Go to The Journal of Clinical Investigation
  • About
  • Editors
  • Consulting Editors
  • For authors
  • Publication ethics
  • Publication alerts by email
  • Transfers
  • Advertising
  • Job board
  • Contact
  • Physician-Scientist Development
  • Current issue
  • Past issues
  • By specialty
    • COVID-19
    • Cardiology
    • Immunology
    • Metabolism
    • Nephrology
    • Oncology
    • Pulmonology
    • All ...
  • Videos
  • Collections
    • In-Press Preview
    • Resource and Technical Advances
    • Clinical Research and Public Health
    • Research Letters
    • Editorials
    • Perspectives
    • Physician-Scientist Development
    • Reviews
    • Top read articles

  • Current issue
  • Past issues
  • Specialties
  • In-Press Preview
  • Resource and Technical Advances
  • Clinical Research and Public Health
  • Research Letters
  • Editorials
  • Perspectives
  • Physician-Scientist Development
  • Reviews
  • Top read articles
  • About
  • Editors
  • Consulting Editors
  • For authors
  • Publication ethics
  • Publication alerts by email
  • Transfers
  • Advertising
  • Job board
  • Contact
Targeted Bmal1 restoration in muscle prolongs lifespan with systemic health effects in aging model
Miguel A. Gutierrez-Monreal, Christopher A. Wolff, Eduardo E. Rijos, Mark R. Viggars, Collin M. Douglas, Vishwajeeth Pagala, Junmin Peng, Liam C. Hunt, Haocheng Ding, Zhiguang Huo, Fabio Demontis, Karyn A. Esser
Miguel A. Gutierrez-Monreal, Christopher A. Wolff, Eduardo E. Rijos, Mark R. Viggars, Collin M. Douglas, Vishwajeeth Pagala, Junmin Peng, Liam C. Hunt, Haocheng Ding, Zhiguang Huo, Fabio Demontis, Karyn A. Esser
View: Text | PDF
Research Article Muscle biology

Targeted Bmal1 restoration in muscle prolongs lifespan with systemic health effects in aging model

  • Text
  • PDF
Abstract

Disruption of the circadian clock in skeletal muscle worsens local and systemic health, leading to decreased muscle strength, metabolic dysfunction, and aging-like phenotypes. Whole-body knockout mice that lack Bmal1, a key component of the molecular clock, display premature aging. Here, by using adeno-associated viruses, we rescued Bmal1 expression specifically in the skeletal muscle fibers of Bmal1-KO mice and found that this engaged the circadian clock and clock output gene expression, contributing to extended lifespan. Time course phenotypic analyses found that muscle strength, mobility, and glucose tolerance were improved with no effects on muscle mass or fiber size or type. A multiomics approach at 2 ages further determined that restored muscle Bmal1 improved glucose handling pathways while concomitantly reducing lipid and protein metabolic pathways. The improved glucose tolerance and metabolic flexibility resulted in the systemic reduction of inflammatory signatures across peripheral tissues, including liver, lung, and white adipose fat. Together, these findings highlight the critical role of muscle Bmal1 and downstream target genes for skeletal muscle homeostasis with considerable implications for systemic health.

Authors

Miguel A. Gutierrez-Monreal, Christopher A. Wolff, Eduardo E. Rijos, Mark R. Viggars, Collin M. Douglas, Vishwajeeth Pagala, Junmin Peng, Liam C. Hunt, Haocheng Ding, Zhiguang Huo, Fabio Demontis, Karyn A. Esser

×

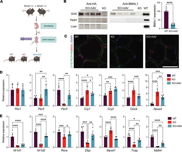
Figure 1

AAV-mediated Bmal1 expression engages the muscle clock.

Options: View larger image (or click on image) Download as PowerPoint
AAV-mediated Bmal1 expression engages the muscle clock.
(A) Schematic of...
(A) Schematic of the mouse generation workflow. Bmal1-KO+/– mice were used as breeders. Bmal1-KO mice were genotyped at postnatal day 2–3 (P2–P3) and injected with AAV9 at P5. (B) Western blot for anti-HA and anti-BMAL1 detection in gastrocnemius (GAS), heart, and liver tissues from Bmal1-KO+AAV mice, demonstrating the muscle-specific rescue model at 10 weeks of age. (C) Representative images of BMAL1 immunostaining of tibialis anterior (TA) sections costained with dystrophin and DAPI from WT, Bmal1-KO, and Bmal1-KO+AAV mice. Scale bar = 50 μm. (D) Expression of core clock genes and (E) secondary clock and muscle output genes in gastrocnemius muscle (n = 5–6 mice/group). Data are shown as mean ± SD. One-way ANOVA with *P < 0.05, **P < 0.01, ***P < 0.001, ****P < 0.0001.

Copyright © 2026 American Society for Clinical Investigation
ISSN 2379-3708

Sign up for email alerts