Go to The Journal of Clinical Investigation
  • About
  • Editors
  • Consulting Editors
  • For authors
  • Publication ethics
  • Publication alerts by email
  • Transfers
  • Advertising
  • Job board
  • Contact
  • Physician-Scientist Development
  • Current issue
  • Past issues
  • By specialty
    • COVID-19
    • Cardiology
    • Immunology
    • Metabolism
    • Nephrology
    • Oncology
    • Pulmonology
    • All ...
  • Videos
  • Collections
    • In-Press Preview
    • Resource and Technical Advances
    • Clinical Research and Public Health
    • Research Letters
    • Editorials
    • Perspectives
    • Physician-Scientist Development
    • Reviews
    • Top read articles

  • Current issue
  • Past issues
  • Specialties
  • In-Press Preview
  • Resource and Technical Advances
  • Clinical Research and Public Health
  • Research Letters
  • Editorials
  • Perspectives
  • Physician-Scientist Development
  • Reviews
  • Top read articles
  • About
  • Editors
  • Consulting Editors
  • For authors
  • Publication ethics
  • Publication alerts by email
  • Transfers
  • Advertising
  • Job board
  • Contact
microRNA-33 deficiency in macrophages enhances autophagy, improves mitochondrial homeostasis, and protects against lung fibrosis
Farida Ahangari, … , Carlos Fernández-Hernando, Naftali Kaminski
Farida Ahangari, … , Carlos Fernández-Hernando, Naftali Kaminski
Published January 10, 2023
Citation Information: JCI Insight. 2023;8(4):e158100. https://doi.org/10.1172/jci.insight.158100.
View: Text | PDF
Research Article Metabolism Pulmonology

microRNA-33 deficiency in macrophages enhances autophagy, improves mitochondrial homeostasis, and protects against lung fibrosis

  • Text
  • PDF
Abstract

Idiopathic pulmonary fibrosis (IPF) is a progressive and ultimately fatal disease. Recent findings have shown a marked metabolic reprogramming associated with changes in mitochondrial homeostasis and autophagy during pulmonary fibrosis. The microRNA-33 (miR-33) family of microRNAs (miRNAs) encoded within the introns of sterol regulatory element binding protein (SREBP) genes are master regulators of sterol and fatty acid (FA) metabolism. miR-33 controls macrophage immunometabolic response and enhances mitochondrial biogenesis, FA oxidation, and cholesterol efflux. Here, we show that miR-33 levels are increased in bronchoalveolar lavage (BAL) cells isolated from patients with IPF compared with healthy controls. We demonstrate that specific genetic ablation of miR-33 in macrophages protects against bleomycin-induced pulmonary fibrosis. The absence of miR-33 in macrophages improves mitochondrial homeostasis and increases autophagy while decreasing inflammatory response after bleomycin injury. Notably, pharmacological inhibition of miR-33 in macrophages via administration of anti–miR-33 peptide nucleic acids (PNA-33) attenuates fibrosis in different in vivo and ex vivo mice and human models of pulmonary fibrosis. These studies elucidate a major role of miR-33 in macrophages in the regulation of pulmonary fibrosis and uncover a potentially novel therapeutic approach to treat this disease.

Authors

Farida Ahangari, Nathan L. Price, Shipra Malik, Maurizio Chioccioli, Thomas Bärnthaler, Taylor S. Adams, Jooyoung Kim, Sai Pallavi Pradeep, Shuizi Ding, Carlos Cosmos Jr., Kadi-Ann S. Rose, John E. McDonough, Nachelle R. Aurelien, Gabriel Ibarra, Norihito Omote, Jonas C. Schupp, Giuseppe DeIuliis, Julian A. Villalba Nunez, Lokesh Sharma, Changwan Ryu, Charles S. Dela Cruz, Xinran Liu, Antje Prasse, Ivan Rosas, Raman Bahal, Carlos Fernández-Hernando, Naftali Kaminski

×

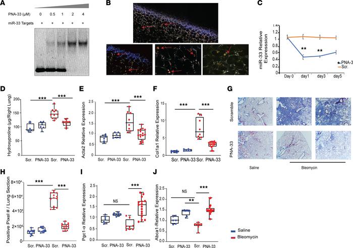
Figure 3

Pharmacological inhibition of miR-33 using PNA-33 in lung macrophages protects against bleomycin-induced pulmonary fibrosis in in vivo mouse model of PF.

Options: View larger image (or click on image) Download as PowerPoint
Pharmacological inhibition of miR-33 using PNA-33 in lung macrophages pr...
(A) Binding efficiency of PNA-33 to the known miR-33 targets by gel shift assay on 10% nondenaturing polyacrylamide gel. Bound and the unbound fraction of target miR-33 were visualized by staining the gel in SYBR Gold. (B) Two-photon microscopy imaging of PNA-33 TAMRA conjugated in WT mice 24 hours after i.v. administration (red arrows indicate orange accumulation of TAMARA dye in macrophages). Total original magnification, (top panel) 4×, (Lower panels) 20×. (C) miR-33 relative expression in AM of WT mice after i.n. administration of PNA-33 and scrambled control in different time points (days 0, 1, 3, and 5). (D) Quantitative analysis of hydroxyproline in lung homogenates from indicated groups of mice in bleomycin-induced lung fibrosis model. (E and F) Acta2 and Col1a1 relative gene expression by qPCR analysis in mice lungs from indicated groups. (G and H) Representative images and quantitative measurements of Masson’s trichrome staining of lung sections after administration of PNA-33/scrambled control in saline and bleomycin. Total original magnification, 4×.(I and J) qPCR analysis of mitochondrial related miR-33 target genes: Pgc-1α and Abca1 after PNA-33/scrambled control in saline and bleomycin groups. Bleomycin; red, Saline; blue. n = 6 for saline, n = 8 for bleomycin groups. All data were analyzed by ANOVA or Kruskal-Wallis tests, followed by post hoc analysis, and are presented as mean ± SEM. *P ≤ 0.05, **P < 0.01, ***P < 0.001.

Copyright © 2025 American Society for Clinical Investigation
ISSN 2379-3708

Sign up for email alerts