Go to The Journal of Clinical Investigation
  • About
  • Editors
  • Consulting Editors
  • For authors
  • Publication ethics
  • Publication alerts by email
  • Transfers
  • Advertising
  • Job board
  • Contact
  • Physician-Scientist Development
  • Current issue
  • Past issues
  • By specialty
    • COVID-19
    • Cardiology
    • Immunology
    • Metabolism
    • Nephrology
    • Oncology
    • Pulmonology
    • All ...
  • Videos
  • Collections
    • In-Press Preview
    • Resource and Technical Advances
    • Clinical Research and Public Health
    • Research Letters
    • Editorials
    • Perspectives
    • Physician-Scientist Development
    • Reviews
    • Top read articles

  • Current issue
  • Past issues
  • Specialties
  • In-Press Preview
  • Resource and Technical Advances
  • Clinical Research and Public Health
  • Research Letters
  • Editorials
  • Perspectives
  • Physician-Scientist Development
  • Reviews
  • Top read articles
  • About
  • Editors
  • Consulting Editors
  • For authors
  • Publication ethics
  • Publication alerts by email
  • Transfers
  • Advertising
  • Job board
  • Contact
Structural and functional analyses of a germline KRAS T50I mutation provide insights into Raf activation
Pan-Yu Chen, Benjamin J. Huang, Max Harris, Christopher Boone, Weijie Wang, Heidi Carias, Brian Mesiona, Daniela Mavrici, Amanda C. Kohler, Gideon Bollag, Chao Zhang, Ying Zhang, Kevin Shannon
Pan-Yu Chen, Benjamin J. Huang, Max Harris, Christopher Boone, Weijie Wang, Heidi Carias, Brian Mesiona, Daniela Mavrici, Amanda C. Kohler, Gideon Bollag, Chao Zhang, Ying Zhang, Kevin Shannon
View: Text | PDF
Research Article Oncology

Structural and functional analyses of a germline KRAS T50I mutation provide insights into Raf activation

  • Text
  • PDF
Abstract

A T50I substitution in the K-Ras interswitch domain causes Noonan syndrome and emerged as a third-site mutation that restored the in vivo transforming activity and constitutive MAPK pathway activation by an attenuated KrasG12D,E37G oncogene in a mouse leukemia model. Biochemical and crystallographic data suggested that K-RasT50I increases MAPK signal output through a non-GTPase mechanism, potentially by promoting asymmetric Ras:Ras interactions between T50 and E162. We generated a “switchable” system in which K-Ras mutant proteins expressed at physiologic levels supplant the fms like tyrosine kinase 3 (FLT3) dependency of MOLM-13 leukemia cells lacking endogenous KRAS and used this system to interrogate single or compound G12D, T50I, D154Q, and E162L mutations. These studies support a key role for the asymmetric lateral assembly of K-Ras in a plasma membrane–distal orientation that promotes the formation of active Ras:Raf complexes in a membrane-proximal conformation. Disease-causing mutations such as T50I are a valuable starting point for illuminating normal Ras function, elucidating mechanisms of disease, and identifying potential therapeutic opportunities for Rasopathy disorders and cancer.

Authors

Pan-Yu Chen, Benjamin J. Huang, Max Harris, Christopher Boone, Weijie Wang, Heidi Carias, Brian Mesiona, Daniela Mavrici, Amanda C. Kohler, Gideon Bollag, Chao Zhang, Ying Zhang, Kevin Shannon

×

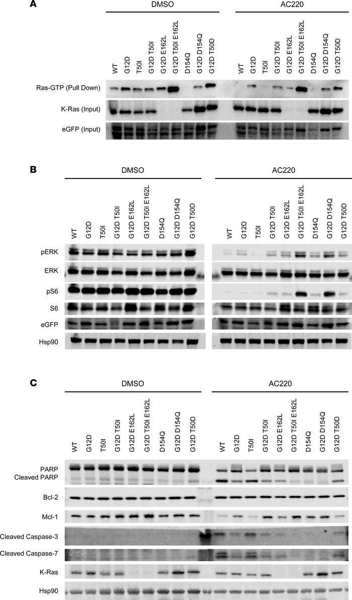
Figure 3

Biochemical analysis of MOLM-13 KRASKO clone 24 cells showing variable effects of different EGFP–K-Ras proteins on Ras-GTP levels, ERK/S6 phosphorylation, and the expression of pro-survival and apoptotic proteins.

Options: View larger image (or click on image) Download as PowerPoint
Biochemical analysis of MOLM-13 KRASKO clone 24 cells showing variable e...
(A) The RBD of Raf-1 was used to pull down Ras-GTP in clone 24 cells expressing the indicated EGFP–K-Ras proteins that were treated with dox for 24 hours and then exposed to either DMSO (left) or AC220 (10 nM; right) for 2 hours. (B) Western blotting to assess total and p-ERK and p-S6 levels in the same cells shown in A. (C) Western blotting showing PARP/cleaved PARP, Bcl-2, Mcl-1, and cleaved caspase-3/7 expression. Hsp90 is a loading control. The K-Ras Ab used in these experiments does not detect E162L mutant proteins, whereas the EGFP Ab detects all EGFP–K-Ras proteins. Each panel shows representative data from at least 2 independent experiments.

Copyright © 2026 American Society for Clinical Investigation
ISSN 2379-3708

Sign up for email alerts