Go to The Journal of Clinical Investigation
  • About
  • Editors
  • Consulting Editors
  • For authors
  • Publication ethics
  • Publication alerts by email
  • Transfers
  • Advertising
  • Job board
  • Contact
  • Physician-Scientist Development
  • Current issue
  • Past issues
  • By specialty
    • COVID-19
    • Cardiology
    • Immunology
    • Metabolism
    • Nephrology
    • Oncology
    • Pulmonology
    • All ...
  • Videos
  • Collections
    • In-Press Preview
    • Resource and Technical Advances
    • Clinical Research and Public Health
    • Research Letters
    • Editorials
    • Perspectives
    • Physician-Scientist Development
    • Reviews
    • Top read articles

  • Current issue
  • Past issues
  • Specialties
  • In-Press Preview
  • Resource and Technical Advances
  • Clinical Research and Public Health
  • Research Letters
  • Editorials
  • Perspectives
  • Physician-Scientist Development
  • Reviews
  • Top read articles
  • About
  • Editors
  • Consulting Editors
  • For authors
  • Publication ethics
  • Publication alerts by email
  • Transfers
  • Advertising
  • Job board
  • Contact
CCL3 in the bone marrow microenvironment causes bone loss and bone marrow adiposity in aged mice
Degang Yu, Shuhong Zhang, Chao Ma, Sen Huang, Long Xu, Jun Liang, Huiwu Li, Qiming Fan, Guangwang Liu, Zanjing Zhai
Degang Yu, Shuhong Zhang, Chao Ma, Sen Huang, Long Xu, Jun Liang, Huiwu Li, Qiming Fan, Guangwang Liu, Zanjing Zhai
View: Text | PDF
Research Article Aging Bone biology

CCL3 in the bone marrow microenvironment causes bone loss and bone marrow adiposity in aged mice

  • Text
  • PDF
Abstract

The central physiological role of the bone marrow renders bone marrow stromal cells (BMSCs) particularly sensitive to aging. With bone aging, BMSCs acquire a differentiation potential bias in favor of adipogenesis over osteogenesis, and the underlying molecular mechanisms remain unclear. Herein, we investigated the factors underlying age-related changes in the bone marrow and their roles in BMSCs’ differentiation. Antibody array revealed that CC chemokine ligand 3 (CCL3) accumulation occurred in the serum of naturally aged mice along with bone aging phenotypes, including bone loss, bone marrow adiposity, and imbalanced BMSC differentiation. In vivo Ccl3 deletion could rescue these phenotypes in aged mice. CCL3 improved the adipogenic differentiation potential of BMSCs, with a positive feedback loop between CCL3 and C/EBPα. CCL3 activated C/EBPα expression via STAT3, while C/EBPα activated CCL3 expression through direct promoter binding, facilitated by DNA hypomethylation. Moreover, CCL3 inhibited BMSCs’ osteogenic differentiation potential by blocking β-catenin activity mediated by ERK-activated Dickkopf-related protein 1 upregulation. Blocking CCL3 in vivo via neutralizing antibodies ameliorated trabecular bone loss and bone marrow adiposity in aged mice. This study provides insights regarding age-related bone loss and bone marrow adiposity pathogenesis and lays a foundation for the identification of new targets for senile osteoporosis treatment.

Authors

Degang Yu, Shuhong Zhang, Chao Ma, Sen Huang, Long Xu, Jun Liang, Huiwu Li, Qiming Fan, Guangwang Liu, Zanjing Zhai

×

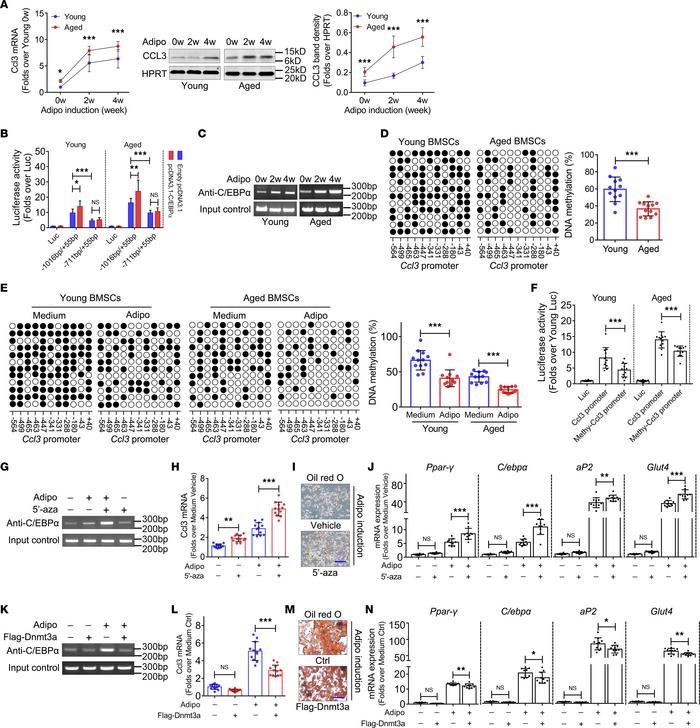
Figure 5

DNA hypomethylation in the CCL3 promoter region facilitates C/EBPα-activated CCL3 expression during adipogenic differentiation of BMSCs.

Options: View larger image (or click on image) Download as PowerPoint
DNA hypomethylation in the CCL3 promoter region facilitates C/EBPα-activ...
(A) CCL3 mRNA and protein expression when BMSCs undergo adipogenic differentiation (n = 12). (B) Luciferase activity of CCL3 promoter deletion mutant–driven luciferase reporter gene vector in BMSCs undergoing adipogenic differentiation (n = 12). (C) ChIP assay using C/EBPα antibody against the putative C/EBPα binding site within CCL3 promoter when BMSCs undergo adipogenic differentiation (n = 12). (D) DNA methylation percentage of 11 CG sites within proximal CCL3 promoter in BMSCs (n = 12). (E) DNA methylation percentage of 11 CG sites within proximal CCL3 promoter in BMSCs with adipogenesis induction (n = 12). (F) Luciferase activity of methylated and unmethylated CCL3 promoter–driven luciferase reporter gene vector in BMSCs undergo adipogenic differentiation (n = 12). (G) ChIP assay using C/EBPα antibody against the putative C/EBPα binding site within the CCL3 promoter in BMSCs treated with 5′-aza. (H) Ccl3 mRNA expression in response to 5′-aza in young BMSCs (n = 12). (I) Oil Red O staining of BMSCs undergoing adipogenic differentiation with 5′-aza treatment. (J) mRNA expression when BMSCs undergo adipogenic differentiation with 5′-aza treatment (n = 10). (K) ChIP assay using C/EBPα antibody against the putative C/EBPα binding site within the CCL3 promoter of aged BMSCs when Dnmt3a was overexpressed. (L) Ccl3 mRNA expression in response to Dnmt3a overexpression in aged BMSCs (n = 12). (M) Oil Red O staining of aged BMSCs undergoing adipogenic differentiation with Dnmt3a overexpression. (N) mRNA expression of Pparγ, C/ebpα, aP2, and Glut4 when aged BMSCs undergo adipogenic differentiation with Dnmt3a overexpression (n = 10). All data were obtained from 3 independent experiments. Statistics, Student’s t test (D); 1-way ANOVA (F); 2-way ANOVA (A, B, E, H, J, L, and N). *P < 0.05, **P < 0.01, ***P < 0.001. Scale bar: 10 μm (I and M).

Copyright © 2026 American Society for Clinical Investigation
ISSN 2379-3708

Sign up for email alerts