immunofluorescence staining. NETs’ expression was calculated by NET-expressing cell numbers/total cell numbers per high-power field (original magnification, 40×). n = 6. Scale bars, 50 μm. (E) Comparison of cAMP concentration of neutrophils with different treatments as described in D by ELISA. n = 4. (F) Comparison of PKA kinase activity of neutrophils with different treatments as described in D by kinase activity assay. n = 4. (G) Representative Western blot and quantitative comparison of Cit H3, GSDMD, and caspase-11 in the neutrophils with different treatments as described in D. n = 3. (A–G) One-way ANOVA followed by Fisher’s least significant difference post hoc test. *P < 0.05, **P < 0.01, and ***P < 0.001. GSDMD, gasdermin D; pro-, prosoma; cle-, cleaved; Casp1, caspase-1; Casp11, caspase-11; LPS, lipopolysaccharide; DSF, disulfiram; Nig, nigericin; Pam, Pam3CSK4; KO, phosphoinositide-3-kinase γ knockout; MDL, MDL12330A.

Copyright © 2026 American Society for Clinical Investigation
ISSN 2379-3708

Sign up for email alerts