Go to The Journal of Clinical Investigation
  • About
  • Editors
  • Consulting Editors
  • For authors
  • Publication ethics
  • Publication alerts by email
  • Transfers
  • Advertising
  • Job board
  • Contact
  • Physician-Scientist Development
  • Current issue
  • Past issues
  • By specialty
    • COVID-19
    • Cardiology
    • Immunology
    • Metabolism
    • Nephrology
    • Oncology
    • Pulmonology
    • All ...
  • Videos
  • Collections
    • In-Press Preview
    • Resource and Technical Advances
    • Clinical Research and Public Health
    • Research Letters
    • Editorials
    • Perspectives
    • Physician-Scientist Development
    • Reviews
    • Top read articles

  • Current issue
  • Past issues
  • Specialties
  • In-Press Preview
  • Resource and Technical Advances
  • Clinical Research and Public Health
  • Research Letters
  • Editorials
  • Perspectives
  • Physician-Scientist Development
  • Reviews
  • Top read articles
  • About
  • Editors
  • Consulting Editors
  • For authors
  • Publication ethics
  • Publication alerts by email
  • Transfers
  • Advertising
  • Job board
  • Contact
Neuropilin-1 deficiency in vascular smooth muscle cells is associated with hereditary hemorrhagic telangiectasia arteriovenous malformations
Sreenivasulu Kilari, Ying Wang, Avishek Singh, Rondell P. Graham, Vivek Iyer, Scott M. Thompson, Michael S. Torbenson, Debabrata Mukhopadhyay, Sanjay Misra
Sreenivasulu Kilari, Ying Wang, Avishek Singh, Rondell P. Graham, Vivek Iyer, Scott M. Thompson, Michael S. Torbenson, Debabrata Mukhopadhyay, Sanjay Misra
View: Text | PDF
Research Article Vascular biology

Neuropilin-1 deficiency in vascular smooth muscle cells is associated with hereditary hemorrhagic telangiectasia arteriovenous malformations

  • Text
  • PDF
Abstract

Patients with hereditary hemorrhagic telangiectasia (HHT) have arteriovenous malformations (AVMs) with genetic mutations involving the activin-A receptor like type 1 (ACVRL1 or ALK1) and endoglin (ENG). Recent studies have shown that Neuropilin-1 (NRP-1) inhibits ALK1. We investigated the expression of NRP-1 in livers of patients with HHT and found that there was a significant reduction in NRP-1 in perivascular smooth muscle cells (SMCs). We used Nrp1SM22KO mice (Nrp1 was ablated in SMCs) and found hemorrhage, increased immune cell infiltration with a decrease in SMCs, and pericyte lining in lungs and liver in adult mice. Histologic examination revealed lung arteriovenous fistulas (AVFs) with enlarged liver vessels. Evaluation of the retina vessels at P5 from Nrp1SM22KO mice demonstrated dilated capillaries with a reduction of pericytes. In inflow artery of surgical AVFs from the Nrp1SM22KO versus WT mice, there was a significant decrease in Tgfb1, Eng, and Alk1 expression and phosphorylated SMAD1/5/8 (pSMAD1/5/8), with an increase in apoptosis. TGF-β1–stimulated aortic SMCs from Nrp1SM22KO versus WT mice have decreased pSMAD1/5/8 and increased apoptosis. Coimmunoprecipitation experiments revealed that NRP-1 interacts with ALK1 and ENG in SMCs. In summary, NRP-1 deletion in SMCs leads to reduced ALK1, ENG, and pSMAD1/5/8 signaling and reduced cell death associated with AVM formation.

Authors

Sreenivasulu Kilari, Ying Wang, Avishek Singh, Rondell P. Graham, Vivek Iyer, Scott M. Thompson, Michael S. Torbenson, Debabrata Mukhopadhyay, Sanjay Misra

×

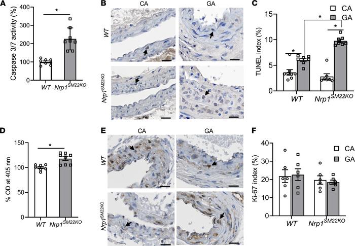
Figure 10

Smooth muscle cell Nrp1 deletion causes an increase in apoptosis of smooth muscle cells.

Options: View larger image (or click on image) Download as PowerPoint
Smooth muscle cell Nrp1 deletion causes an increase in apoptosis of smoo...
Aortic smooth muscle cells (SMCs) isolated from Nrp1fl/fl (WT) or Nrp1fl/fl/SM22αCre+ (Nrp1SM22KO) mice. (A) Caspase-3/7 activity was assessed in SMCs as described to assess apoptosis of SMCs in vitro. (B) Representative images of TUNEL staining on tissue sections of the inflow artery (GA) and contralateral carotid artery (CA) at 14 days after AVF creation. All images were captured using 10× magnification. Scale bar: 20 μm. Arrows show brown staining TUNEL+ cells. (C) The intensity of the brown TUNEL stain was measured as described. After overnight serum starvation, SMCs were stimulated with 10 ng/mL TGF-β1 for 24 hours. (D) Proliferation was assessed in vitro as described. There was 18% increase in proliferation (P = 0.01) of SMCs isolated from Nrp1SM22KO mice compared with cells isolated from WT sex-matched littermates. (E) Representative images of Ki-67 staining on tissue sections of GA from AVF and CA at 14 days after AVF creation. All images were captured using 10× magnification. Scale bar: 20 μm. Arrows show brown staining of KI-67+ cells. (F) The intensity of the brown Ki-67 stain was measured as described. Data are shown as mean ± SEM of n = 8 in vitro experiments or n = 6 animals. Nonparametric Mann-Whitney U test (A and D) or 2-way ANOVA (C and F) was performed. *P < 0.05.

Copyright © 2026 American Society for Clinical Investigation
ISSN 2379-3708

Sign up for email alerts