Go to The Journal of Clinical Investigation
  • About
  • Editors
  • Consulting Editors
  • For authors
  • Publication ethics
  • Publication alerts by email
  • Transfers
  • Advertising
  • Job board
  • Contact
  • Physician-Scientist Development
  • Current issue
  • Past issues
  • By specialty
    • COVID-19
    • Cardiology
    • Immunology
    • Metabolism
    • Nephrology
    • Oncology
    • Pulmonology
    • All ...
  • Videos
  • Collections
    • In-Press Preview
    • Resource and Technical Advances
    • Clinical Research and Public Health
    • Research Letters
    • Editorials
    • Perspectives
    • Physician-Scientist Development
    • Reviews
    • Top read articles

  • Current issue
  • Past issues
  • Specialties
  • In-Press Preview
  • Resource and Technical Advances
  • Clinical Research and Public Health
  • Research Letters
  • Editorials
  • Perspectives
  • Physician-Scientist Development
  • Reviews
  • Top read articles
  • About
  • Editors
  • Consulting Editors
  • For authors
  • Publication ethics
  • Publication alerts by email
  • Transfers
  • Advertising
  • Job board
  • Contact
Inflammation-induced TRIM21 represses hepatic steatosis by promoting the ubiquitination of lipogenic regulators
Kostas C. Nikolaou, Svenja Godbersen, Muthiah Manoharan, Stefan Wieland, Markus H. Heim, Markus Stoffel
Kostas C. Nikolaou, Svenja Godbersen, Muthiah Manoharan, Stefan Wieland, Markus H. Heim, Markus Stoffel
View: Text | PDF
Research Article Hepatology

Inflammation-induced TRIM21 represses hepatic steatosis by promoting the ubiquitination of lipogenic regulators

  • Text
  • PDF
Abstract

Nonalcoholic steatohepatitis (NASH) is a leading cause for chronic liver diseases. Current therapeutic options are limited due to an incomplete mechanistic understanding of how steatosis transitions to NASH. Here we show that the TRIM21 E3 ubiquitin ligase is induced by the synergistic actions of proinflammatory TNF-α and fatty acids in livers of humans and mice with NASH. TRIM21 ubiquitinates and degrades ChREBP, SREBP1, ACC1, and FASN, key regulators of de novo lipogenesis, and A1CF, an alternative splicing regulator of the high-activity ketohexokinase-C (KHK-C) isoform and rate-limiting enzyme of fructose metabolism. TRIM21-mediated degradation of these lipogenic activators improved steatosis and hyperglycemia as well as fructose and glucose tolerance. Our study identifies TRIM21 as a negative regulator of liver steatosis in NASH and provides mechanistic insights into an immunometabolic crosstalk that limits fatty acid synthesis and fructose metabolism during metabolic stress. Thus, enhancing this natural counteracting force of steatosis through inhibition of key lipogenic activators via TRIM21-mediated ubiquitination may provide a therapeutic opportunity to treat NASH.

Authors

Kostas C. Nikolaou, Svenja Godbersen, Muthiah Manoharan, Stefan Wieland, Markus H. Heim, Markus Stoffel

×

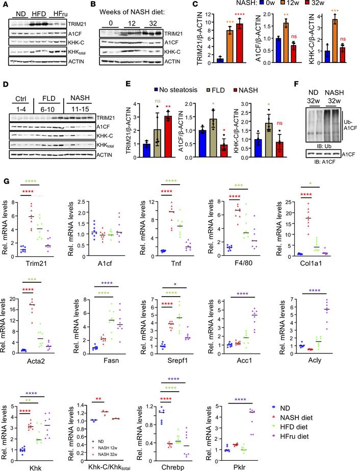
Figure 2

TRIM21 expression is induced in steatohepatitis.

Options: View larger image (or click on image) Download as PowerPoint
TRIM21 expression is induced in steatohepatitis.
(A and B) Western blots...
(A and B) Western blots showing the expression of indicated proteins in livers of mice fed a normal diet (ND), high-fat (HFD, 16 weeks), or high-fructose diet (HFru, 8 weeks) (A) or a NASH diet for the indicated periods (B), n = 3 replicates/group, 1 mouse/replicate). (C) Western blot signal quantification of B by densitometry. (D) Western blot of indicated proteins from liver biopsies of individuals without steatosis (Ctrl, n = 4), simple steatosis (FLD, n = 5), or NASH (n = 5). (E) Western blot signal quantification of D by densitometry. (F) Endogenous A1CF ubiquitination levels from livers of mice fed a chow (ND) or NASH diet for 32 mice weeks (n = 2 replicates per group, 1 mouse/replicate). (G) Relative mRNA levels of indicated genes in livers of mice fed with normal (ND), NASH diet (32 weeks), HFD (16 weeks), or HFru diet (8 weeks), n = 8 mice/group. The KHK splicing analysis is calculated as the ratio of KHK-C isoform expression in relation to total KHK in livers of mice fed ND or NASH diets at the indicated time points (n = 3 replicates/group, 1 mouse/replicate). In all statistical plots, data are expressed as mean ± SD; ****P < 0.0001; ***P < 0.001; **P < 0.01; *P < 0.05. n represents number of replicates, 1 mouse/replicate. For C, E, and G, the statistical analysis was carried out by 1-way ANOVA with Sidak’s post hoc analysis.

Copyright © 2026 American Society for Clinical Investigation
ISSN 2379-3708

Sign up for email alerts