Go to The Journal of Clinical Investigation
  • About
  • Editors
  • Consulting Editors
  • For authors
  • Publication ethics
  • Publication alerts by email
  • Transfers
  • Advertising
  • Job board
  • Contact
  • Physician-Scientist Development
  • Current issue
  • Past issues
  • By specialty
    • COVID-19
    • Cardiology
    • Immunology
    • Metabolism
    • Nephrology
    • Oncology
    • Pulmonology
    • All ...
  • Videos
  • Collections
    • In-Press Preview
    • Resource and Technical Advances
    • Clinical Research and Public Health
    • Research Letters
    • Editorials
    • Perspectives
    • Physician-Scientist Development
    • Reviews
    • Top read articles

  • Current issue
  • Past issues
  • Specialties
  • In-Press Preview
  • Resource and Technical Advances
  • Clinical Research and Public Health
  • Research Letters
  • Editorials
  • Perspectives
  • Physician-Scientist Development
  • Reviews
  • Top read articles
  • About
  • Editors
  • Consulting Editors
  • For authors
  • Publication ethics
  • Publication alerts by email
  • Transfers
  • Advertising
  • Job board
  • Contact
Angiogenesis depends upon EPHB4-mediated export of collagen IV from vascular endothelial cells
Di Chen, Elizabeth D. Hughes, Thomas L. Saunders, Jiangping Wu, Magda N. Hernandez Vasquez, Taija Makinen, Philip D. King
Di Chen, Elizabeth D. Hughes, Thomas L. Saunders, Jiangping Wu, Magda N. Hernandez Vasquez, Taija Makinen, Philip D. King
View: Text | PDF
Research Article Angiogenesis Vascular biology

Angiogenesis depends upon EPHB4-mediated export of collagen IV from vascular endothelial cells

  • Text
  • PDF
Abstract

Capillary malformation-arteriovenous malformation (CM-AVM) is a blood vascular anomaly caused by inherited loss-of-function mutations in RASA1 or EPHB4 genes, which encode p120 Ras GTPase-activating protein (p120 RasGAP/RASA1) and Ephrin receptor B4 (EPHB4). However, whether RASA1 and EPHB4 function in the same molecular signaling pathway to regulate the blood vasculature is uncertain. Here, we show that induced endothelial cell–specific (EC-specific) disruption of Ephb4 in mice resulted in accumulation of collagen IV in the EC ER, leading to EC apoptotic death and defective developmental, neonatal, and pathological angiogenesis, as reported previously in induced EC-specific RASA1-deficient mice. Moreover, defects in angiogenic responses in EPHB4-deficient mice could be rescued by drugs that inhibit signaling through the Ras pathway and drugs that promote collagen IV export from the ER. However, EPHB4-mutant mice that expressed a form of EPHB4 that is unable to physically engage RASA1 but retains protein tyrosine kinase activity showed normal angiogenic responses. These findings provide strong evidence that RASA1 and EPHB4 function in the same signaling pathway to protect against the development of CM-AVM independent of physical interaction and have important implications for possible means of treatment of this disease.

Authors

Di Chen, Elizabeth D. Hughes, Thomas L. Saunders, Jiangping Wu, Magda N. Hernandez Vasquez, Taija Makinen, Philip D. King

×

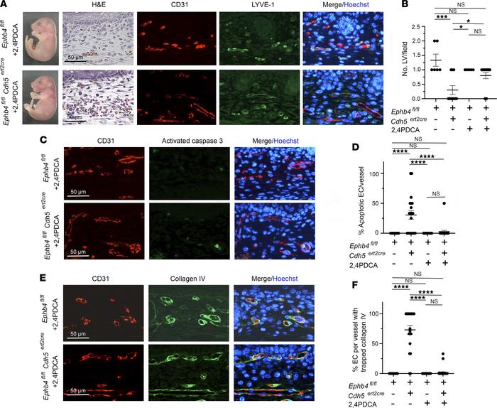
Figure 5

Partial rescue of developmental angiogenesis in induced EPHB4-deficient mice by 2,4PDCA.

Options: View larger image (or click on image) Download as PowerPoint
Partial rescue of developmental angiogenesis in induced EPHB4-deficient ...
TM and 2,4PDCA were administered to Ephb4fl/fl and Ephb4fl/fl Cdh5ert2cre embryos at E13.5, and embryos were harvested at E18.5. (A) Shown are an Ephb4fl/fl embryo and an Ephb4fl/fl Cdh5ert2cre embryo with mild cutaneous hemorrhage (see Table 1) and intact LVs confirmed by staining of skin sections with H&E and anti-CD31 and anti–LYVE-1 antibodies. (B) Plot shows the mean ± 1 SEM of CD31loLYVE-1+ LVs/field in randomly selected 200 x 200 μm areas of skin of Ephb4fl/fl embryos and Ephb4fl/fl Cdh5ert2cre embryos with mild hemorrhage (Ephb4fl/fl TM + 2,4PDCA, n = 5; Ephb4fl/fl Cdh5ert2cre TM + 2,4PDCA, n = 15). Data from Ephb4fl/fl and Ephb4fl/fl Cdh5ert2cre embryos treated with TM alone are also shown (Figure 1). (C) Skin sections were stained with anti-CD31 and anti–activated caspase 3 antibodies and Hoechst to identify apoptotic ECs. (D) Plot shows the mean ± 1 SEM of percentage apoptotic ECs in individual CD31+ BVs from randomly chosen areas (Ephb4fl/fl Cdh5ert2cre embryos with mild hemorrhage) (Ephb4fl/fl TM + 2,4PDCA, n = 16; Ephb4fl/fl Cdh5ert2cre TM + 2,4PDCA, n = 36). (E) Skin sections were stained with anti-CD31 and anti–collagen IV antibodies and Hoechst to determine the distribution of collagen IV in BVs. (F) Plot shows the mean ± 1 SEM of percentage of ECs with collagen accumulation in individual CD31+ BVs from randomly chosen areas (Ephb4fl/fl Cdh5ert2cre embryos with mild hemorrhage) (Ephb4fl/fl TM + 2,4PDCA, n = 19; Ephb4fl/fl Cdh5ert2cre TM + 2,4PDCA, n = 36). *, P < 0.05; ***, P < 0.001; ****, P < 0.0001; 1-way ANOVA with Tukey.

Copyright © 2025 American Society for Clinical Investigation
ISSN 2379-3708

Sign up for email alerts