Go to The Journal of Clinical Investigation
  • About
  • Editors
  • Consulting Editors
  • For authors
  • Publication ethics
  • Publication alerts by email
  • Transfers
  • Advertising
  • Job board
  • Contact
  • Physician-Scientist Development
  • Current issue
  • Past issues
  • By specialty
    • COVID-19
    • Cardiology
    • Immunology
    • Metabolism
    • Nephrology
    • Oncology
    • Pulmonology
    • All ...
  • Videos
  • Collections
    • In-Press Preview
    • Resource and Technical Advances
    • Clinical Research and Public Health
    • Research Letters
    • Editorials
    • Perspectives
    • Physician-Scientist Development
    • Reviews
    • Top read articles

  • Current issue
  • Past issues
  • Specialties
  • In-Press Preview
  • Resource and Technical Advances
  • Clinical Research and Public Health
  • Research Letters
  • Editorials
  • Perspectives
  • Physician-Scientist Development
  • Reviews
  • Top read articles
  • About
  • Editors
  • Consulting Editors
  • For authors
  • Publication ethics
  • Publication alerts by email
  • Transfers
  • Advertising
  • Job board
  • Contact
Impaired PPARγ activation by cadmium exacerbates infection-induced lung injury
Jennifer L. Larson-Casey, Shanrun Liu, Jennifer M. Pyles, Suzanne E. Lapi, Komal Saleem, Veena B. Antony, Manuel Lora Gonzalez, David K. Crossman, A. Brent Carter
Jennifer L. Larson-Casey, Shanrun Liu, Jennifer M. Pyles, Suzanne E. Lapi, Komal Saleem, Veena B. Antony, Manuel Lora Gonzalez, David K. Crossman, A. Brent Carter
View: Text | PDF
Research Article Infectious disease Pulmonology

Impaired PPARγ activation by cadmium exacerbates infection-induced lung injury

  • Text
  • PDF
Abstract

Emerging data indicate an association between environmental heavy metal exposure and lung disease, including lower respiratory tract infections (LRTIs). Here, we show by single-cell RNA sequencing an increase in Pparg gene expression in lung macrophages from mice exposed to cadmium and/or infected with Streptococcus pneumoniae. However, the heavy metal cadmium or infection mediated an inhibitory posttranslational modification of peroxisome proliferator-activated receptor γ (PPARγ) to exacerbate LRTIs. Cadmium and infection increased ERK activation to regulate PPARγ degradation in monocyte-derived macrophages. Mice harboring a conditional deletion of Pparg in monocyte-derived macrophages had more severe S. pneumoniae infection after cadmium exposure, showed greater lung injury, and had increased mortality. Inhibition of ERK activation with BVD-523 protected mice from lung injury after cadmium exposure or infection. Moreover, individuals residing in areas of high air cadmium levels had increased cadmium concentration in their bronchoalveolar lavage (BAL) fluid, increased barrier dysfunction, and showed PPARγ inhibition that was mediated, at least in part, by ERK activation in isolated BAL cells. These observations suggest that impaired activation of PPARγ in monocyte-derived macrophages exacerbates lung injury and the severity of LRTIs.

Authors

Jennifer L. Larson-Casey, Shanrun Liu, Jennifer M. Pyles, Suzanne E. Lapi, Komal Saleem, Veena B. Antony, Manuel Lora Gonzalez, David K. Crossman, A. Brent Carter

×

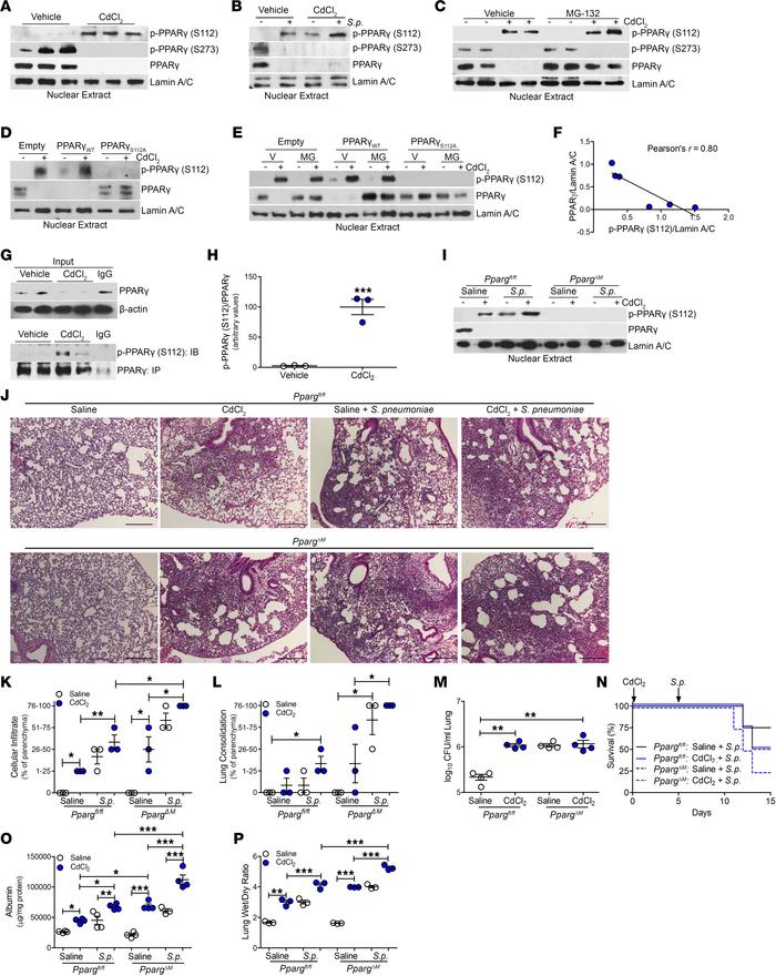
Figure 3

Cadmium mediated PPARγ phosphorylation at Ser112, resulting in greater lung injury.

Options: View larger image (or click on image) Download as PowerPoint
Cadmium mediated PPARγ phosphorylation at Ser112, resulting in greater l...
(A) Nuclear immunoblot analysis of THP-1 cells exposed to CdCl2 (50 μM, 3 hours). (B) Nuclear immunoblot analysis of BAL cells from exposed WT mice. (C) Immunoblot analysis of isolated nuclear extracts of THP-1 cells treated with vehicle or MG-132 (20 μM, 6 hours) and saline or CdCl2 (50 μM, 3 hours). (D) Immunoblot analysis of isolated nuclear extracts of THP-1 cells expressing empty vector, PPARγWT, or PPARγS112A treated with saline or CdCl2. (E) Immunoblot analysis of isolated nuclear extracts of THP-1 cells expressing empty vector, PPARγWT, or PPARγS112A treated with vehicle or MG-132. (F) Pearson’s correlation of densitometry of phosphorylated PPARγ (S112) and PPARγ relative to Lamin A/C in transfected THP-1 cells treated with vehicle in E. (G) Immunoprecipitation of PPARγ from cadmium-exposed THP-1 cells with (H) statistical quantification of phosphorylated PPARγ (S112) relative to PPARγ in G. (I) Nuclear immunoblot analysis of BAL cells from exposed Ppargfl/fl and PpargΔM mice. (J) Representative hematoxylin and eosin staining of lung tissues. n = 3–5. Scale bars: 250 μm. (K and L) Scoring of lung tissue from J for (K) cellular infiltrate and (L) consolidation. (M) Lung CFUs. n = 4. (N) Kaplan-Meier survival curves. n = 4–5. (O) Albumin levels in BALF. n = 3–4. (P) Wet to dry ratio of lung weight from exposed mice. n = 3. Data shown as mean ± SEM. *P < 0.05; **P < 0.001; ***P < 0.0001 by 1-way ANOVA with Tukey’s post hoc test. Pearson’s coefficient was used for F.

Copyright © 2025 American Society for Clinical Investigation
ISSN 2379-3708

Sign up for email alerts