Go to The Journal of Clinical Investigation
  • About
  • Editors
  • Consulting Editors
  • For authors
  • Publication ethics
  • Publication alerts by email
  • Transfers
  • Advertising
  • Job board
  • Contact
  • Physician-Scientist Development
  • Current issue
  • Past issues
  • By specialty
    • COVID-19
    • Cardiology
    • Immunology
    • Metabolism
    • Nephrology
    • Oncology
    • Pulmonology
    • All ...
  • Videos
  • Collections
    • In-Press Preview
    • Resource and Technical Advances
    • Clinical Research and Public Health
    • Research Letters
    • Editorials
    • Perspectives
    • Physician-Scientist Development
    • Reviews
    • Top read articles

  • Current issue
  • Past issues
  • Specialties
  • In-Press Preview
  • Resource and Technical Advances
  • Clinical Research and Public Health
  • Research Letters
  • Editorials
  • Perspectives
  • Physician-Scientist Development
  • Reviews
  • Top read articles
  • About
  • Editors
  • Consulting Editors
  • For authors
  • Publication ethics
  • Publication alerts by email
  • Transfers
  • Advertising
  • Job board
  • Contact
PI3Kγ promotes neutrophil extracellular trap formation by noncanonical pyroptosis in abdominal aortic aneurysm
Yacheng Xiong, Shuai Liu, Yu Liu, Jiani Zhao, Jinjian Sun, Yongqing Li, Baihong Pan, Wei Wang
Yacheng Xiong, Shuai Liu, Yu Liu, Jiani Zhao, Jinjian Sun, Yongqing Li, Baihong Pan, Wei Wang
View: Text | PDF
Research Article Vascular biology

PI3Kγ promotes neutrophil extracellular trap formation by noncanonical pyroptosis in abdominal aortic aneurysm

  • Text
  • PDF
Abstract

Abdominal aortic aneurysm (AAA) is one of the most life-threatening cardiovascular diseases; however, effective drug treatments are still lacking. The formation of neutrophil extracellular traps (NETs) has been shown to be a crucial trigger of AAA, and identifying upstream regulatory targets is thus key to discovering therapeutic agents for AAA. We revealed that phosphoinositide-3-kinase γ (PI3Kγ) acted as an upstream regulatory molecule and that PI3Kγ inhibition reduced NET formation and aortic wall inflammation, thereby markedly ameliorating AAA. However, the mechanism of NET formation regulated by PI3Kγ remains unclear. In this study, we showed that PI3Kγ deficiency inactivated the noncanonical pyroptosis pathway, which suppressed downstream NET formation. In addition, PI3Kγ regulation of noncanonical pyroptosis was dependent on cyclic AMP/protein kinase A signaling. These results clarify the molecular mechanism and crosstalk between PI3Kγ and NETosis in the development of AAA, potentially facilitating the discovery of therapeutic options for AAA.

Authors

Yacheng Xiong, Shuai Liu, Yu Liu, Jiani Zhao, Jinjian Sun, Yongqing Li, Baihong Pan, Wei Wang

×

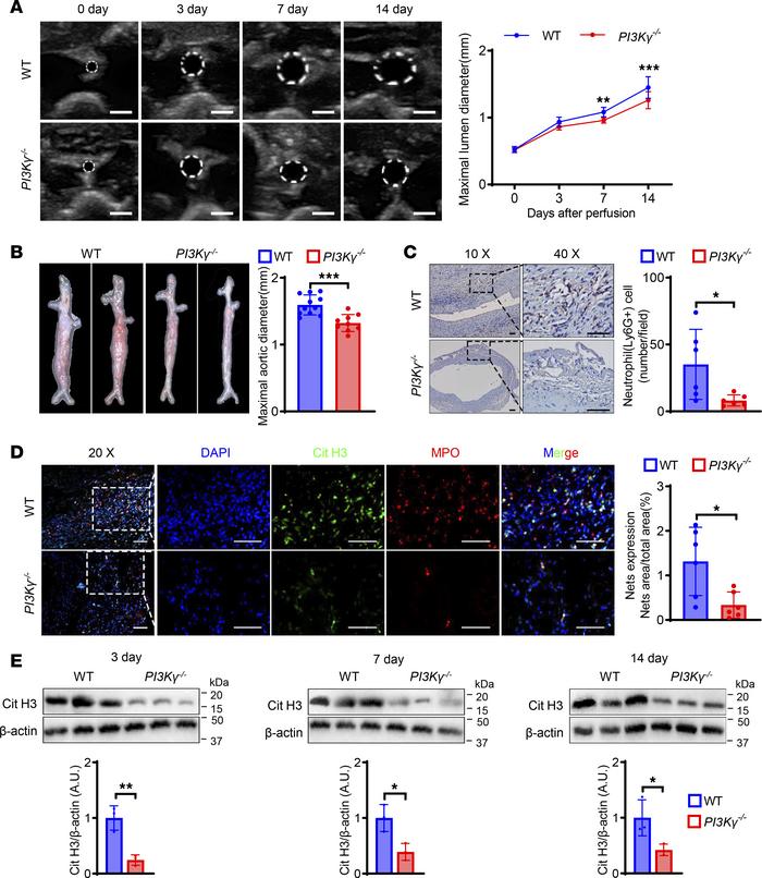
Figure 3

PI3Kγ knockout reduces neutrophil infiltration and NET formation and improves AAA.

Options: View larger image (or click on image) Download as PowerPoint
PI3Kγ knockout reduces neutrophil infiltration and NET formation and imp...
(A) Representative ultrasound images and quantitative comparison of maximal lumen diameter in mouse abdominal aorta at different time points after PPE-induced AAA. n = 13. Scale bar: 1 mm. (B) Representative macroscopic images and quantitative comparison of maximal aortic diameter in mouse abdominal aorta at 14 days after PPE-induced AAA. n = 11 in WT group and n = 9 in PI3Kγ–/– group. (C) Representative immunohistochemistry staining images and quantitative comparison of neutrophil infiltration in mouse abdominal aorta after PPE-induced AAA. Neutrophil infiltration was assessed by Ly6G+ neutrophil numbers per high-power field (original magnification, 40×). n = 6. Scale bars, 50 μm. (D) Representative immunofluorescence staining images and quantitative comparison of NETs in mouse abdominal aorta after PPE-induced AAA. NETs’ expression was calculated by NET area/total area (%) according to the fluorescence colocalization of DNA (DAPI, blue), citrullinated histone 3 (Cit H3, green), and myeloperoxidase (MPO, red). n = 6. Scale bars, 50 μm. (E) Representative Western blot image and quantitative analysis of Cit H3 protein expression in mouse AAA tissue at different time points after PPE surgery. n = 3. (A) Two-way ANOVA followed by Bonferroni’s test. (B–E) Two-tailed unpaired Student’s t test. *P < 0.05, **P < 0.01, and ***P < 0.001. PI3Kγ–/–, phosphoinositide-3-kinase γ knockout.

Copyright © 2026 American Society for Clinical Investigation
ISSN 2379-3708

Sign up for email alerts