Go to The Journal of Clinical Investigation
  • About
  • Editors
  • Consulting Editors
  • For authors
  • Publication ethics
  • Publication alerts by email
  • Transfers
  • Advertising
  • Job board
  • Contact
  • Physician-Scientist Development
  • Current issue
  • Past issues
  • By specialty
    • COVID-19
    • Cardiology
    • Immunology
    • Metabolism
    • Nephrology
    • Oncology
    • Pulmonology
    • All ...
  • Videos
  • Collections
    • In-Press Preview
    • Resource and Technical Advances
    • Clinical Research and Public Health
    • Research Letters
    • Editorials
    • Perspectives
    • Physician-Scientist Development
    • Reviews
    • Top read articles

  • Current issue
  • Past issues
  • Specialties
  • In-Press Preview
  • Resource and Technical Advances
  • Clinical Research and Public Health
  • Research Letters
  • Editorials
  • Perspectives
  • Physician-Scientist Development
  • Reviews
  • Top read articles
  • About
  • Editors
  • Consulting Editors
  • For authors
  • Publication ethics
  • Publication alerts by email
  • Transfers
  • Advertising
  • Job board
  • Contact
Evidence of a Sjögren’s disease–like phenotype following COVID-19 in mice and humans
Yiran Shen, Alexandria Voigt, Laura Goranova, Mehdi Abed, David E. Kleiner, Jose O. Maldonado, Margaret Beach, Eileen Pelayo, John A. Chiorini, William F. Craft, David A. Ostrov, Vijay Ramiya, Sukesh Sukumaran, Ashley N. Brown, Kaley C. Hanrahan, Apichai Tuanyok, Blake M. Warner, Cuong Q. Nguyen
Yiran Shen, Alexandria Voigt, Laura Goranova, Mehdi Abed, David E. Kleiner, Jose O. Maldonado, Margaret Beach, Eileen Pelayo, John A. Chiorini, William F. Craft, David A. Ostrov, Vijay Ramiya, Sukesh Sukumaran, Ashley N. Brown, Kaley C. Hanrahan, Apichai Tuanyok, Blake M. Warner, Cuong Q. Nguyen
View: Text | PDF
Research Article COVID-19

Evidence of a Sjögren’s disease–like phenotype following COVID-19 in mice and humans

  • Text
  • PDF
Abstract

Sjögren’s Disease (SjD) is a systemic autoimmune disease characterized by lymphocytic inflammation of the lacrimal and salivary glands (SG), dry eyes and mouth, and systemic symptoms. SARS-CoV-2 may trigger the development or progression of autoimmune diseases. To test this, we used a mouse model of SARS-CoV-2 infection and convalescent patients’ blood and SG in order to understand the development of SjD-like autoimmunity after infection. First, SARS-CoV-2–infected human angiotensin-converting enzyme 2 (ACE2) transgenic mice exhibited decreased salivation, elevated antinuclear antibodies (ANA), and lymphocytic infiltration in the lacrimal and SG. The sera from patients with COVID-19 sera showed increased ANA (i.e., anti-SSA [Sjögren’s-syndrome-related antigen A]/anti-Ro52 and anti-SSB [SS-antigen B]/anti-La). Male patients showed elevated anti-SSA compared with female patients, and female patients exhibited diverse ANA patterns. SG biopsies from convalescent COVID-19 patients were microscopically similar to SjD SG with focal lymphocytic infiltrates in 4 of 6 patients and 2 of 6 patients exhibiting focus scores of at least 2. Lastly, monoclonal antibodies produced in recovered patients blocked ACE2/spike interaction and cross-reacted with nuclear antigens. Our study shows a direct association between SARS-CoV-2 and SjD. Hallmark features of SjD-affected SGs were histologically indistinguishable from convalescent COVID-19 patients. The results implicate that SARS-CoV-2 could be an environmental trigger for SjD.

Authors

Yiran Shen, Alexandria Voigt, Laura Goranova, Mehdi Abed, David E. Kleiner, Jose O. Maldonado, Margaret Beach, Eileen Pelayo, John A. Chiorini, William F. Craft, David A. Ostrov, Vijay Ramiya, Sukesh Sukumaran, Ashley N. Brown, Kaley C. Hanrahan, Apichai Tuanyok, Blake M. Warner, Cuong Q. Nguyen

×

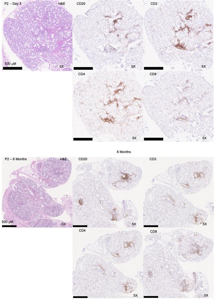
Figure 6

Immunophenotyping of acute and postacute COVID-19 infection.

Options: View larger image (or click on image) Download as PowerPoint
Immunophenotyping of acute and postacute COVID-19 infection.
Representat...
Representative immunophenotyping studies examining CD3, CD4, CD8, and CD20 on an MSG biopsy during infection (D5 after first symptom; FS: 1) and post–COVID-19 infection (6 months) (P2). Immunophenotyping demonstrates diffuse mild-to-moderate chronic sialadenitis with FLS. Original magnification, ×5.

Copyright © 2026 American Society for Clinical Investigation
ISSN 2379-3708

Sign up for email alerts