Go to The Journal of Clinical Investigation
  • About
  • Editors
  • Consulting Editors
  • For authors
  • Publication ethics
  • Publication alerts by email
  • Transfers
  • Advertising
  • Job board
  • Contact
  • Physician-Scientist Development
  • Current issue
  • Past issues
  • By specialty
    • COVID-19
    • Cardiology
    • Immunology
    • Metabolism
    • Nephrology
    • Oncology
    • Pulmonology
    • All ...
  • Videos
  • Collections
    • In-Press Preview
    • Resource and Technical Advances
    • Clinical Research and Public Health
    • Research Letters
    • Editorials
    • Perspectives
    • Physician-Scientist Development
    • Reviews
    • Top read articles

  • Current issue
  • Past issues
  • Specialties
  • In-Press Preview
  • Resource and Technical Advances
  • Clinical Research and Public Health
  • Research Letters
  • Editorials
  • Perspectives
  • Physician-Scientist Development
  • Reviews
  • Top read articles
  • About
  • Editors
  • Consulting Editors
  • For authors
  • Publication ethics
  • Publication alerts by email
  • Transfers
  • Advertising
  • Job board
  • Contact
Cell cycle inhibitors activate the hypoxia-induced DDX41/STING pathway to mediate antitumor immune response in liver cancer
Po Yee Wong, Cerise Yuen Ki Chan, Helen Do Gai Xue, Chi Ching Goh, Jacinth Wing Sum Cheu, Aki Pui Wah Tse, Misty Shuo Zhang, Yan Zhang, Carmen Chak Lui Wong
Po Yee Wong, Cerise Yuen Ki Chan, Helen Do Gai Xue, Chi Ching Goh, Jacinth Wing Sum Cheu, Aki Pui Wah Tse, Misty Shuo Zhang, Yan Zhang, Carmen Chak Lui Wong
View: Text | PDF
Research Article Hepatology Oncology

Cell cycle inhibitors activate the hypoxia-induced DDX41/STING pathway to mediate antitumor immune response in liver cancer

  • Text
  • PDF
Abstract

Cell cycle inhibitors have a long history as cancer treatment. Here, we report that these inhibitors combated cancer partially via the stimulator of IFN genes (STING) signaling pathway. We demonstrated that paclitaxel (microtubule stabilizer), palbociclib (cyclin-dependent kinase 4/6 inhibitor), and AZD1152 and GSK1070916 (aurora kinase B inhibitors) have anticancer functions beyond arresting the cell cycle. They consistently caused cytosolic DNA accumulation and DNA damage, which inadvertently triggered the cytosolic DNA sensor DEAD-box helicase 41 (DDX41) and activated STING to secrete pro-inflammatory senescence-associated secretory phenotype factors (SASPs). Interestingly, we found that DDX41 was a transcriptional target of HIF. Hypoxia induced expression of DDX41 through HIF-1, making hypoxic hepatocellular carcinoma (HCC) cells more sensitive to the antimitotic agents in STING activation and SASP production. The SASPs triggered immune cell infiltration in tumors for cancer clearance. The treatment with cell cycle inhibitors, especially paclitaxel, extended survival by perturbing mouse HCC growth when used in combination with anti–PD-1. We observed a trend that paclitaxel suppressed Sting wild-type HCC more effectively than Sting-KO HCC, suggesting that STING might contribute to the antitumor effects of paclitaxel. Our study revealed the immune-mediated tumor-suppressing properties of cell cycle inhibitors and suggested combined treatment with immunotherapy as a potential therapeutic approach.

Authors

Po Yee Wong, Cerise Yuen Ki Chan, Helen Do Gai Xue, Chi Ching Goh, Jacinth Wing Sum Cheu, Aki Pui Wah Tse, Misty Shuo Zhang, Yan Zhang, Carmen Chak Lui Wong

×

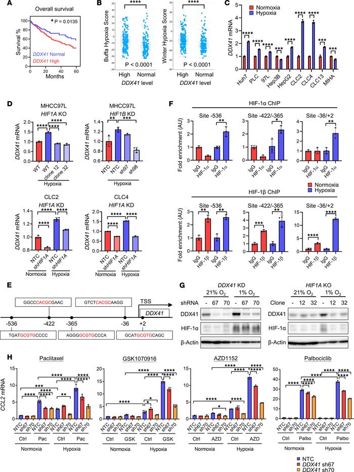
Figure 4

Hypoxia further exaggerates the effect of cell cycle inhibitors on SASP secretion via upregulating DDX41.

Options: View larger image (or click on image) Download as PowerPoint
Hypoxia further exaggerates the effect of cell cycle inhibitors on SASP ...
(A) TCGA data showing the correlation of DDX41 expression levels and overall survival in patients with HCC (n = 165 in DDX41-normal group; n = 200 in DDX41-high group). The high DDX41 expression level was defined as DDX41 mRNA expression higher than the mean value (Z > 0). Log-rank (Mantel-Cox) test. (B) TCGA data showing the Buffa hypoxia and Winter hypoxia score with DDX41 expression level in patients with HCC. Wilcoxon test. (C) The HCC cell lines and immortalized hepatocytes MIHA were exposed to normoxia (21% O2) or hypoxia (1% O2) for 24 hours. The mRNA expression of DDX41 was determined using reverse transcription quantitative PCR (RT-qPCR) and normalized to housekeeping gene 18S. (n = 3/group.) (D) HIF1 subunit–knockdown and –knockout cell lines were exposed to normoxia or hypoxia for 24 hours. DDX41 mRNA expression in hypoxia was normalized to that in wild-type (WT) cells or NTC cells in normoxia (n = 3/group). (E) Diagram showing 5 putative HRE sites in the promotor region of DDX41 where the transcription start site (TSS) is defined as 0. Red: HRE site. (F) MHCC97L cells were exposed to normoxia with 21% O2 or hypoxia with 1% O2 for 24 hours. The binding of HIF-1α or HIF-1β to the HRE sites of DDX41 was detected in chromatin immunoprecipitation (ChIP) assay. The enrichment of HIF-1α or HIF-1β was analyzed using qPCR with primers targeting different HRE sites in DDX41 promoter. (n = 3/group.) (G) Western blot was used to show the expression level of DDX41 and HIF-1α. (H) DDX41-KD MHCC97L cells were treated with paclitaxel, GSK1070916, or AZD1152 at the same time when exposed to normoxia with 21% O2 or hypoxia with 1% O2 for 48 hours. The CCL2 mRNA expression level was normalized to that in control treatment in NTC cells in normoxia (n = 3/group). Scatter dot plot: mean with SD. (A–C and F) Student’s t test. (D and H) One-way ANOVA with Bonferroni’s correction. *P < 0.05, **P < 0.01, ***P < 0.001, ****P < 0.0001.

Copyright © 2026 American Society for Clinical Investigation
ISSN 2379-3708

Sign up for email alerts