Go to The Journal of Clinical Investigation
  • About
  • Editors
  • Consulting Editors
  • For authors
  • Publication ethics
  • Publication alerts by email
  • Transfers
  • Advertising
  • Job board
  • Contact
  • Physician-Scientist Development
  • Current issue
  • Past issues
  • By specialty
    • COVID-19
    • Cardiology
    • Immunology
    • Metabolism
    • Nephrology
    • Oncology
    • Pulmonology
    • All ...
  • Videos
  • Collections
    • In-Press Preview
    • Resource and Technical Advances
    • Clinical Research and Public Health
    • Research Letters
    • Editorials
    • Perspectives
    • Physician-Scientist Development
    • Reviews
    • Top read articles

  • Current issue
  • Past issues
  • Specialties
  • In-Press Preview
  • Resource and Technical Advances
  • Clinical Research and Public Health
  • Research Letters
  • Editorials
  • Perspectives
  • Physician-Scientist Development
  • Reviews
  • Top read articles
  • About
  • Editors
  • Consulting Editors
  • For authors
  • Publication ethics
  • Publication alerts by email
  • Transfers
  • Advertising
  • Job board
  • Contact
Ciprofloxacin exacerbates dysfunction of smooth muscle cells in a microphysiological model of thoracic aortic aneurysm
Bitao Xiang, Mieradilijiang Abudupataer, Gang Liu, Xiaonan Zhou, Dingqian Liu, Shichao Zhu, Yang Ming, Xiujie Yin, Shiqiang Yan, Yongxin Sun, Hao Lai, Chunsheng Wang, Jun Li, Kai Zhu
Bitao Xiang, Mieradilijiang Abudupataer, Gang Liu, Xiaonan Zhou, Dingqian Liu, Shichao Zhu, Yang Ming, Xiujie Yin, Shiqiang Yan, Yongxin Sun, Hao Lai, Chunsheng Wang, Jun Li, Kai Zhu
View: Text | PDF
Research Article Vascular biology

Ciprofloxacin exacerbates dysfunction of smooth muscle cells in a microphysiological model of thoracic aortic aneurysm

  • Text
  • PDF
Abstract

Ciprofloxacin use may be associated with adverse aortic events. However, the mechanism underlying the effect of ciprofloxacin on the progression of thoracic aortic aneurysm (TAA) is not well understood. Using an in vitro microphysiological model, we treated human aortic smooth muscle cells (HASMCs) derived from patients with bicuspid aortic valve– or tricuspid aortic valve–associated (BAV- or TAV-associated) TAAs with ciprofloxacin. TAA C57BL/6 mouse models were utilized to verify the effects of ciprofloxacin exposure. In the microphysiological model, real-time PCR, Western blotting, and RNA sequencing showed that ciprofloxacin exposure was associated with a downregulated contractile phenotype, an upregulated inflammatory reaction, and extracellular matrix (ECM) degradation in the normal HASMCs derived from the nondiseased aorta. Ciprofloxacin induced mitochondrial dysfunction in the HASMCs and further increased apoptosis by activating the ERK1/2 and P38 mitogen–activated protein kinase pathways. These adverse effects appeared to be more severe in the HASMCs derived from BAV- and TAV-associated TAAs than in the normal HASMCs when the ciprofloxacin concentration exceeded 100 μg/mL. In the aortic walls of the TAA-induced mice, ECM degradation and apoptosis were aggravated after ciprofloxacin exposure. Therefore, ciprofloxacin should be used with caution in patients with BAV- or TAV-associated TAAs.

Authors

Bitao Xiang, Mieradilijiang Abudupataer, Gang Liu, Xiaonan Zhou, Dingqian Liu, Shichao Zhu, Yang Ming, Xiujie Yin, Shiqiang Yan, Yongxin Sun, Hao Lai, Chunsheng Wang, Jun Li, Kai Zhu

×

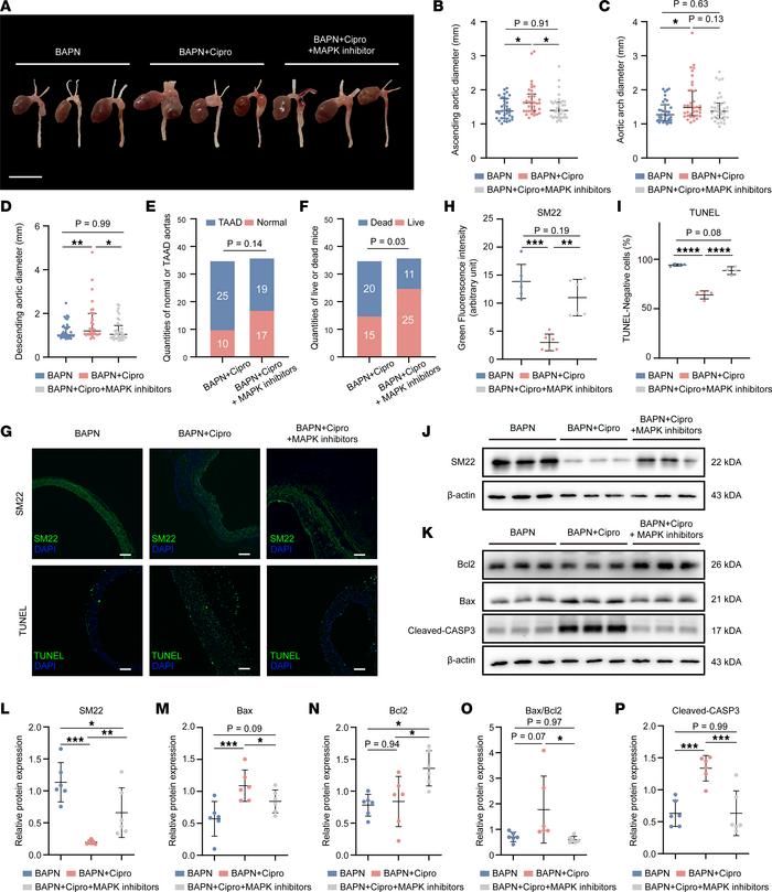
Figure 8

Ciprofloxacin-induced aggravation of thoracic aortic aneurysm in the mice could be alleviated by MAPK inhibitors.

Options: View larger image (or click on image) Download as PowerPoint
Ciprofloxacin-induced aggravation of thoracic aortic aneurysm in the mic...
(A) Macroscopic images of the thoracic aorta. Scale bar: 5 mm. Statistical analysis of the diameters of (B) the ascending aorta, (C) aortic arch, and (D) descending aorta in the BAPN (n = 35), BAPN+Cipro (n = 35), and BAPN+Cipro+MAPK inhibitors (n = 36) groups. Statistical analysis of the incidence of (E) TAAD and (F) death between the BAPN+Cipro and BAPN+Cipro+MAPK inhibitors groups (Fisher’s exact test). (G) Immunofluorescent staining (scale bar: 100 μm) and (H) statistical analysis of SM22 in the thoracic aortic wall. (J) Representative images of Western blotting of SM22 and quantification of the total band densities for (L) SM22 normalized to the corresponding band density of β-actin (n = 6). (G) Immunofluorescent staining (scale bars: 100 μm) and (I) quantification of TUNEL-negative cells (TUNEL-positive cells marked in green). (K) Representative images of Western blotting of Bax, Bcl2, and cleaved CASP3 and total band densities for (M) Bax, (N) Bcl2, (O) Bax/Bcl2, and (P) cleaved CASP3 normalized to the corresponding band density of β-actin (n = 6). *P < 0.05; **P < 0.01; ***P < 0.001; ****P < 0.0001 by 1-way ANOVA with Tukey’s multiple-comparison test (B–D, H, I, and L–P).

Copyright © 2026 American Society for Clinical Investigation
ISSN 2379-3708

Sign up for email alerts