Go to The Journal of Clinical Investigation
  • About
  • Editors
  • Consulting Editors
  • For authors
  • Publication ethics
  • Publication alerts by email
  • Transfers
  • Advertising
  • Job board
  • Contact
  • Physician-Scientist Development
  • Current issue
  • Past issues
  • By specialty
    • COVID-19
    • Cardiology
    • Immunology
    • Metabolism
    • Nephrology
    • Oncology
    • Pulmonology
    • All ...
  • Videos
  • Collections
    • In-Press Preview
    • Resource and Technical Advances
    • Clinical Research and Public Health
    • Research Letters
    • Editorials
    • Perspectives
    • Physician-Scientist Development
    • Reviews
    • Top read articles

  • Current issue
  • Past issues
  • Specialties
  • In-Press Preview
  • Resource and Technical Advances
  • Clinical Research and Public Health
  • Research Letters
  • Editorials
  • Perspectives
  • Physician-Scientist Development
  • Reviews
  • Top read articles
  • About
  • Editors
  • Consulting Editors
  • For authors
  • Publication ethics
  • Publication alerts by email
  • Transfers
  • Advertising
  • Job board
  • Contact
All-trans retinoic acid inhibits glioblastoma progression and attenuates radiation-induced brain injury
Min Fu, Yiling Zhang, Bi Peng, Na Luo, Yuanyuan Zhang, Wenjun Zhu, Feng Yang, Ziqi Chen, Qiang Zhang, Qianxia Li, Xin Chen, Yuanhui Liu, Guoxian Long, Guangyuan Hu, Xiaohong Peng
Min Fu, Yiling Zhang, Bi Peng, Na Luo, Yuanyuan Zhang, Wenjun Zhu, Feng Yang, Ziqi Chen, Qiang Zhang, Qianxia Li, Xin Chen, Yuanhui Liu, Guoxian Long, Guangyuan Hu, Xiaohong Peng
View: Text | PDF
Research Article Aging

All-trans retinoic acid inhibits glioblastoma progression and attenuates radiation-induced brain injury

  • Text
  • PDF
Abstract

Radiotherapy (RT) remains a primary treatment modality for glioblastoma (GBM), but it induces cellular senescence and is strongly implicated in GBM progression and RT-related injury. Recently, eliminating senescent cells has emerged as a promising strategy for treating cancer and for mitigating radiation-induced brain injury (RBI). Here, we investigated the impact of all-trans retinoic acid (RA) on radiation-induced senescence. The findings of this study revealed that RA effectively eliminated astrocytes, which are particularly prone to senescence after radiation, and that the removal of senescence-associated secretory phenotype factor–producing astrocytes inhibited GBM cell proliferation in vitro. Moreover, RA-mediated clearance of senescent cells improved survival in GBM-bearing mice and alleviated radiation-induced cognitive impairment. Through RNA sequencing, we found that the AKT/mTOR/PPARγ/Plin4 signaling pathway is involved in RA-mediated clearance of senescent cells. In summary, these results suggest that RA could be a potential senolytic drug for preventing GBM progression and improving RBI.

Authors

Min Fu, Yiling Zhang, Bi Peng, Na Luo, Yuanyuan Zhang, Wenjun Zhu, Feng Yang, Ziqi Chen, Qiang Zhang, Qianxia Li, Xin Chen, Yuanhui Liu, Guoxian Long, Guangyuan Hu, Xiaohong Peng

×

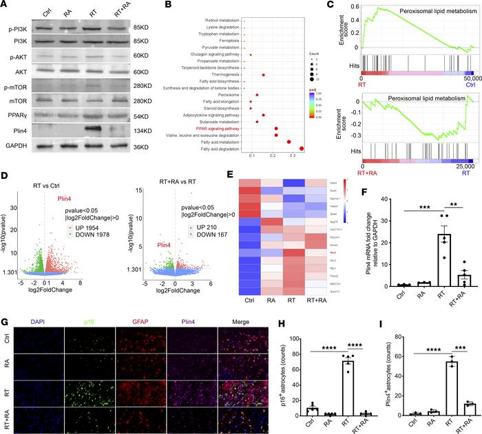
Figure 5

The AKT/mTOR/PPARγ/Plin4 signaling pathway is implicated in the RA-induced elimination of senescent cells.

Options: View larger image (or click on image) Download as PowerPoint
The AKT/mTOR/PPARγ/Plin4 signaling pathway is implicated in the RA-induc...
(A) Western blotting of PI3K/AKT/mTOR/PPARγ/Plin4 pathway activation. Ctrl, control. (B) KEGG pathway analysis of differentially expressed genes. (C) Enrichment plots from GSEA. GSEA results suggest that the peroxisomal lipid metabolism response pathways are upregulated after radiation. (D) The significantly upregulated and downregulated genes identified in the transcriptome analysis of the brain tissues from the control group, the irradiated group, and the RA intervention group. (E) Heatmap of differential expression of lipid-related genes in mouse brain tissues. (F) qRT-PCR analysis of Plin4 mRNA levels in the brain of RBI mice after RA treatment. (G) Representative images of p16 (green), GFAP (red), and Plin4 (pink) colabeling in the brain of RBI mice. Scale bars: 20 μm. (H and I) Quantification of the number of GFAP+ astrocytes positive for p16 (H) and Plin4 (I). n = 4–6 mice per group for Western blotting and qRT-PCR analyses; n = 3 mice per group for the RNA-seq and immunofluorescent staining. Data are presented as mean ± SEM and were analyzed by 2-way ANOVA with Tukey’s multiple-comparison test. **P < 0.01; ***P < 0.001; ****P < 0.0001.

Copyright © 2026 American Society for Clinical Investigation
ISSN 2379-3708

Sign up for email alerts